我们的脑壳很坚硬,但它们可不是全封闭设计。大脑的神经、血管都需要与外界连通,脑壳上也为连接这些线路留好了出口。脑壳上,最大的那个脑洞叫做“枕骨大孔”,它位于颅骨的底部。这里是头颅与颈椎的连接处,可以理解为一个“神经血管的交通枢纽”。在这个狭小的空间内,密集分布着维持生命和重要功能的结构。

图:枕骨大孔区,从右背外侧和下角观察颅骨(a)和右背外侧颅骨区图示(b)。如大箭头所示,枕骨大孔前缘和神经轴前表面的直线视图被枕骨大孔外侧缘、髁状突后导管和寰枕关节内侧部分阻挡。通过部分磨除椎动脉硬脑膜入口正外侧的骨质结构,可以充分扩大手术视角,以便安全地操作神经轴的前外侧。OC:枕髁,JT:颈静脉结节。
生命中枢:延髓(负责心跳、呼吸等基本生命功能)和上颈髓在此直接延续。
关键颅神经:第IX(舌咽)、X(迷走,主管吞咽和发声)、XI(副神经,主管耸肩转头)、XII(舌下神经)对颅神经从此处发出,损伤会导致吞咽困难、声音嘶哑、肩部无力等严重并发症。
核心血管系统:椎动脉、小脑后下动脉(PICA)及其分支在此穿行,负责脑干和小脑的血供。损伤可导致脑干梗死,后果灾难性。
枕骨大孔区一旦长出肿瘤,手术的“难”可不一般——集“看不见”(位置深)、“碰不得”(结构重要)、“切不净”(关系复杂)挑战于一体。
肿瘤往往将这些结构包裹、推挤或粘连在一起,手术视野极其狭小,犹如在“螺丝壳里做道场”,分离肿瘤时稍有不慎就会损伤这些至关重要的结构。
48岁男子延髓大型肿瘤
看一台手术如何打通“生命通道”
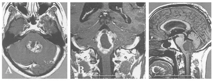
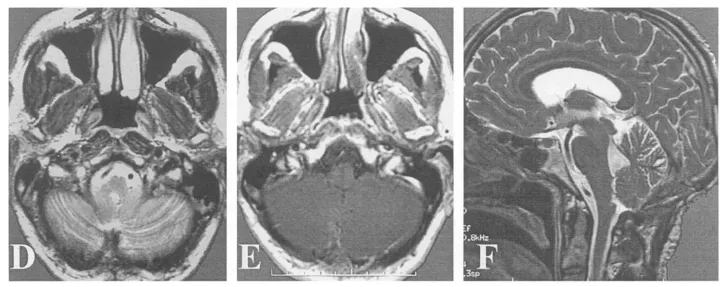
生命中枢告急!48岁男子延髓区域发现一个大型囊实性室管膜瘤,它像藤蔓一样,向上爬入第四脑室,向下钻进了椎管。

要切除这种骑跨在“生命禁区”的颅颈交界区病变,需要深厚的解剖学知识。手术面临三大难关:
视野关:肿瘤广泛覆盖神经轴,首次暴露几乎无操作空间。
血管关:手术第一步必须在早期辨认并保护为肿瘤供血的小脑后下动脉(PICA)分支。
暴露关:为显露肿瘤顶端,需精准游离小脑扁桃体并切开后髓帆(本次手术避免了小脑蚓部切开)。
巴教授首先用CUSA刀为肿瘤“瘦身”,逐步为关键神经血管结构腾出空间。随后,在显微镜下完成了一场极致精细的“拆弹”手术:完整游离尾组颅神经根丝、椎动脉(VA)近端及PICA分支。
(A)硬脑膜切开后可见向下延伸至C1水平的大型肿瘤;

肿瘤已侵犯脑干,巴教授仍坚持在第四脑室底彻底切除肿瘤,以防复发,并进行细致的止血。因为研究表明,术后CT或MR影像学无肿瘤残留是长期生存的有利因素。
(E)小脑延髓外侧池内结构完整,箭头指示右侧椎动脉;

(D-F)术后6个月MR证实肿瘤全切。

(F)术后6个月患者临床状态良好。

枕骨大孔区肿瘤
手术成功的关键因素
上述案例来自于巴教授等2002年发表的研究《Surgery of Intradural Tumors at the Foramen Magnum Level》。

