57岁的海绵窦脑膜瘤患者蒋女士就是其中一员,不幸罹患多发脑膜瘤(海绵窦脑膜瘤、左侧矢状窦旁额叶钙化脑膜瘤)、脑干-桥臂海绵状血管瘤,本打算安详晚年的年纪却遭受如此重击,她该怎么办?颅内的肿瘤需要手术吗?哪一个需要先进行手术?手术难度大吗?带着种种疑问,她在INC的协助下找到世界神经外科联合会(WFNS)颅底手术委员会前主席Sebastien Froelich(福教授),福教授又是如何回复她的?一起来看看。
57岁女性-多发脑膜瘤+脑干海绵状血管瘤
2014年,蒋女士出现右侧头部时有发热,发烫,当时咨询了当地医生,未行特殊处理。随后每年有1-2次的右耳处发热,发烫。
2022年开始,蒋女士出现耳鸣,持续数月,服用中成药后缓解。
2024年年3月开始,蒋女士因感冒引起轻度支气管炎和肺炎后出现声音轻度嘶哑,并有少量痰液,持续到现在。
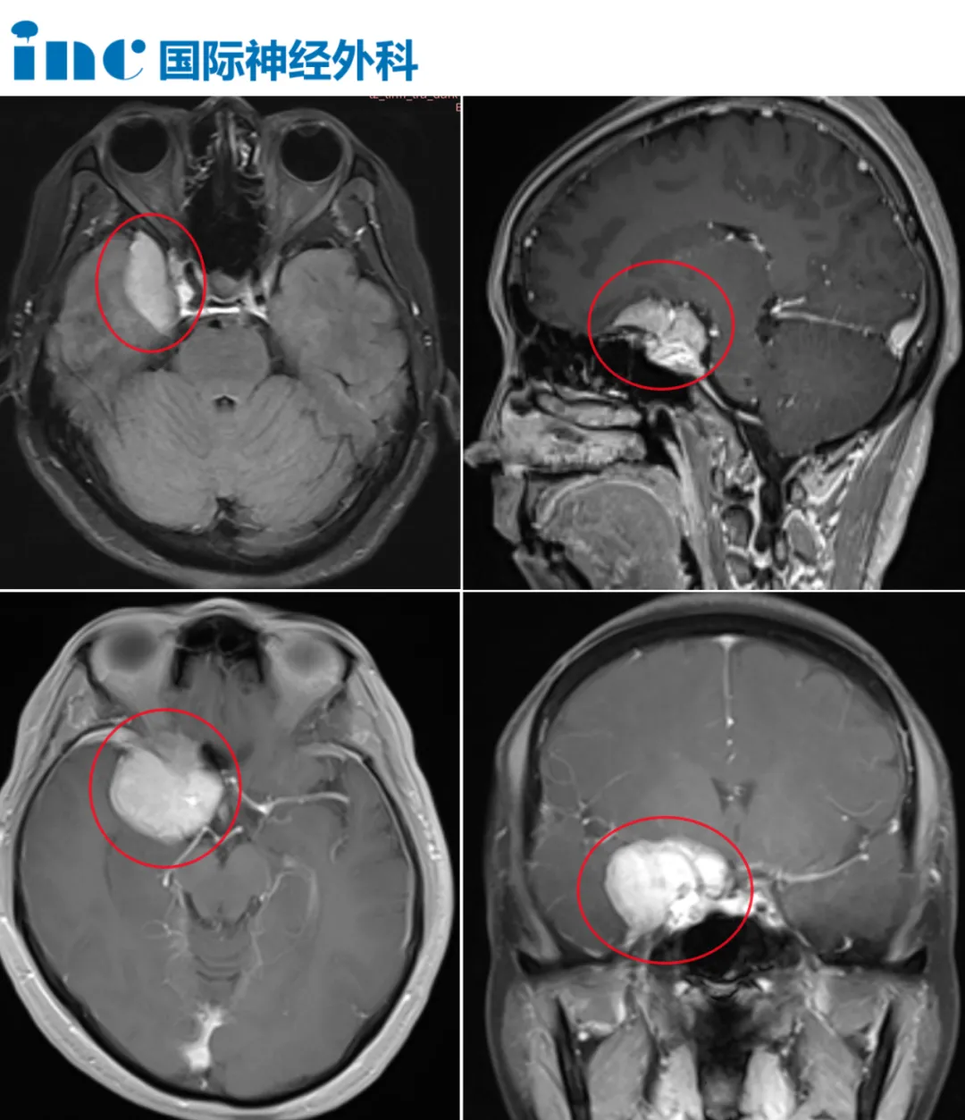
6月19日患者到医院完善CT发现颅内占位,于6月20日做增强核磁共振提示:右侧跨前中颅窝紧贴颅骨见一围绕蝶骨眶面生长不规则占位性病变,约32mmx41mmx42mm;左侧额部大脑镰左旁见小结节影,约1.0cmx1.2cm;脑干右份近桥臂见小结节异常信号影。

天降厄运,蒋女士一家遭受重击。虽然自己年近六旬,但是身体一直都只有一些小毛病,哪曾想过在自己的脑子里居然查出了三个占位,右侧的巨大脑膜瘤更是邻近海绵窦,海绵窦区神经、血管交错解剖高度复杂,涉及多个颅神经、重要脑动脉、巨大静脉丛和脑干。
在病友的推荐下,他们在INC的协助下,远程咨询福洛里希教授。随即INC工作人员迅速整理翻译了蒋女士的病史资料,邮件发送了蒋女士目前的疑问——“能手术吗?”“手术难度大吗?”“手术方案是什么?”
