世界神外大咖显微镜+内镜双镜联合
让软骨样肿瘤“无所遁形”
术者:INC福洛里希教授

51岁男性
长期苦恼于鼻塞
以为是鼻炎
没想到竟查出脑肿瘤!
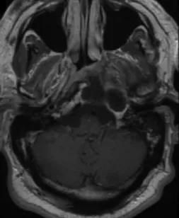
MR检查:颞下和斜坡区域巨大肿瘤(脊索瘤可能),存在广泛的岩骨和斜坡骨质侵蚀,肿瘤并向海绵窦侵袭(图A-B)。

图A&B:增强磁共振T1加权像显示颞下窝较大占位,肿瘤延伸至舌下神经管(HC)水平的咽后间隙。肿瘤向前侵犯蝶窦,并向后颅窝和中颅窝浸润,无硬膜内浸润。
颈内动脉(ICA)已经闭塞并被切除(图E)。

图E:显露颞下窝,大部分肿瘤已在镜下切除,暴露上颌神经(V2)和下颌神经(V3),暴露岩骨菱形区和翼管。

图F:神经内镜辅助下,可以观察到下颌神经(V3)和颈静脉孔内侧下方。改善了岩尖三叉神经下方、海绵窦下壁及中、下斜坡区域的操作视野。
此外,位于IAC下方的颈静脉内侧和髁突内侧区域的肿瘤腔室在内镜下视野清晰,肿瘤完全切除。术后恢复顺利,无新发神经损伤。因此,在该案例中,INC国际福教授团队,创新手术方式,在神经内镜辅助下,通过联合vidian三角和菱形区扩大入路可以更好地观察到在显微镜下未见的肿瘤部分,从而实现满意的肿瘤切除。最终,组织病理学检查显示软骨瘤。

术后MR复查,显示颅中窝肿瘤已被切除,无新发神经损伤。
案例分析
位于岩尖、海绵窦、斜坡、颈静脉孔内侧或枕髁区域的病变,在手术显微镜下仍难以完全暴露和切除肿瘤。虽然通过中颅窝进入该区域的入路已经被应用,但这些入路只能提供有限的术野效果。福教授等神经外科医生团队采用创新的经颅颞下窝联合显微手术和内镜手术,暴露岩尖、斜坡、颈静脉孔内侧和枕髁,以达到最大化切除肿瘤的目的。
显微镜和内窥镜的结合,在术中导航的帮助下,可以广泛观察岩骨菱形区、整个斜坡和内侧枕髁区域。岩前硬膜外扩大入路为岩骨和斜坡病变提供了一个宽阔的手术通道。神经内镜辅助可以广泛而深入地暴露中下斜坡、咽上间隙和双侧髁突区域。这种手术入路方法成功地为位于这些区域的肿瘤切除提供了足够的手术操作通道。
显微镜+神经内镜“双镜联合”的重要意义
“双镜联合”手术的技术使用,可以在同一台手术中发挥取长补短的优势,充分利用内镜的纵深、角度优势与显微镜下的立体视野和操作空间优势,根据病变的位置、大小和性质,同时进行肿瘤的切除和双向修补,规避了单一手术可能会带来的不足之处。通俗而言,显微镜就像海水表面的战斗机,内镜则是海里的潜艇,双者联合作战就拥有了三维打击航空母舰的战斗力。

多年以来,福教授专门做各种颅底手术,优势之一是掌握了颅底手术的大量入路,这意味着他能够达到颅底360度的视野。在神经外科领域内,福教授能够很好地将“双镜联合”运用到这个复杂而神秘的区域。
福教授擅长经典的显微镜下开颅入路,同时也可以做内镜下经鼻入路和内镜辅助下的显微镜入路;不仅可以处理复杂的肿瘤,也可以从不同的角度观察、接近它们。针对每一个特定的肿瘤,福教授都能找到一个合适的手术入路。只了解一个入路是永远不够的。
- 文章标题:“双镜联合”对抗软骨瘤:反复鼻塞以为是鼻炎,一查脑里竟塞了个大瘤子!
- 更新时间:2024-11-27 18:19:46
400-029-0925


