2019-05-31 13:36:00
2019-05-31 13:22:00
2019-05-31 13:13:00
2019-06-01 11:18:00
2022-06-02 14:08:15
2022-05-31 10:21:09
2022-06-02 23:40:56
2019-05-31 13:04:00
2022-05-31 13:00:16
2022-06-01 14:18:35
毛细胞星形细胞瘤是视路胶质瘤吗?毛细胞星形细胞瘤,作为一种较为少见的神经系统肿瘤,其在病理学分类中占据着独特的地位。而视路胶质瘤,则是指发...
脑干星形胶质瘤怎么治疗?脑干星形胶质瘤是一种起源于脑内星形胶质细胞的恶性肿瘤,主要发生在儿童和青少年中。由于脑干是大脑的重要组成部分,负责...
脑干星形胶质瘤的治疗?脑干星形胶质细胞瘤的治疗是一个复杂且具有挑战性的过程,其难度主要取决于肿瘤的分级、位置以及患者的整体健康状况。 一、...
脑干星形胶质瘤复发率?脑干星形胶质瘤,作为一种发生于脑干部位的神经系统肿瘤,因其位置的不同性和治疗的复杂性,一直是神经外科和肿瘤学领域的一...
脑干星形胶质瘤复发?脑干星形胶质瘤是一种发生在脑干部位的恶性肿瘤,具有较高的复发率。当脑干星形胶质瘤复发时,患者的病情会加重,需要及时采取...
毛细胞型星形细胞瘤(一级)是一种良性脑肿瘤,起源于神经系统中的支持细胞星形细胞。正常情况下,星形胶质细胞负责多种角色,包括为神经元提供营养...
胶质母细胞瘤 (GBM)是颅脑常见的恶性 胶质瘤 ,其在基因分子水平诊断上分两种,分为IDH野生型和IDH突变型,IDH突变即为为异柠檬酸脱氢酶突变,是在这...
弥漫性星形细胞瘤(diffusionastrocytoma,DA)被WHO组织病理分级为2级肿瘤,但从生物学行为上看,应考虑为恶性肿瘤,因为其经常向高级别胶质瘤转化,较终导致...
多形性胶质母细胞瘤(GBM)是发生于人类中枢神经系统的恶性肿瘤。脑胶质瘤为何会发生转移?高级别脑胶质瘤复发并转移到脊髓如何治疗...
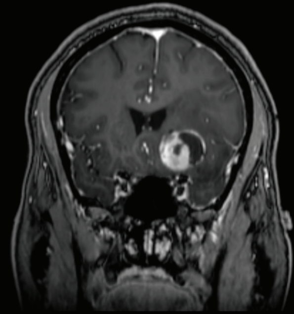
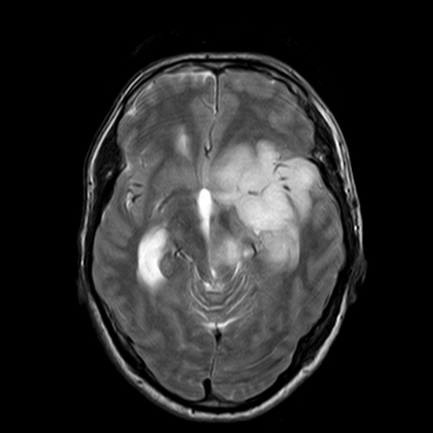
毛细胞星形细胞瘤约占全部儿童脑肿瘤的25%。在磁共振成像中,毛细胞星形细胞瘤通常是一种界限清楚的病变,通常具有囊性和结节状成分,可不均一地增...
问:毛细胞型星形细胞瘤严重吗?如何治疗? 答:儿童毛细胞型星形细胞瘤(JPA)是一种少见的儿童期 脑肿瘤 。毛细胞型星形细胞瘤严重吗?在大多数情...
儿童星形细胞瘤/胶质瘤也称为:间变性星形细胞瘤,原纤维星形细胞瘤,胶质母细胞瘤,多形性胶质母细胞瘤(GBM),幼年毛细胞星形细胞瘤(JPA),Pilocytic星...
约有9%-20%的PXA在复发时可能发生恶性改变,恶化成为高级别胶质瘤如胶质母细胞瘤的肿瘤可被视为癌症,但低级别的良心肿瘤不被视作癌症。PXA是大脑的促...
低级别胶质瘤(LGG)向HGG的恶性转化(MT)过程尚不清楚,但可能涉及控制细胞凋亡信号程序的激活。 在一项比较研究中,一名患者倾向于活检后再采取等着看的...
毛细胞星形细胞瘤 是一种生长缓慢、边界较清的囊性星形肿瘤,是一种 良性胶质瘤 病理分型,WHO I级。 发病特点 毛细胞星形细胞瘤常发生于儿童和年轻人...
Pilomyxoid astrocytoma of the spinal cord(Report of three cases) 脊髓类胶质瘤星形细胞瘤 (三个案例报告) 英文原文摘要: OBJECTIVE AND IMPORTANCE: Pilomyxoid astrocytoma (P...
小儿低度神经胶质瘤涵盖了不同组织学的异质性肿瘤。小脑毛细胞星形细胞瘤较为常见,其次是幕上弥漫性纤维性星形细胞瘤。那么,儿童低级别胶质瘤容...
星形细胞瘤是始于星形脑细胞的肿瘤,称为星形细胞。星形胶质细胞是一种胶质细胞。神经胶质细胞将神经细胞固定在适当的位置,为它们提供食物和氧气...
