堂堂爸爸:“再见,医生!我们堂堂终于平安出院了,希望他以后的人生再也不要跟脑瘤有任何关系了!”
作为脑瘤患儿的父母,这是他们对孩子未来最质朴的期盼。恐怕只有亲眼看过孩子经历生死,才能如此深刻地理解健康的重要。回想起来,顺利出生的堂堂,曾被寄予无数美好的祝愿,然而,厄运却来得猝不及防。
他只跟世界和平相处了1年,就遇上了头号“大魔王”——一个脉络丛乳头状瘤。这种发生率不超过颅内原发性肿瘤1%的罕见脑瘤,导致堂堂不得不在小小年纪就承受着巨大的痛苦:头颅异常增大、易怒、间歇性呕吐……
同样痛苦的,还有堂堂的家人。此时的他们还不清楚引发以上症状的“真凶”,因为辗转多家医院、做过无数检查,均显示正常。堂堂没有发热、视力异常、言语障碍等神经系统异常表现,体格检查和中枢神经系统检查都显示孩子生命体征平稳,意识清醒。
可是孩子分明不对劲,问题究竟出在哪里?艰难、奔波的求医历程令他们心力交瘁,但他们没法放弃堂堂。所幸,在多伦多大学附属儿童医院(SickKids)他们得到了答案:这一切都是由脉络丛乳头状瘤引起的。这种肿瘤通过占位效应阻碍脑脊液循环,引起头颅增大与呕吐症状,而它隐匿生长的性质也吻合各项检查无明显异常的结果。
堂堂爸爸:“即使一开始诊断的时候就遇到困难,但是我们从未想过放弃,他才1岁,人生还很长,只要能给他找到更好的医生,我们多辛苦都愿意。所幸我们最后也找到了,Rutka(鲁特卡)教授给堂堂手术后,他的恢复一直很顺利,我们才真的放下心来。”

堂堂的恢复如何?
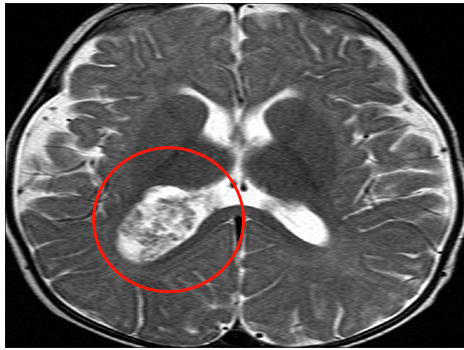
术前的检查显示,堂堂右侧脑室后角有一个大肿块,考虑脉络丛乳头状瘤病变,并有蒂连接,伴有中度脑积水。

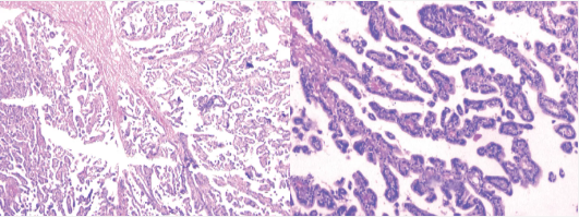
鲁特卡教授通过右顶骨开颅手术和侧脑室切开后中央回后方的皮质切口。暴露血管高度丰富的肿瘤,夹紧蒂部并烧灼,然后顺利切除肿瘤。术后病理结果显示为脉络丛乳头状瘤。

显微照片显示纤维血管核心的多个乳头状结构(左)、乳头状结构排列整齐的立方至柱状上皮细胞(右)
经过鲁特卡教授的手术治疗,堂堂康复得十分顺利。两周后,堂堂的所有体征和症状均已缓解。CT扫描结果显示,脑积水减少,脉络丛正常。他平安出院,术后也无需任何辅助治疗。
脉络膜丛乳头状瘤:全切预后良好
脉络膜丛肿瘤是一种罕见的来源于脉络膜丛上皮的肿瘤,占所有中枢神经系统肿瘤的0.2%,好发于侧脑室或四脑室。其症状和体征与脑脊液过度产生或梗阻、脑脊液吸收障碍引起的颅内压升高有关,表现为巨颅、囟门凸出、恶心、呕吐、头痛、共济障碍等。
根据WHO中枢神经系统肿瘤分类(2021年第五版),该谱系包含三个亚型:
- 脉络丛乳头状瘤(CPP,WHOⅠ级)
- 非典型性脉络丛乳头状瘤(aCPP,WHOⅡ级)
- 脉络丛癌(CPC,WHOⅢ级)
其中,脉络膜丛乳头状瘤是一种良性乳头状肿瘤,尽管在诊断时或最初诊断后数年有远处转移,但大多数CPP患儿在全切后的预后良好,5年总生存率为90-100%。
鲁特卡教授研究:aCPP的治愈方法
此外,针对脉络膜丛肿瘤的另一种亚型——非典型性脉络丛乳头状瘤,鲁特卡教授曾进行过一项研究:《Paediatric atypical choroid plexus papilloma: is adjuvant therapy necessary?》(小儿非典型脉络丛乳头状瘤:是否需要辅助治疗?)
在这项研究中,非典型性脉络丛乳头状瘤患儿的10年EFS(无事件生存期)和OS(总生存期)分别为75%和100%。结果表明,儿童aCPP可以在没有辅助治疗的情况下成功管理,从而避免了放化疗潜在的毒性。手术可完全切除,且预后良好。

INC 国际小儿神外专家团
国际儿童神经外科大咖 James T. Rutka教授

教授发表超过500多篇高影响力论文,在临床上的研究方向以颅内肿瘤为主,对胶质瘤、纤维瘤、颅咽管瘤、室管膜瘤具有多年的临床经验,擅长清醒开颅术、显微手术和被广泛用于治疗恶性脑瘤和癫痫的国际前沿技术激光间质热疗(LITT)技术经验,对于儿童胶质瘤,尤其是高级别胶质瘤开展多项临床试验,其所在的医院加拿大SickKids是国际知名的儿童医院之一。
国际脑干手术大咖 Helmut Bertalanffy教授

教授擅长颅底、脑干病变、功能区、大脑小脑、脊髓等复杂位置的肿瘤性、血管性疾病的手术治疗,尤其擅长颅底、脑干等复杂区域病变的肿瘤切除术、神经吻合术等,脑干病变成功手术病例近千台,以精湛高超的手术技术不损伤神经功能且全切病变。巴教授历经千万个小时用超精确的物理剥除诠释了医术为何为艺术。
国际儿童神外专家 Concezio Di Rocco教授

自2014年5月起,Di Rocco教授就担任了德国汉诺威国际神经科学研究所(INI)的儿科神经外科主任。从事儿童神外事业50余年,Di Rocco教授尤为擅长小儿神经纤维瘤、癫痫、脑积水、蛛网膜囊肿、颅缝早闭、脑和脊髓肿瘤、脑和脊柱畸形(半椎体畸形,皮质发育不良,脊髓脊膜膨出,脊髓内脂肪瘤,Arnold-Chiari畸形等)难治病症方面的治疗,曾进行过12000多次神经外科手术。
- 文章标题:“我还想孩子活很多个10年!”这种脑瘤可以做到……
- 更新时间:2025-07-07 17:01:16
400-029-0925


