毛细胞星形细胞瘤是一种生长缓慢、边界较清的囊性星形肿瘤,是一种良性胶质瘤病理分型,WHO I级。
发病特点
毛细胞星形细胞瘤常发生于儿童和年轻人,成人少见,无明显性别差异约占全部胶质瘤的5%-6%,年发病率为0.37/100 000人,是儿童中常见的胶质瘤,其中约2/3发生于小脑。有研究证明,约40%的原发于视路者,伴有I型神经纤维瘤病(NF1),且多数为女孩。

图:显示典型的小脑毛细胞星形细胞瘤,伴有血管瘤结节,大的非肿瘤性囊肿,囊肿壁由受压但在组织学上正常的脑实质组成,来自Osborn’s Brain。
发病部位
可发生在全部神经轴,好发部位包括:
①视神经(视神经胶质瘤);
②视交叉/下丘脑;
③丘脑和基底节;
④大脑半球;
⑤小脑(小脑星形细胞瘤);
⑥脑干(背外脑干胶质瘤)。
有时下丘脑、丘脑和脑干大的病变突入脑室内,很难确定它们的原发部位。
临床特点:患者可出现局灶性神经功能障碍或巨颅症、头痛、内分泌紊乱、颅内压增高等。视路肿瘤常造成视野缺损,但早期可无视野和视力的变化。较大下丘脑肿瘤经常造成下丘脑/垂体功能障碍,包括肥胖、尿崩症。下丘脑一视交叉肿瘤可在儿童中发生软脑膜播散,预后不良。
丘脑肿瘤常阻塞脑脊液循环或压迫内囊造成局灶神经障碍,如偏瘫。小脑肿瘤在20岁前表现出行动笨拙、进行性头痛和恶心呕吐。脑干肿瘤常发生于背外侧部,出现脑积水或脑干功能障碍体征,这可与桥脑弥漫型星形细胞瘤形成的对称性"桥脑肥大"相鉴别。脊髓肿瘤表现为肿瘤生长引起的局灶神经功能障碍症状。
影像特点:
无论CT或MRI都显示肿瘤边界清楚,可增强,少数有钙化。视神经型肿瘤受视神经鞘限制,沿视神经生长而呈梭形。视路肿瘤延展常从视神经到视交叉,或从视交叉到视神经管,并压迫周边重要组织。

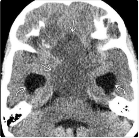
图:CT显示下丘脑-视交叉型PA,轮廓清晰、分叶形的低密度的鞍上占位,引起阻塞性脑积水。
尽管高敏度神经影像能显示出肿瘤广泛浸润,但在MRI T2W像上肿瘤边界、水肿和Wallerian变性并不清晰。毛细胞型星形细胞瘤可发生于脑干各层面,多位于外侧,相对分离,可增强,常囊性变。脑桥基底弥漫型星形细胞瘤发展为多形性胶质母细胞瘤才可强化,可用于鉴别。大脑半球、小脑和脊髓肿瘤中囊性变常见,可为大而孤立的空腔,也可小而密集,相互闻有腔隙,这是毛细胞型星形细胞瘤鉴别于其他一些WHOⅠ级肿瘤的一项重要诊断特征。

图:小脑毛细胞星形细胞胶质瘤MR特点。A:T1WI显示小脑半球囊性肿块,相对于侧脑室中的CSF,囊液相对较高信号,囊肿内有一个结节。B:T2WI显示,囊肿似乎是部分分叶的,其内信号混杂。C:增强MR示囊肿结呈异质性增强,囊壁和内部分叶有所增强。D:冠状位增强MR示囊肿壁大部分不增强,而囊肿结节和一些分叶明显强化。术后病理为:毛细胞星形细胞瘤,BRAF V600E突变。
治疗
治疗方案因原发部位不同而有所不同,原发视路者,因为紧邻视神经、下丘脑等重要组织,视路毛细胞星形胶质瘤的治疗原则:手术切除大部分肿瘤,术后辅助化疗和放疗。对于较小的肿瘤,且病人没有临床症状和体征,可以不做治疗,密切随访观察。小脑毛细胞星形胶质瘤的治疗原则:因为肿瘤边界清楚尽可能全切肿瘤。毛细胞全切后25年生存率高达95%以上,甚至有研究证明全切后的复发率为0%。
对于复发患者,可以根据病情可以选择:再次手术、放疗和随访观察。INC主张应该进行成功的再次手术,这是治疗肿瘤、延长生存期较合适的方法。
预后
生长缓慢的毛细胞星形细胞瘤可以稳定在发展的任何时期,甚至有自发消退的病例研究报告。无论是级别还是分化都可以稳定数十年,生存期可以长达50年。该肿瘤很少致死,故有少许长期随访资料显示较终结局。较近报道下丘脑和脑干病变可能致死,但仅发生在长程病史和多次复发后。临床"复发"更常是囊肿形成而不是实体肿瘤成分的扩大。通常,伴有肿瘤的神经纤维瘤病稳定或仅缓慢生长,特别发生在视神经的肿瘤。NFl小脑星形细胞肿瘤的生物学行为可能更具侵袭性,但毛细胞型和弥漫型肿瘤却并非都易进展,偶尔肿瘤甚至发生退变。
INC之国际神经外科顾问团WANG
INC即国际神经外科医生集团,其旗下国际神经外科顾问团(WANG)囊括了10多位国际神经外科联合会(WFNS)及各种国际神经外科学术组织的成员、国际神经外科各大杂志主编以及神经外科教科书中以其本人名字命名手术方式和解剖结构的教科书级神经外科巨擘。他们对于包括毛细胞星形细胞瘤的各类脑胶质瘤以及其他脑肿瘤的手术切除和综合治疗擅长,国内患者若想寻求这些国际教授神经外科教授的前沿咨询可以通过INC国际神经外科医生集团咨询咨询。

资料来源:
David N.Louis et al.《WHO Classification of Tumours of the Central Nervous System》
Anne G.Osborn.《Osborn’s Brain》.
后续更多脑瘤相关知识和前沿连载,尽在“INC国际神经科学”维信公众号,敬请关注。
- 文章标题:INC脑肿瘤科普|毛细胞星形细胞瘤是癌症吗?怎么治疗?
- 更新时间:2020-03-23 19:39:46
400-029-0925




