脑室内肿瘤是神经内镜手术的理想适应证,这类病变可经脑室系统自然腔道直达,内镜操作路径短且直接;又因肿瘤常阻塞脑脊液循环通路,引起脑室代偿性扩张,为内镜提供了充足的操作空间。即便脑室狭窄,借助神经导航仍能精准、安全地抵达病灶。
内镜手术的核心目标在于重建脑脊液通路、明确组织学诊断,并在条件许可时实施全肿瘤切除。
与开颅显微手术相比,内镜入路显著改善了深部照明与视野,无需皮层广泛切开及牵拉,脑组织损伤小;仅通过骨孔即可置入内镜,避免骨瓣开颅,且有效保护穹隆、下丘脑及血管等周围结构。
早期内镜肿瘤外科仅限于活检,多用于合并肿瘤性梗阻性脑积水的患者在行第三脑室底造瘘同期获取标本;随着经验积累,逐步实现了肿瘤部分切除,迄今对精选病例已可依靠纯内镜技术完成全切除。
如果肿瘤过大,还能实现内镜全切肿瘤吗?INC国际神经外科医生集团旗下组织世界神经外科顾问团(WANG)成员、世界神经外科学会联合会(WFNS)内镜委员会前主席Henry W.S.Schroeder教授(施罗德教授)在论文《Intraventricular Tumors》中分享了这样一则案例……

INC国际神经内镜大咖分享多图详解内镜手术

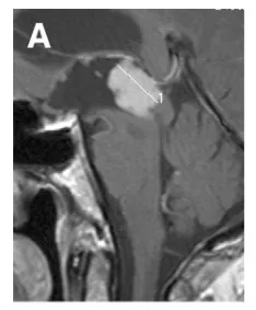
49岁男性,头痛、恶心及呕吐,检查发现第三脑室后部巨大强化病灶(A)。

对于因中脑导水管受压而导致梗阻性脑积水的肿瘤,最根本的脑脊液循环恢复策略仍是肿瘤全切除,可惜多数瘤体过大,难以单纯经内镜彻底切除。采用先进行神经内镜第三脑室造瘘(B–F内镜下视野),然后再开颅切除肿瘤,过程如下。
(B)室间孔(Monro孔),选取可同时抵达第三脑室底及肿瘤之入路。

(C)第三脑室底,可见乳头体。

(D)以球囊导管完成第三脑室造瘘。

(E)经造瘘口窥见基底动脉。

(F)第三脑室后部肿瘤。

(G)术后第3天MRI,造瘘处可见显著流空信号;ETV后颅内压增高症状完全缓解。

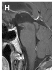
(H)术后2年经幕下小脑上入路全切肿瘤后矢状位T1增强MRI,示肿瘤全切除,患者无神经功能缺损,恢复良好。

结论:脑室内肿瘤及其所致脑脊液通路梗阻,可经内镜技术安全、有效地处理。体积较小者可借脑室镜完成全切除;瘤体较大时,为避免耗时过长的镜下操作,宜采用内镜辅助显微手术或经更大操作通路进行的内镜切除策略。正如上述案例中,在进行造瘘手术后,选择开颅手术切除肿瘤。
- 文章标题:脑室内肿瘤必须开颅?大咖分享神经内镜如何根据肿瘤情况定制个性化手术方案
- 更新时间:2025-10-17 17:16:45
400-029-0925