研究涵盖74例枕骨大孔区硬膜内肿瘤及海绵状血管瘤患者,均接受显微外科手术治疗。病理类型包括:脑膜瘤25例、血管母细胞瘤12例、室管膜瘤11例、神经鞘瘤9例、胶质瘤7例、海绵状血管瘤6例、表皮样囊肿2例、脂肪瘤1例及转移癌1例。文中结合多个案例对于枕骨大孔区手术技术进行了详尽阐述。

枕骨大孔区肿瘤手术的关键成功因素与操作策略
鉴于枕骨大孔区位置深在且该区域肿瘤发生率相对较低,其手术切除较其他颅底区域更为复杂。巴教授多年经验表明,获得良好手术效果至少需要四个关键要素:
(1)对该区域特定解剖结构(存在个体化差异)建立全面立体的认知;
(2)根据病变位置定制暴露方案(肿瘤越靠前内侧则暴露难度越大);
(3)术中创建并维持近乎无血的手术野条件;
(4)针对不同肿瘤特性采用差异化手术技术。
1、精准掌握包含解剖变异的特定解剖知识
虽然常规神经影像(如增强CT和三平面MR)可清晰显示肿瘤,但不足以精确规划手术方案。高分辨率MR能提供更多细节:肿瘤侵犯脑干/脊髓的程度、神经轴内显性或隐性出血、脑干/脊髓水肿等。
巴教授常规采用骨算法CT扫描(可行时辅以三维重建)优化手术规划。椎动脉水平段后襻、髁导静脉尺寸与走行、椎动脉硬膜支/脑膜支、硬膜内椎动脉开窗、寰椎背桥、高耸颈静脉结节、平坦或凹陷型斜坡、枕大孔形态等解剖变异细节均需通过术前高分辨率影像明确。掌握个体化形态特征是定制手术方案的重要前提。
2、病变的定制化暴露方案
多数情况下后位枕骨大孔区肿瘤暴露不难。根据肿瘤头尾延伸范围,需行C1(必要时C2)椎板切除,并注意肿瘤侧方延伸。根据病变具体位置,可单侧扩大骨窗范围。
但对于脑干与颈髓腹侧肿瘤,缺乏定制化暴露则无法安全切除。尤其脑膜瘤必须充分暴露肿瘤硬膜附着点。遇到的脑膜瘤质地与血供差异显著:部分肿瘤质脆软但富含病理性脆弱血管网(经标准后路入路难以充分电凝周边)。
早期断流(仅能在肿瘤硬膜附着点实施)是最佳策略,这常需采用"极外侧入路"。当遇到凹陷型斜坡或肿瘤延伸至突出颈静脉结节后方时,需切除部分结节才能安全切除肿瘤。
3、创建并维持近乎无血的手术野
枕骨大孔区重要神经血管结构密集。延髓/脊髓、下组颅神经/上段脊神经根丝、椎动脉、小脑后下动脉及其穿支血管在术初未必完全可见(常被肿瘤遮挡)。
若术中持续出血(来自肿瘤本身或硬膜外),将导致重要结构无法辨识而增加手术风险。通过分步精准止血,可最大限度减少肌肉、骨骼、硬膜、乙状窦/边缘窦、髁导静脉、动脉周围静脉丛等结构的出血。
4、显微手术技术的通用原则
硬膜外与硬膜内阶段技术差异显著:硬膜外阶段需将多组肌肉从骨附着点剥离并牵开/切断;在椎动脉周围及颈静脉球附近等关键区域磨除骨质时,存在大出血或损伤下组颅神经的风险。
为避免骨屑扩散至蛛网膜下腔,巴教授主张硬膜开放前完成所有骨性操作(充足的解剖标志可确保硬膜外结构辨识)。硬膜内阶段最关键的是避免任何可能压迫或损害神经轴、颅神经/脊神经根丝、椎动脉及其硬膜内分支的手术操作。
- 文章标题:生命中枢告急!48岁男子延髓-椎管肿瘤,枕骨大孔区术后6个月怎么样了?
- 更新时间:2025-10-29 11:09:04
400-029-0925




