近年来,清醒开颅术在癫痫和肿瘤手术中越来越常见。对于运动损伤较小、切除体大的肿瘤,是运动皮质和语言区肿瘤及深部肿瘤,是较理想的切除方法。随着皮质测图方法的进步,觉醒开颅肿瘤切除术变得更加顺利。在清醒开颅手术中,患者应感到较小程度的疼痛,同时完全能够配合神经学测试。因此,麻醉师在以较高质量对患者进行神经生理监测方面起着重要作用。由于这一手术对成人患者已经很困难,儿科病例的处理就更麻烦了。文献中报道的接受清醒开颅手术的较年轻患者为9岁,诊断为胶质母细胞瘤。在这篇文章中,我们介绍了两位分别12岁和15岁的儿童肿瘤切除与清醒开颅术的围手术期程序。
案例报告1
男性患者在5岁时一开始发生多方位性强直阵挛性癫痫发作。在头颅MRI中,在左侧额叶区域的Broca区发现了一处病变,但未显示造影剂。患者发生GTC癫痫发作,每日3-4次。他在发病后仍有失语症。他服用了三种抗癫痫药物的组合。在功能磁共振成像中,病变被确定位于运动语言区。运动性失语症一直被认为是损伤手术导致的,因此没有明确的手术指征。迷走神经刺激器被使用到10岁。癫痫发作的频率和强度没有任何变化。我们给病人做检查时,他才12岁。建议患者行病灶切除术和清醒开颅术。在目前的头颅和功能MRI检查中,病灶直径和运动区域没有改变。

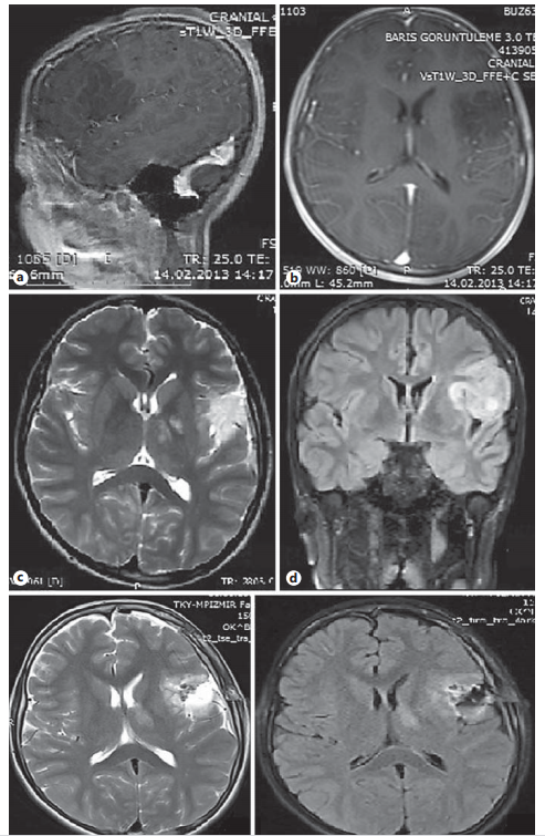
图1。矢状(a)和轴向(b)钆增强MRI显示左侧额叶语言区病变,无增强对比。t2加权(轴向)MR图像(c)显示布洛卡区高信号病变。显示图像(d;冠状)也显示均匀高信号病灶。术后T2(e;轴向)和T1加权MR图像(f;(轴)确认病灶清除。
在局部麻醉和镇静的情况下对患者进行病灶切除和清醒开颅。异丙酚、咪达唑仑和芬太尼的组合用于镇静。异丙酚以2 mg/kg/h持续灌注,咪达唑仑以2或3 mg剂量间隔给药,以保持拉姆齐镇静评分在4或5;开颅前给予芬太尼75μg 1次。手术3 h时咪达唑仑总剂量为24 mg。当需要患者配合时,暂停异丙酚灌注,氟马西尼对抗咪达唑仑(0.4 mg)。病灶切除过程中控制了患者的言语。尽管全部切除了病变,有趣的是没有言语控制障碍。在病灶切除完成后,镇静持续在一个水平足以保持拉姆齐镇静评分在4或5。术中、术后患者言语功能均无明显障碍。术后早期头颅MRI证实病灶全部切除(图1 e,f)。患者术后一周出现局灶性癫痫发作,表现为失语症。组织病理学报告病变为胚胎发育异常神经上皮肿瘤。在24个月的随访期间,患者接受抗癫痫治疗,并保持无癫痫发作。他的学校和社交生活质量都有了的提升。
案例报告2
这名女性患者在1岁半时一开始出现癫痫发作。头颅MRI检查显示左侧岛叶区病变侵犯布洛卡区,未显示造影剂摄取;与低级别神经胶质肿瘤相符。由于病变侵犯运动语言区,手术被认为是有风险的,并没有确定手术的指征。我们在病人15岁时给她做了检查。她正在接受三种药物的联合抗癫痫治疗。她一天发作三次以上的癫痫。较近癫痫发作的频率有所增加。在对照组的头颅MRI检查中,观察到疾病的进展,因此建议患者清醒开颅。

图2所示。MRI增强t1加权(轴向)扫描显示岛叶区一微弱增强病灶。b t2加权(轴向)图像显示岛叶区有小叶和高信号区。c Flair MR(冠状位)示岛叶高信号病变。d t1加权(轴向)MRI。e MRI t1加权增强(冠状)。f t2加权(轴向)MRI。不同的MRI序列显示肿瘤切除后脑实质的变化。
术前头颅MRI扫描如图2a所示。病灶切除在局部麻醉和镇静下进行。本例患者手术时间为4个半小时;仅在手术1小时使用氯胺酮进行镇静,并在开颅手术完成前使用咪达唑仑,以保持拉姆齐镇静评分在4或5。咪达唑仑和氯胺酮的总剂量分别为3和125 mg。由于该患者的肿瘤位置,手术中语言和肢体的运动都得到了控制。在肿瘤切除过程中没有言语和肢体运动障碍。然而,在肿瘤切除过程中,她在处理血管结构时出现了头痛和恶心。患者在术后和术后期间都没有言语和运动功能的恶化。术后头颅MRI图像如图2d-f所示。病变的组织病理学检查报告为2级胶质细胞肿瘤,包括毛细胞星形细胞瘤和少突胶质细胞瘤。在抗癫痫治疗的24个月随访期间,患者术后无任何问题,无癫痫发作。她的学校生活和社交生活有了的好转。
总结
虽然清醒开颅术常用于癫痫手术,但较近在肿瘤手术中也越来越常见。清醒开颅术可以较大限度地切除肿瘤,同时肿瘤手术后功能障碍较小。因此,已报道了反映良好生存结局的阳性结果。清醒开颅术切除靠近功能区的脑肿瘤在成人患者中更为常见;然而,文献中关于儿童清醒开颅手术病例的报道数量有限。
INC旗下国际神经外科顾问团(WANG)的专家成员、国际神经外科学院前主席James T.Rutka教授在临床上的研究方向以颅内肿瘤为主,对胶质瘤、纤维瘤、颅咽管瘤、室管膜瘤具有多年的临床经验,擅长清醒开颅术、激光间质热疗(LITT)及显微手术。
相关参考资料来源:Doi:10.1159/000442988
- 文章标题:利用清醒开颅术治疗小儿脑瘤和癫痫
- 更新时间:2021-04-29 19:21:51
400-029-0925