神经胶质瘤能活多久?低级别胶质瘤的中位生存期长达50年,但前提是接受手术全切,星形胶质瘤二级也可通过治疗争取到更长的生存期...
此外,弥漫性胶质瘤的特征之一是瘤内组织学的高度异质性。一首先,组织学信息用于鉴别弥漫性神经胶质瘤/肿瘤分级。相反,IDH突变型星形细胞瘤(占全...
毛细胞星形细胞瘤(PAs)在70多年前被认为是一种独自的临床实体。它们相对良性(一级胶质瘤),作为一个群体,10年生存率超过90 %。许多只需要手术切除,很...
星形胶质细胞瘤 (astrocytome)是属于胶质瘤的一种,约占胶质细胞瘤的65%,是常见的。由于星形胶质细胞瘤长在颅内,其治疗方法一般都是以手术为主,但是...
恶性 星形细胞瘤 包括间变性星形细胞瘤(AA,国际卫生组织[WHO]III级)、多形性 胶质母细胞瘤 (GBM,WHO级)和胶质肉瘤,是成人较常见的原发性中枢神经系统(C...
神经节胶质瘤 是一种中枢神经系统的肿瘤,怀疑起源于错构瘤性神经胶质神经病变的常见前体细胞。组织病理学上,这些肿瘤由神经节细胞和胶质细胞组成...
原发性脑肿瘤是儿童癌症相关死亡和发病的主要原因。毛细胞星形细胞瘤(Pilocytic astrocytomas, PAs)是国际卫生组织(WHO) I级肿瘤,是儿童主要的组织学亚型...
弥漫性星形细胞瘤(DA)被WHO组织病理学分类为2级肿瘤,但从生物学行为上看,应认为是恶性肿瘤,因为常转化为高级别胶质瘤,较终导致死亡。弥漫性星形...
脑胶质瘤是恶性肿瘤吗?胶质瘤根据起源细胞系分为不同的亚型。胶质瘤包括星形细胞瘤,胶质母细胞瘤,少突胶质细胞瘤,室管膜瘤和其他组织学亚型...
多形性黄色星形细胞瘤预后相对较好的 星形细胞瘤 ,好发于儿童和年轻人,常位于大脑半球表面,累及脑膜。典型的组织学特点包括多形性、含脂细胞、...
NVC是通过将神经元活动转化为星形胶质细胞的增加来实现的,其导致几种血管活性分子的产生和/或释放,包括花生四烯酸代谢物环氧二十碳三烯酸、腺素...
小孩胶质瘤能治好吗?胶质瘤是儿童较常见的脑肿瘤,占儿童中枢神经系统肿瘤的近50%。目前尚无合适的化学疗法治疗小儿HGG(高级别胶质瘤),但许多新...
双侧丘脑胶质瘤的多数病例为弥漫性星形细胞瘤、间变性星形细胞瘤或胶质母细胞瘤。常见治疗方法是部分手术切除或活检,然后辅助治疗...
脊髓胶质瘤是一种少见的肿瘤,占全部原发性脊髓肿瘤的8-10%,占全部中枢神经系统肿瘤的24%。脊髓胶质瘤大多位于硬脑膜和脊髓实质内,因此被归类为髓...
毛细胞星形细胞瘤,俗称毛星,是一种生长缓慢、边界明显、可伴囊性特点的良性肿瘤,WHO I级,好发于儿童和年轻人。毛星好发部位包括:1.视神经;2.视交...
神经胶质瘤是指由神经胶质细胞转化而来的肿瘤,是较常见的原发性脑癌。胶质是希腊语,意思是胶水这个词意在描述神经系统中散布在神经元之间的非神...
看万山红遍,层林尽染;漫江碧透,百舸争流。 鹰击长空,鱼翔浅底,万类霜天竞自由。 怅寥廓,问苍茫大地,谁主沉浮? 毛泽东 让我们思考片刻,全部...
小脑胶质瘤有良性的吗?儿童小脑毛细胞性星形细胞瘤传统上被认为是一种囊性肿瘤,伴有附壁结节,切除后预后良好。...
毛细胞星形细胞瘤(PA)以每年091/100,000的年龄调整发病率发生,是儿童和青少年中较常见的原发性中枢神经系统肿瘤。全部患者均接受了原发性切除或活检...
虽然已有多例脊髓LGGs存在BRAF V600E突变的报道,但尚未见脊髓HGGs存在BRAF突变的报道。在这里,我们报告一个少见的脊髓间变性星形细胞瘤携带BRAF V600E突变...
视神经下丘 脑胶质瘤 是一种典型的儿童幕上肿瘤。他们代表了全部中枢神经系统(CNS)肿瘤的1%和全部儿童脑肿瘤的3%到5%。视神经下丘脑胶质瘤往往影响婴儿...
恶性胶质瘤能治好吗?恶性胶质瘤包括胶质母细胞瘤,间变性星形细胞瘤,间变性少突胶质细胞瘤和间变性少星形胶质细胞瘤,以及一些较不常见的肿瘤,...
外科手术目的是尽可能多地切除肿瘤。能切除多少取决于肿瘤在大脑中的位置。能切除多少取决于肿瘤在大脑中的位置。在这种情况下,外科医生将尽可能...
多形性黄色星形细胞瘤是浅表性肿瘤,好发于颞叶,其次是顶叶、额叶和枕叶,其他少见的部位是小脑、脊髓和视网膜。此类型脑胶质瘤症状如何...
链接/Links: 北京天坛医院 | 首都医科大学宣武医院 | 复旦大学华山医院神经外科 | 脑胶质瘤 | 脑海绵状血管瘤 |