“我才37岁,怎么能面瘫、偏瘫?”面对香港医生的建议,佩珊犹豫再三选择乘机来苏手术。
什么样的疾病让香港医生也束手无策?
“我是出过一次血,就不想第二次出血,很害怕第二次出血。出血后两个月都不敢推门,我老公帮我推门,觉得这样下去人生都没意思了。医生让我不能大声说话、打喷嚏可能都会出血,感觉这样人生都没用了,我就一直在那里大声哭。就这样坚持了两个月。我从香港过来,香港没一个医生有把握能不偏瘫、面瘫,所以我们才来这里找巴教授。”
2023年7月,佩珊突然感到身体没力气,在香港当地医院做核磁,发现脑干海绵状血管瘤出血。虽然后面症状慢慢恢复了,但出血后的佩珊一直过着胆战心惊的日子。为了更好的解决问题,他们在多方查询下了解到INC巴教授。

术后佩珊和巴教授开心合影
2023年9月,巴教授中国行期间,巴教授示范手术成功拯救了年轻的佩珊于病魔的阴影之中。“术后醒来第一件事就是动动手脚、眼睛,摸一下脸有没有面瘫。一切都很好,真的太神奇了巴教授。巴教授是我们的救命恩人,我们现在很放心的。我感到很开心,我真的是太幸运了!”

从咨询巴教授到成功示范手术,仅8天,病灶不仅得到了全切,且最害怕的偏瘫、面瘫等也没有发生,也不需要后续放疗辅助,在ICU待了一天就出来了。这个结果对37岁的脑干海绵状血管瘤患者佩珊来说是幸运之神的降临。术后第3天,巴教授查房时,兴奋的她激动得对巴教授“表白”感谢:“巴教授您太帅了,I Love you!巴教授也跟佩珊开心地比心。她的治疗路上充满挣扎和痛苦,但更多的却是驱散黑暗的明媚阳光。

佩珊行走自如,步伐自信而坚定,面部活动自如,微笑、鼓腮、龇牙、眼球各向活动……术前担心的偏瘫和面瘫都没有发生。

巴教授精湛的手术技术及来华示范教学手术的时机、一家人的当机立断……“天时地利人和”,多方原因促成这台完美的“生命禁区”手术。术后1年之际,佩珊的恢复状况究竟如何呢?
INC巴特朗菲教授最新随访
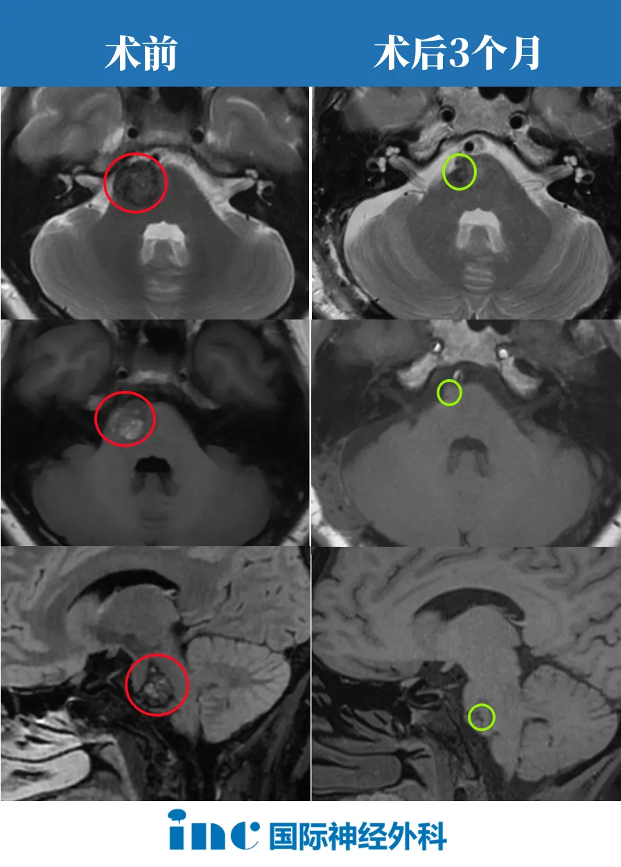
最新影像显示手术后1年多,手术完全切除了脑桥内先前的出血性海绵状血管瘤。这是一个非常好的结果!!病人应该快乐地正常生活!

