“大概率切除?真的吗?太感谢了!太感谢了!”2024年1月11日,一名鞍区肿瘤患儿母亲正焦急的守候在手术室外,当看到一个熟悉的身影时,她立马走上前。当听到“大概率”切除时,她热泪盈眶!为表达深深的感激之情,孩子母亲激动的拉着巴教授的手,深深鞠躬致谢,禁不住湿润了眼眶。这感人的一幕刚好被INC的同事记录了下来,令人动容。这样的情景,在INC的镜头里,不断上演......
“没有问题,手术很顺利!”
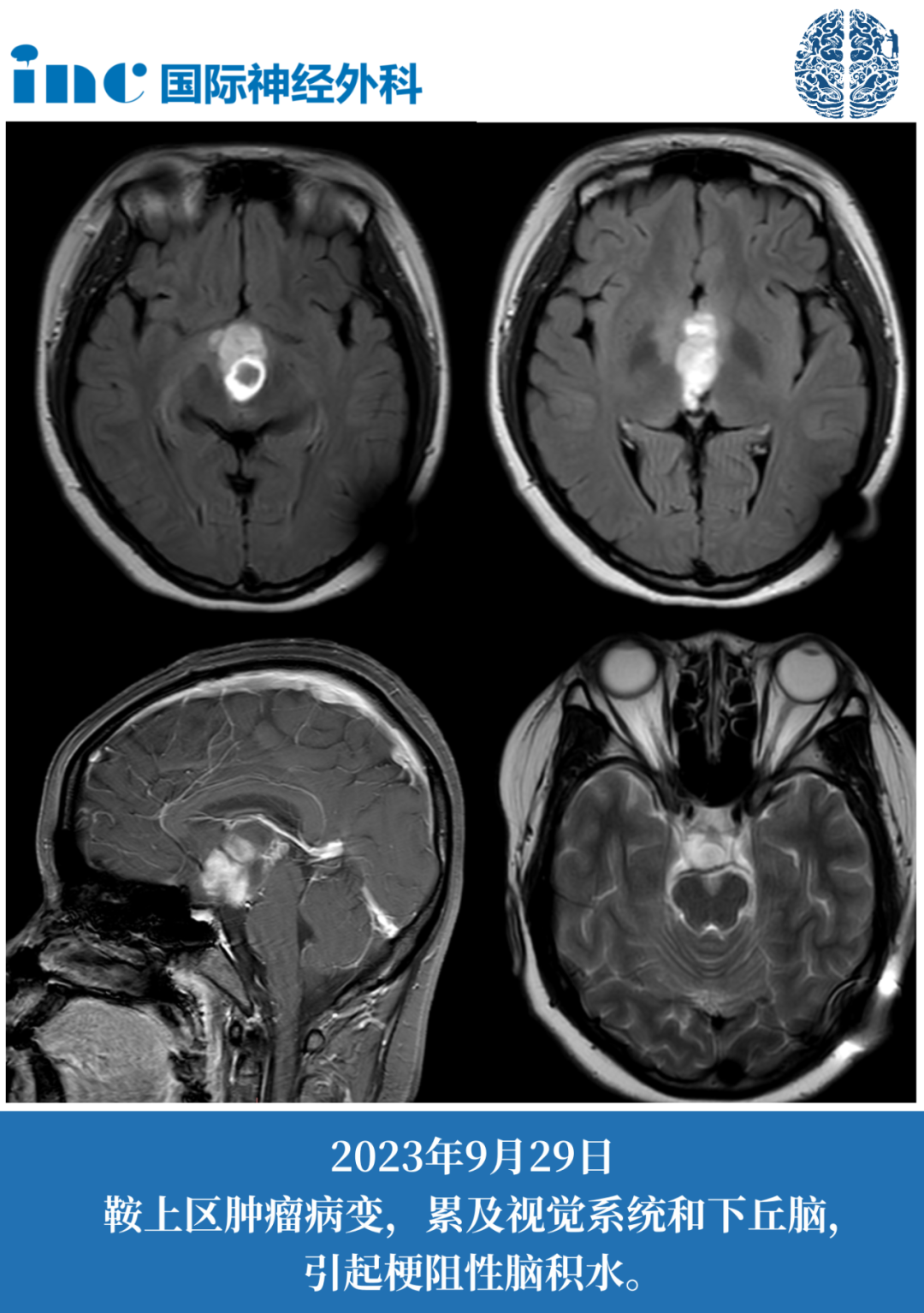
患者信息:14岁女孩,7年鞍区肿瘤病史、头晕、头痛、体重增加快、早熟。既往脑室腹腔分流术。
术者:Helmut Bertalanffy教授(巴教授)
手术时间:2024年1月11日
手术地点:苏州大学附属儿童医院(苏大附儿院)
手术过程:巴教授主刀、苏大附儿院神经外科团队协助,术中神经电生理监测、神经导航,手术顺利,无新增神经功能损伤。术后核磁影像显示肿瘤达到99%的切除率!
术后病理为节细胞胶质瘤(WHO I),作为Ⅰ级肿瘤,节细胞胶质瘤患者在肉眼下全切术后长期生存率很高,复发率低。

