对于大多数患者来说,在脑袋上开刀动手术,是绝对的大手术。那么对于有着飞机出行需求的患者来说,他们尤其关心开颅手术后能坐飞机吗?多久可以坐飞机?
有报导说,随着飞机升高、舱内气压降低,可能导致开颅术后颅内积气未恢复的患者,出现颅内气体体积膨胀,压迫损伤脑组织,但是这种情况很少见。当然,如果存在严重颅内积气等潜在风险,要谨慎乘坐飞机。

通常情况下,顺利开颅术后,经过2-3周住院康复期,就可以拆线,得到良好恢复后,可乘长途或短途飞机。
根据目前航行安全建议,有国际航空公司建议开颅手术后10-14天再乘坐飞机,同时要求患者乘机前做头部检查,确认颅内没有积气。国内航空公司的观点是:需患者的主治医生提供医学证明,经过航空公司审核通过后,才能乘机。

30多岁的L先生,当地检查怀疑中脑脑膜瘤,部分切除后由于还残留大部分肿瘤,找到巴教授。肿瘤直径约3cm,已经明显压迫脑干,前方是动眼神经,甚至动脉也受到挤压。巴教授成功为其完成全切手术,患者术后12天顺利出院。在出院时,巴教授表示:“可以乘飞机长途旅行”。
第一次手术时,我被误诊了?
复视、左侧面部感觉麻木伴有吞咽困难,30多岁的L先生就诊当地医院,查出右侧中脑病变,当地医生怀疑是脑膜瘤,建议手术,对病变进行了部分切除。
然后,术后他又出现视物重影、平衡障碍,并且出现疤痕周围积水,经过对症治疗,术后10-14天肿胀减轻。术后再次进行颅MRI检查,发现第一次手术基本没有切除多少肿瘤,实际上整个肿瘤都保留在原位,大小不变,吞咽困难等症状仍然存在。
L先生找到巴教授后,教授在评估了既往颅内MR后,他还建议进行血管造影,以分析病变的血管形成情况并评估可是否进行供血动脉栓塞。
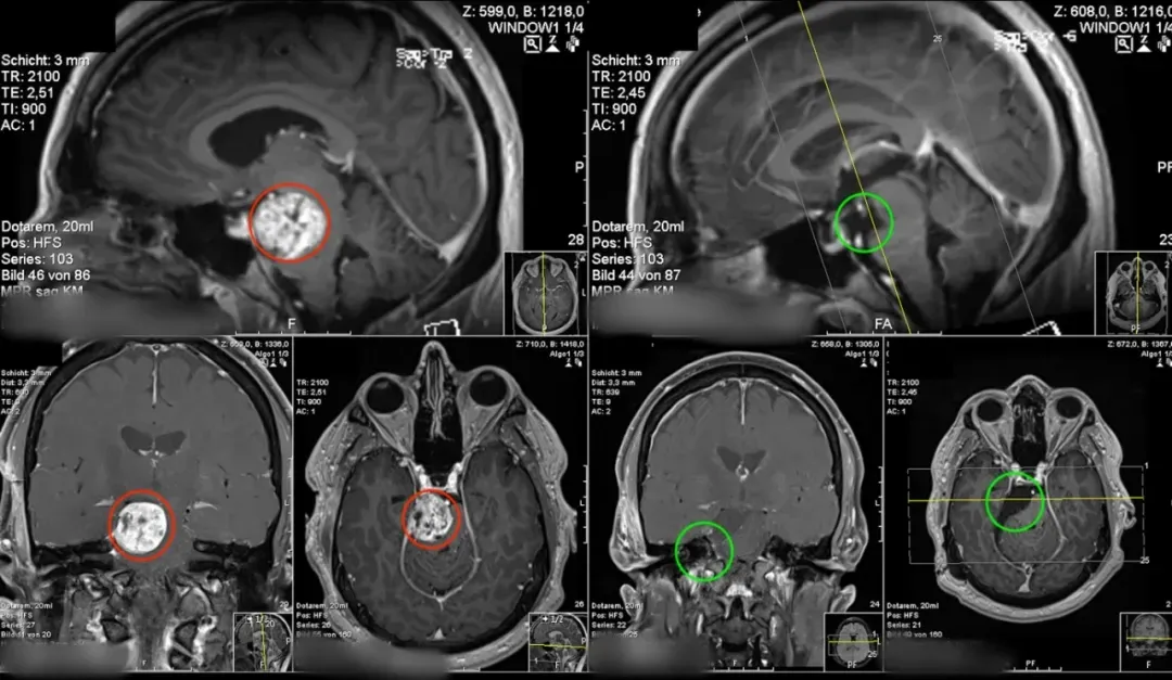
MRI图像显示神经鞘瘤的典型结构,直径约3cm,与右腱膜和Meckel区域有着广泛的关系,并显著压缩和移位脑干,尤其是上部脑桥和下部中脑区域。
肿瘤延伸到背侧蝶鞍和右后斜突,位于移位的动眼神经前方。脑后动脉和小脑上动脉也受到肿瘤的影响并改变了正常位置。
二次开颅12天出院,我可以坐飞机长途旅行
巴教授顺利全切肿瘤,L先生被转移到ICU进行术后观察1天;术后第2天进行了颅CT检查未见出血等并发症,并转移至普通病房;术后第3天下地康复锻炼,可以自主行走。术后恢复期间,感觉麻木及吞咽问题明显改善,视物重影有所好转,术后第12天出院。