术后3个月时随访:“海绵状血管瘤被切除了,没有残瘤。”
人们常说病来如山倒,脑干海绵状血管瘤就是这样一种良性,但是却能消磨人的意志,夺去你生活的希望,将你拉进痛苦深渊的疾病。脑干,无论手术还是不手术,都存在致残风险,应该如何选择治疗方案呢?还能回归健康生活吗?
“我从香港过来,香港没一个医生能够保障不偏瘫、面瘫,所以我们才来这里找巴教授,我就是害怕会偏瘫,也很害怕本身的压力会带来不好的结果。我太紧张了,有点晕了,这两天老是哭。”2023年巴教授中国行中,我们第一次见到佩珊,脆弱、焦虑、痛苦,因为这个随时可能“爆炸”的脑干海绵状血管瘤,她寝食难安。而在见到能“救命”的脑干手术大师巴教授后——这股长期的压抑也倾泻而出。在INC术后采访的镜头里,佩珊跟我们诉说着她的故事。
“做了可能会偏瘫、面瘫”,令人恐惧的脑干出血还有机会治愈吗?
术前是什么情况?有出过血吗?
佩珊:出过一次,大概7月31号。出血后就没力气了,在香港当地医院做核磁,发现脑干那里出血了。出血后左边身没力,左边脚没力。后面就慢慢恢复了。我是出过一次血,恢复了全部正常,就不想出第二次血,就很怕出第二次血。
香港那边的医生是如何评估的?
佩珊:不敢做,那边的医生都说做了会偏瘫、还会面瘫。我不想一辈子都保守,我说我想做,但是他们不建议我做。他说我这个地方风险很大,做了有偏瘫、面瘫,你能接受就可以做,我肯定不敢。医生让我不能大声(说话),我就一直大哭,心想(海绵状血管瘤)爆死了算了。医生让我吃止血药,都是说实在没办法时,等着它爆了(出血)再做。等严重了,可能瘫痪了,你去医院,他才敢帮你做。
香港→苏州,不远千里只为一个安全手术的机会
您还记得当时教授对您评估是什么样的?
佩珊:在网上看了巴教授,只有他让我有信心。
他之前也说过可能有一点点面部无力,还有耳朵,因为我那个离耳膜还有三叉神经很近,有可能会听力有一点点影响。但是现在就出来完全没有,我就觉得好幸运,完全没有。
巴教授回答我是不会面瘫和偏瘫,我觉得是不是真的那么的厉害,真的没想到能够这样子。
巴教授远程邮件评估:
“我可以为患者完全安全切除病灶。风险是已经由出血引起的感觉运动缺陷的暂时性的,轻微的听力缺陷和轻微的面部无力,然而,这些副作用无论如何都只是暂时的。手术后出现这种症状的风险可能是5-6%,如果确定是术后出现的,那这种缺陷在手术后1-3个月内得到解决”

“巴教授真的太神奇了!”安全全切手术,术后快乐的她又回来了
术前谈话时,巴教授安慰紧张的佩珊——”手术风险非常非常小,你不用害怕,会全切“。巴教授也用中文告诉佩珊:”在病房有两个女生我的病人,昨天以及前天的脑干部手术,你可以看一看。“

巴教授为佩珊演示手术的切口位置,届时只会剔除耳后的少量头发,佩珊可以保留自己的长发,不影响术后美观
术后对比起来,您感觉怎么样?
佩珊:现在我觉得很好、很好,四肢完全正常。就感觉有点胀胀的,其他都没事,完全没问题。听力也很好,眼睛、复视什么都没有,走路那些也挺好的。我昨天都走路了。感到很开心,幸运了,完全没问题,我真的是我刚睡醒我就摸一下脸有没有看面瘫,手脚都是用都没事,就觉得好幸运。真的感谢巴教授,很厉害的,真的救了我们,救了大家。
采访后记
哪怕远在香港,我们也一直关注着佩珊的恢复情况,巴教授定期的随访,及时解答了佩珊相关的疑问。
“幸运”,是佩珊访谈中最常提到的一个词。在对她的采访中,我们很难不被她的快乐所感染。遇见巴教授是很多患者的幸运,然而能够在短短8天里做了手术决定,并且做好了手术准备,最终彻底摆脱病魔,是佩珊和家人一直以来清晰的治疗思路的结果。虽然从患病以来一直笼罩在脑干出血的阴影之中,但是佩珊并没有被这种恐惧打倒选择贸然手术。而是一直积极寻求能为自己安全手术的医生,希望术后能够正常生活。现在她已经摆脱了危险的脑干海绵状血管瘤,术后也有了巴教授作为他们的坚实后盾,他们相信以后会越来越好。
我们遇到很多像这样的患者,巴教授用“术”对抗病魔和痛苦,为病患打开一扇“生的大门”。佩珊术前由于害怕出血,不敢推门、不敢大声说话、不敢打喷嚏;又害怕出现偏瘫、面瘫等术后并发症;抑郁、焦虑、恐惧如乌云笼罩,让这个年轻女性原本幸福的生活如履薄冰。手术后的佩珊,扎起了俏皮的马尾,脸上露出了久违的笑容,如同小姑娘一样青春活力、神采奕奕,一扫术前的疲惫不堪与心力交瘁。
- 文章标题:患者亲诉如何8天内彻底结束脑干手术偏瘫、面瘫噩梦?
- 更新时间:2024-12-10 15:26:48
400-029-0925




