菊形团形成性胶质神经元肿瘤(RGNT)是一种少见的肿瘤实体,据报道主要发生在四脑室。它被描述为一种良性病变,仅局限于周围结构,包括小脑蚓部、中脑和脑导水管。
这种少见的脑肿瘤患者发病年龄一般在6-79岁,平均31.1岁,临床症状多为肿瘤压迫所致,以头痛、小脑共济失调症状为主。由于肿瘤生长缓慢,常常导致幕上梗阻性脑积水,临床治疗主要为手术切除为主,包括完全切除或部分切除,部分切除主要与肿瘤浸润小脑及桥脑背侧有关。由于RGNT属于低级别肿瘤,WHO将RGNT归为Ⅰ级肿瘤,术后随访很少出现复发。
对于菊形团形成性胶质神经元肿瘤(RGNT),国际上的神经外科专家怎么治?INC在此交流一则由INC国际神经外科顾问团成员、国际神经外科联合会(WFNS)立体定向与功能神经外科主席、德国汉诺威医学院(MHH)神经外科主席德国Joachim K. Krauss教授主刀的RGNT真实案例
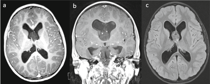
患者情况:7岁男孩,3周头痛病史,磁共振成像显示在透明隔中伴有脑积水的实质肿块
主刀专家:德国Joachim K. Krauss教授(国际功能神经外科巨擘,30多年丰富而的功能神经外科疾病咨询经验,发表了300余篇学术论文,是高产作者以及多个国际神外杂志审稿人,德国汉诺威医学院MHH功能神经外科领衔者)

手术方法:通过电磁导航引导的右心室经皮层入路行肿瘤大部切除。由于肿瘤粘附于前突,因此不可能进行全切。
术后情况:手术后,没有新的神经系统疾病。术后既不使用放疗也不使用化学疗法。进一步的发展并不明显,并且该孩子在手术后2年的状态良好,没有神经系统症状。未出现头痛。定期的后续MR随访表明脑积水已经缓解,并且没有肿瘤复发的迹象。

病例解析:在任何小儿脑肿瘤中,根据术前影像学评估肿瘤组织学和分级是一个较大的挑战。通常,在儿童期肿瘤中,建议手术切除或活检以确立诊断。手术切除已成为RGNT的治疗方法,大多数患者已获得良好的生活质量。

辅助疗法(包括放疗和化疗)的作用仍需要弄清楚,是在儿科人群中。由于这种肿瘤发病的稀有性,主要根据病例报告来定义指导方针是有问题的。尽管大多数研究在手术切除肿瘤后采取了一种“静观其变”的策略,但是只有活检或切除不完全的患者很少接受放疗或化学疗法。由于全部RGNT都具有FGFR1突变,并且其他肿瘤实体中的各种FGFR1控制剂已经在3期研究中进行了评估,对于不能完全切除的RGNT病例,似乎可以采取相应的靶向治疗。相对较高将来PIK3CA和NF1突变的频率也可用于治疗。
总之,RGNT是在成年人和儿童中发现的少见的低度肿瘤。最终诊断始终取决于组织学。建议的RGNT一线治疗方法是手术切除,同时需要更多数据来确定辅助治疗的作用。
当罹患少见的小儿脑肿瘤或者因位置复杂而治疗困难的神经外科疾病,咨询国际上神经外科专家看看有没有治疗更完全、预后更好的治疗方案,正在成为一种新兴的选择。INC国际神经外科顾问团是由国际各发达国家神经外科宗师联合组成的教授集团,成员教授大多为国际神经外科各的奠基者、开拓者,他们在各自领域对国际神经外科做出过较大贡献,且其手术技术和能力在神经外科界有着难以替代的地位。德国Joachim K. Krauss教授也是其中之一。
这些国际神经外科“大牛”齐聚INC,在专注国内外神经外科学术技术交流的同时,也专注为国内疑难神经外科病患提供更高质量的咨询方案及手术技术,拨打400-029-0925或关注“INC国际神经科学”可咨询INC相关国际教授。
- 文章标题:小儿少见脑肿瘤,国际神经外科专家如何成功治疗?
- 更新时间:2020-08-12 14:50:54
400-029-0925



