呃逆,俗称“打嗝”,本是生活中比较常见的,通常也都会自己止住。
但是在有些情况下,却没办法止住……
有这样一位17岁女孩,打嗝差点“摧毁”了她本该绚丽多姿的生活。
起初只是偶尔打嗝,后来频次越来越高,直至发展成顽固性呃逆,再也无法止住。这个不速之客,彻底搅乱了她的生活:
·课堂上,专注随时会被自己无法抑制的“嗝、嗝”声打断。
·和朋友外出游玩,无休止的打嗝让她在欢声笑语中格格不入。
·连睡眠也得不到安宁,她常在睡梦中被自己“嗝醒”。
直到一次脑部磁共振检查,真相终于浮出水面:
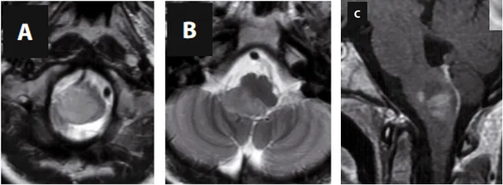
延髓下部髓内发现了一个大型肿瘤,并已延伸至右侧小脑下脚。
原来,这个生长在生命中枢(脑干)区域的肿瘤,正是导致她长期顽固性呃逆的“罪魁祸首”。它持续刺激或压迫了控制打嗝反射的神经通路,导致了这场漫长的折磨。
术前MRI(A-C)

明确病因后,安妮需要手术治疗。然而这个位置并不容易手术。
延髓-颈髓交界区,被称为神经外科的“手术禁区”,因其结构复杂、功能至关重要。此区域密集排列着控制呼吸、心跳、血压等生命中枢的神经核团,以及支配吞咽、发声、肢体活动的关键神经传导束。在这里进行手术,犹如在精密运行的“中枢交换机”内部进行操作,任何微小的损伤都可能导致呼吸心跳骤停、长期呼吸机依赖、吞咽困难、四肢瘫痪等严重、乃至不可逆的神经功能障碍。因此,手术的核心目标是在最大限度切除肿瘤与极致保护神经功能之间取得极其艰难的平衡。

面对这个位于手术“禁区”的复杂病变,INC的巴特朗菲教授为安妮制定了精密的手术方案。他主刀施行了后正中入路肿瘤切除术,并在持续术中神经电生理监测的全程护航下,精准操作,顺利切除了肿瘤,解决了安妮打嗝的这一罪魁祸首。术后影像证实了肿瘤的满意切除。

术后MRI

为何这个位置的肿瘤会导致呃逆?
延颈髓交界区的肿瘤之所以会导致顽固性呃逆,根源在于它直接干扰了人体控制打嗝的“神经开关”。打嗝本身是由一个从大脑到膈肌的反射弧控制的,其中最关键的中枢位于延髓。
当肿瘤生长在这一区域时,会通过直接压迫、引发局部水肿或影响神经血供等方式,持续刺激或损害这个“呃逆中枢”,导致控制打嗝的神经信号紊乱、异常放电,从而引发无法自行停止的、顽固性的打嗝。因此,这种看似普通的症状,往往是脑干区域存在器质性病变的一个重要警示信号。
关于延颈髓交界区肿瘤的手术治疗
延颈髓交界区的髓内胶质瘤构成了一组特殊的脑干肿瘤,尽管其解剖结构复杂,仍具备手术切除的可能。该区域肿瘤类型涵盖毛细胞型、纤维型及间变性胶质瘤,以及神经节细胞胶质瘤,仅偶见IV级胶质瘤。
与室管膜瘤不同,胶质瘤缺乏明确边界,致使手术切除难度显著增高。其质地与血供存在显著异质性:毛细胞型与间变性胶质瘤常表现为富血供、低硬度,而纤维型胶质瘤与神经节细胞胶质瘤则多呈高硬度、强弹性且血供较少。多数情况下,术区肉眼难以区分正常与病变组织。但,手术主要目标仍在于实现病灶减容与获取精确病理诊断。
为实现髓内胶质瘤的最大程度减容,巴教授团队综合运用以下技术:高质量术前影像、术中导航(神经导航、超声),采用毫米级标尺进行直接术中测量。同时,通过器械(吸引管、双极电凝镊)尖端持续获取触觉反馈,辅助鉴别正常与病变组织。此外,术中诱发电位参数变化及心血管反应(如心动过速)也为决定是否继续切除提供重要参考。
作为国际脑干肿瘤大咖,巴特朗菲教授在脑干肿瘤和颅底肿瘤的显微外科治疗研究方面,已经取得了众多开创性的成就。巴教授脑干手术病例1000多例,这些成功案例是他30多年来、一步一个脚印,不断创造“禁区奇迹”得来的。点击了解:30+年1000+台脑干肿瘤手术,心、技、体合一,当代国际神经外科的“手术刀侠”
案例来源:Helmut Bertalanffy.Intraaxial lesions of the foramen magnum
- 文章标题:“频频打嗝,还停不下来”,17岁女孩“怪病”背后竟是生命中枢延髓脑瘤作祟
- 更新时间:2025-12-11 10:07:34
400-029-0925




