下丘脑(希腊语中hypo的意思是“下方”,丘脑意思是“床”)属于丘脑下方的间脑的一部分。它是一个小而复杂的大脑结构,可控制许多重要的机体功能。
下丘脑是植物神经的皮质下中枢,是边缘系统、网状结构的重要联系点,垂体内分泌系统的激发处,仅重4g,占全脑的0.3%左右。

下丘脑的主要功能:
下丘脑不仅通过神经和血管途径调节脑垂体前、后叶激素的分泌和释放,而且还参与调节自主神经系统,如控制水盐代谢、调节体温、摄食、睡眠、生殖、内脏活动以及情绪等。
1.控制体液和电解质平衡:通过调节饮水和食盐摄入,以及通过抗利尿激素(如抗利尿激素ADH)的分泌来影响肾脏的功能。
2.调节食欲和能量平衡:参与调控饥饿和饱腹感,影响能量消耗和脂肪储存。
3.控制生殖功能:通过分泌促性腺激素释放激素(GnRH)来调节垂体的性腺激素分泌,进而影响性腺的发育和生殖激素的产生。
4.调节体温:通过控制散热和产热反应,维持体温在正常范围内。
5.影响情绪反应:与边缘系统一起参与调节情绪状态,如焦虑和抑郁。
6.睡眠和觉醒周期:参与调节睡眠-觉醒周期,影响人的生物钟。
7.对抗应激反应:在应激状态下,下丘脑会激活垂体-肾上腺皮质轴,导致皮质醇等应激激素的释放。
常见的下丘脑疾病

下丘脑病变的症状
下丘脑病变早期症状可能并不明显,但随着肿瘤的生长和影响周围结构,患者可能会逐渐出现以下一些症状:
1.头痛:是常见的症状之一,通常是持续性或慢性头痛,特别是清晨起床时加重,这可能与颅内压增高有关。
2.视觉问题:下丘脑病变可以压迫视神经或视觉通路,导致视力下降、模糊、视野缺损或偏盲等视觉问题。
3.内分泌紊乱:下丘脑是内分泌调节的重要中枢,病变对其功能的干扰可能导致患者出现不正常的内分泌表现,如性早熟、月经紊乱、垂体功能减退等。
4.情绪和认知变化:下丘脑控制情绪和认知方面的功能,因此病变可能导致患者出现情绪不稳、易激惹、焦虑、抑郁、记忆力减退等变化。
5.其他神经系统症状:较大的下丘脑病变可能会对周围结构产生压迫,导致其他神经系统症状,如肌力减退、运动协调障碍、平衡困难、反射异常等。
INC巴特朗菲教授案例分享
31岁男性下丘脑肿瘤累及视神经
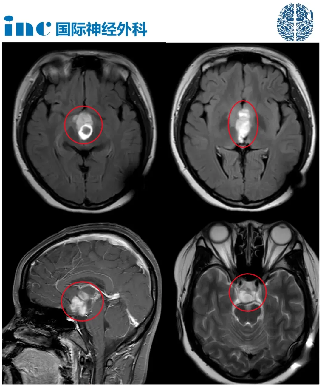
术前情况:正值壮年的31岁陆先生,疑似癫痫症状,晚上睡觉把舌头咬破,还有偏头痛、记忆力下降……一切的症状源于陆先生左侧下丘脑占位的一个肿瘤。

陆先生术前影像
陆先生寻求到INC国际神经外科医生集团旗下INC世界神经外科顾问团(WANG)的巴朗特菲教授进行手术。“一切都交给巴教授了,非常有幸遇到巴教授!”陆先生术前谈话时表示,坚定选择手术的信心来源是对于巴教授的信任。
术中导航可以提高神经外科医生的术中判断、手术决策,手术安全性、精准度大大提升。
术后肿瘤切除达到预期,并且神经功能保护得很好,无任何新发神经功能损伤。在手术室便苏醒的他,肢体活动正常。手术后第1天,他已经顺利出ICU,转入普通病房。

14岁女孩性早熟竟是因为下丘脑肿瘤
家属三鞠躬感谢巴教授
术前情况:2016年,年仅7岁的女孩妙妙怀疑早熟,检查发现竟是脑子了肿瘤。妙妙的肿瘤位于鞍区,手术存在风险。医生建议定期复查,保守观察。孩子也开始了长达一年的性早熟药物治疗,停药后体重增加明显。
在接下来的几年时间里,妙妙在父母的陪伴下坚持复查颅脑MRI。2016年至2019年复查均提示肿瘤无明显变化。但是,妙妙体重增加明显,期间偶有头痛头晕症状,但症状较轻。
直到2023年5月,妙妙突然出现剧烈头痛,伴呕吐。于当地医院行颅脑CT提示脑积水。于2023年5月12日在当地医院行脑室腹腔分流术,症状得到缓解。2023年12月初开始早上起床后头晕症状加重,偶尔会有头疼,体重增加快。

▼激素水平情况

手术过程:巴教授主刀、苏大附儿院神经外科团队协助,术中神经电生理监测、神经导航,手术顺利,无新增神经功能损伤。术后核磁影像显示肿瘤基本全切!