“这是一个可以直接手术的病例”国际颅底手术专家答疑解惑
福教授远程咨询回复
1.颅内三个不同病灶,福教授考虑的诊断是什么?应如何治疗?是否有必要进行手术?哪个病变应先进行手术?
福教授:右侧海绵窦脑膜瘤,左侧矢状窦旁额叶钙化脑膜瘤,脑干桥脑海绵状血管瘤。右侧海绵窦脑膜瘤应该手术治疗。左侧矢状窦旁额叶钙化脑膜瘤可以观察。脑干桥脑海绵状血管瘤可以观察。
对于右侧海绵窦脑膜瘤,手术是一个合理的选择,因为肿瘤的体积很大,并且对颞叶和视神经系统造成了很明显的压迫效应。其他两个病变目前不需要手术,只需观察。
矢状窦旁脑膜瘤很可能是一种非生长性或生长非常缓慢的脑膜瘤。在考虑治疗之前,应首先证实其生长情况。脑干海绵状血管瘤没有出血迹象,每年的出血风险极小。因此,也只需观察即可。
2.患者的病情在同类病情中属于什么级别的(如轻度、中等、严重)?
福教授:手术难度并不大,因为大部分肿瘤生长在海绵窦外部,海绵窦内部没有多少肿瘤。我认为颈内动脉和血管都在脑沟的血管槽里,并没有完全被肿瘤包裹。我不认为颈内动脉生长在肿瘤上方。所以这是一个可以直接手术的病例。对于这个手术我并不担心。
3.手术入路和方式具体是在哪个位置(能否指出),开口有多大?
福教授:对于这种类型的肿瘤,我通常会在耳朵上方和发际线后方做一个小切口。因为我感觉病人的发际线比较靠前,这很好。发际线后面的切口很小,我会剃掉很少的头发,所以术后看不出来。
4.患者以前是近视眼,20年前接受过近视手术,现在看不清小字。眼镜分泌物较多,这与肿瘤有关吗?
福教授:很难说,我无法断定这是否与肿瘤有关。我唯一能解释的是,肿瘤压迫了视神经。当肿瘤进入视神经管时,视神经会受到严重受压。因此,手术将为视神经减压。如果肿瘤继续生长,患者右侧视力可能会下降。这肯定会随着肿瘤的生长而发生,因为肿瘤明显压迫视神经和视交叉。幸运的是,她目前没有视力症状。但如果不切除肿瘤,她将会出现视觉症状,因为肿瘤位于视神经管的入口处。
海绵窦脑膜瘤为什么那么难?
海绵窦(CS)的平均尺寸为2厘米长,1厘米宽;该区域神经、血管交错解剖高度复杂,涉及多个颅神经、重要脑动脉、巨大静脉丛和脑干;因此海绵窦脑膜瘤被称为难以治疗的脑膜瘤之一,1980年以前,该区域几乎被视为“手术禁区”,手术伴有非常高的死亡率和致残率。尽管在七十年代显微外科技术得到了发展,但人们认为显微神经外科在处理海绵窦内及周围的病变方面已经达到了极限。损伤神经结构的很高的风险,以及引起无法控制的出血或术后脑脊液漏似乎是一个不可避免的难题。

图示蓝色区域为海绵窦,海绵窦包围垂体复合体,包含颅神经(CNs)III、IV、V1、V2和VI,颈内动脉(ICA)的海绵段和颈动脉周围交感神经丛。颅神经III、IV和VI被蛛网膜鞘和蛛网膜颗粒包围,海绵窦内脑膜瘤由此产生。
海绵窦脑膜瘤(CSM)起源于海绵窦(CS)本身,或其次起源于相邻位置,如岩骨、岩斜坡区、前床突或蝶骨翼。由于关键的神经血管结构集中在鞍旁区,曾被认为是不能手术的,但它仍然构成了巨大的手术挑战。因为有些(如果不是全部的话)海绵窦脑膜瘤会渗透到周围的中枢神经系统和ICA(颈内动脉)中。这就是为什么完全切除海绵窦脑膜瘤并完全保留功能是非常不可能的。
从这个角度来看,仔细选择手术切除的患者是至关重要的,正如术前手术计划和手术目标一,海绵窦脑膜瘤的切除率取决于多种因素,如肿瘤扩展、颈内动脉受累、中枢神经受累、肿瘤质地和外科医生的经验。
近20年来,随着放射治疗、分子靶向治疗的进步,海绵窦脑膜瘤的治疗目标已经转变为在保证患者神经功能的前提下尽可能全切肿瘤,术后予辅助治疗控制残余肿瘤生长。
注:以上内容仅为个案内容,不构成诊疗建议,请以医疗机构具体诊断为准。
- 文章标题:一次脑部检查,竟发现脑袋里有3个“占位”!
- 更新时间:2024-11-12 17:55:28
400-029-0925