(术前术后MR对比)
巴教授建议在手术后6周内进行身心休息,继续进行物理治疗。建议在3个月左右进行一次MRI检查,并将影像发送给巴教授进行术后随访。术后可以乘飞机长途旅行。
滑车神经鞘瘤是什么?
滑车神经鞘瘤临床中少见,由于不典型的临床症状及影像学特点,诊断上较为困难。神经鞘瘤是由周围神经的Schwann鞘(即神经鞘)所形成的肿瘤,亦有人称之为神经瘤,为良性肿瘤。临床常见的是听神经瘤,是发生于前庭神经或蜗神经,其他颅神经的神经鞘瘤少见很多。滑车神经是唯一连于脑干背侧的脑神经,外径细小,行程较长。
肿瘤生长缓慢,早期症状易忽略,患者就诊时肿瘤多较大。非前庭神经鞘瘤在脑肿瘤中少见,三叉神经鞘瘤常见,其次为舌咽神经、迷走神经、面神经、副神经、舌下神经、动眼神经、滑车和外展神经鞘瘤,按降序排列。与颅内重要结构毗邻,如海绵窦、大脑后动脉、小脑上动脉、小脑前下动脉、面听神经、动眼神经、三叉神经、外展神经、小脑、脑干等。
主要临床表现
(1)特征性症状是复视、偏瘫、小脑共济失调。某些病例未出现复视是由于随着肿瘤的增长,上斜肌神经功能被其他眼外肌代偿,综合文献报道仅有44%的病例出现滑车神经麻;
(2)邻近神经、组织受累的表现:肿瘤长大累及海绵窦,常累及面神经、三叉神经、动眼神经,造成眼球运动障碍和复视;肿瘤累及桥小脑角区可出现共济运动障碍,锥体束征及面听神经、后组颅神经损害等桥小脑角综合征的表现;
(3)颅内压增高的表现:晚期肿瘤压迫导水管、第四脑室产生梗阻性脑积水出现颅内高压症状。
1976年,King首次对滑车神经鞘瘤实施手术切除,并获得成功。此后陆续有少数病例报道。近十几年来随着显微外科技术的进步,滑车神经鞘瘤手术入路的改善以及神经导航技术的发展为滑车神经鞘瘤切除提供了有利条件,手术病残率与病死率也大大降低,鲜有手术死亡。
然而,滑车神经鞘瘤由于解剖位置的特殊性,其手术仍具有很高的手术风险、致残性、复发率。滑车神经鞘瘤的手术目的在于保护周围重要结构的前提下更大程度地切除肿瘤。
手术切除一直是常见的治疗滑车神经鞘瘤的手段。然而一旦肿瘤黏附到周围的关键结构如颅神经、脑干、血管等组织,完全切除肿瘤无任何并发症,对神经外科医师的手术经验及能力有着巨大要求。
- 文章标题:开颅手术后能坐飞机吗?高难脑瘤全切术后12天,他如愿“飞”向新旅途
- 更新时间:2025-09-29 13:48:26
400-029-0925