术后第2天普通病房查房:妙妙意识清醒,能正常打招呼。术后第4天普通病房查房:妙妙可以下地行走,状态逐渐好转,巴教授告知术后核磁很好,肿瘤已经全切。
24岁研究生视神经下丘脑胶质瘤
术前情况:24岁的Rolla,研究生在读,是个活泼开朗的女孩。熬夜肝论文已经是常态,身体上的一些小毛病,Rolla也觉得是自己课业繁忙压力过大导致的。直到先是出现了视力下降的症状,身材也开始出现发胖臃肿,最后竟然直接出现了闭经的症状。
在医院通过脑部MR核磁检查,Rolla疑似视神经-下丘脑胶质瘤,肿瘤主要累及下丘脑。
视神经下丘脑胶质瘤往往非常罕见,包括从管状膨大的视神经、视交叉到下丘脑生长的一系列肿瘤,只占到中枢神经系统肿瘤的1%。大部分肿瘤和视交叉、视放射、下丘脑和第三脑室相关,而大约10%-30%的胶质瘤局限于一侧的视神经。
这类肿瘤容易引起视觉障碍和下丘脑的一些神经内分泌的障碍。大部分视路胶质瘤,特别是累及视交叉和下丘脑的病例,呈隐袭性生长,可导致失明。
Rolla一家多方查询后找到INC巴特朗菲教授,巴教授采用翼点入路的手术入路方式为Rolla进行了手术。

术后MRI
术后无新发神经功能损伤,视路、视交叉、下丘脑、嗅神经、穿支动脉都得到完整保留。
下丘脑病变的治疗
治愈下丘脑病变的可能性主要取决于肿瘤的病理类型、大小、位置、侵袭程度以及患者的整体健康状况等因素。对于少数早期诊断的小型下丘脑病变,通过手术切除肿瘤并进行辅助放疗和化疗,可能能够实现长期缓解或治愈。但对于大部分患者而言,由于病变较为复杂,完全治愈是非常困难的。
针对下丘脑病变的治疗方案主要包括手术切除、放射治疗和化学治疗。手术切除目的是尽可能地去除肿瘤组织,但由于下丘脑区域的特殊性,手术难度较高,往往无法完全切除。放疗和化疗的目的是控制肿瘤的生长和扩散,减轻症状,延缓病情进展,并提高生存率和生活质量。
下丘脑病变通过手术治疗是一种常见的治疗选择,但它也伴随着一定的手术风险。下面是与下丘脑病变手术相关的一些风险因素和可能出现的并发症:
1.损伤周围结构:下丘脑病变位于脑干底部,周围是一些重要的神经结构和血管。手术过程中,由于肿瘤与周围结构粘连,切除肿瘤时可能会造成周围组织或血管损伤,进而导致神经功能障碍、出血、脑脊液漏等。
2.高颅压和脑水肿:下丘脑病变可能导致脑积水或引起高颅压,手术过程中,如果不能有效控制脑内压力,可能会增加手术风险。此外,在手术后可能出现脑水肿,进一步加重神经系统功能损害。
3.出血和感染:手术过程中,由于操作区域较为复杂,存在较高的出血风险。大量出血可能会导致手术中断或需要额外的止血措施。此外,手术后还存在感染的风险,特别是在开放性手术中。
4.视觉和神经功能损伤:下丘脑病变位于视神经附近,手术过程中可能会造成视觉神经的损伤,导致视力问题。此外,由于下丘脑与许多神经结构紧密相关,手术过程中可能会影响其他神经功能,如听力、平衡等。
5.内分泌功能异常:下丘脑病变可能干扰垂体的正常功能,手术去除肿瘤后,仍有可能出现部分内分泌功能异常,需要进一步治疗和管理。
6.麻醉风险:由于下丘脑病变手术一般需要全身麻醉,因此存在与麻醉相关的潜在风险,如麻醉药物过敏、呼吸循环功能不稳定等。
小结
下丘脑通过与垂体和其他内分泌腺的连接,发挥着对整个内分泌系统的调控作用。它通过释放不同的激素调节垂体的激素分泌,进而影响其他器官的功能。因此,下丘脑的健康状态对人体的正常运作至关重要,一旦有任何相关症状的出现,请及时前往专科医院就诊,患者及家属应积极与医疗团队沟通合作,及时评估治疗效果,并进行必要的康复和随访工作。
注:以上案例供学术交流,不作为个别患者的医学诊疗意见。
- 文章标题:下丘脑出现病变怎么办!睡眠、代谢、情绪竟然都与它有关!?
- 更新时间:2024-12-05 15:54:17
400-029-0925