术后2天普通病房查房:妙妙意识清醒,能正常打招呼。
术后4天普通病房查房:妙妙可以下地行走,状态逐渐好转,巴教授告知术后核磁很好,肿瘤已经全切。
当一个7岁女孩被确诊为脑瘤时,对于大多数人来说,这仿佛是快乐的童年被画上了休止符。
但妙妙却给出不一样的答案,她的笑容与乐观感染着周围每一个人,治疗路上亦有挣扎和病痛,但在父母的支持与陪伴下,妙妙更多的却是驱散黑暗的明媚阳光。
2024年2月1日,妙妙恢复良好,顺利出院,虽然术前的内分泌的紊乱还存在,但是也在慢慢康复中。虽然这是一个漫长而艰苦的过程,我们相信可以战胜病魔。
7岁女孩,脑中住着“肿瘤君”
病魔的降临并非毫无征兆。时间倒退到7年前,2016年,年仅7岁的女孩妙妙怀疑早熟,父母带着他去医院进一步检查发现,“罪魁祸首”竟是脑子里的肿瘤。
虽然肿瘤是可以通过外科手术切除的,但妙妙的肿瘤位于鞍区,手术存在风险。医生建议定期复查,保守观察。
为了孩子的顺利,妙妙父母无奈听从了医生的建议。而孩子也开始了长达一年的性早熟药物治疗。
2016年至2019年,整整3年,虽然复查肿瘤没有变大,但是妙妙的体重明显增加,总是吃不饱。期间还偶有头痛头晕症状。
令人欣慰的是,妙妙配合着每一次的复查,和同龄孩子一样,爱笑、爱跳。
一开始手术:脑室腹腔分流术
2023年5月,妙妙突然出现剧烈头痛,伴呕吐。于当地医院行颅脑CT提示脑积水。由于脑积水严重,医生需要为妙妙做排脑脊液的手术。
脑室腹腔分流术是治疗脑积水经典的手术方式,通过手术将分流管植入脑室和腹腔内,将脑室内过多的脑脊液引流至腹腔内,再由腹腔吸收,达到治疗脑积水的目的。
随即妙妙在当地医院行脑室腹腔分流术,症状得到缓解。
但这个手术方案治标不治本,虽然症状缓解,它不会干扰肿瘤,更不会让肿瘤消失。
再一次症状加重,还能保守观察吗?
2023年12月初,妙妙早上起床后头晕症状加重,偶尔会有头疼,体重增加快。这意味着肿瘤可能已经悄悄变化了。
复查发现肿瘤有很明显的占位效应,危及视神经及视交叉(两者已经被肿瘤累及),有明确的手术指征。
▼激素水平情况图片


手术治疗不能再等,肿瘤一旦进一步增大,妙妙可能面临更严重的问题。
看着只有14岁的孩子要进行开颅手术,家里人痛苦,也慎重,到底去哪里才能得到更好的治疗?
尽努力陪伴孩子治疗
对许多患儿家庭来说,儿童肿瘤会让本该平静的生活发生天翻地覆的变化。尽快,恐惧和茫然无措占据了大脑。
“这是怎么回事?”
“我该怎么办?”
“我当初要是知道就好了”。
但是,在妙妙父母身上我们看到了他们的品质:时刻清醒,沉着冷静。
对于父母来说,他们的诉求是尽努力陪伴孩子治疗,认真努力地做好这过程中的每一步。
他们拼命打听治疗这个病更好的医院和医生,从网上了解疾病的各种知识,渴望能为女儿的治疗找到突破,尽可能为女儿减轻痛苦……
偶然机会,他们了解到巴教授即将来华的信息,坚定的选择巴教授,一家人的希望都寄托于此。
孩子生病,除了治疗外,不可忽视的还有孩子心理的疗愈。家长不应一昧的隐瞒,而要慢慢消除孩子心理上的恐惧,用的心态、坚定的信念,坚持下去就已自愈了一半。
这也是每一次和巴教授的咨询中,我们都可以看见妙妙的身影。她没有表现出畏惧、害怕,而是微笑面对。
他们想知道的就是能否手术切除这个伴随孩子长达7年的肿瘤噩梦。巴教授又会如何评估?
2023年12月妙妙一家远程咨询巴教授,询问目前是否能手术治疗?手术最佳时机?
奔赴苏州,”我很相信巴教授“
得到巴教授精确详细的评估后,夫妻两经过商量,决定这一次示范手术。他们带着女儿踏上了苏州之行。
求医之路漫漫,但有两件事最重要,一个是取得家人的支持,一个是做出正确的选择,这次的选择让女儿在后面的治疗中都顺顺利利。
对术者而言,手术室里并没有奇迹。成功的手术是他们医术的结果。但对患者来说,从绝望中走出来,生命得以延续,堪称奇迹。
每一次在华进行示范教学手术之前,巴教授都会联合国内神经外科医生团队进行手术预案。
而这一次,巴教授也提前来到苏大附儿院。夜幕降临,抵达后的巴教授和中国手术团队讨论手术方案,与家属术前谈话,为二天的手术做充分的准备。


▲巴教授和王杭州教授讨论手术方案▲
术前谈话,他们都聊些什么?

▲1月10日,巴教授和妙妙父母进行术前谈话▲
巴教授解答了妙妙父母关于孩子目前是否需要手术治疗,术后状态的相关疑问。
妙妙父母:“目前要手术吗?”
巴教授:”我们已经在苏附儿做过很多类似的手术。现在手术主要目的一个就是要减瘤,减容,取得病理,同时我们要保护她的视力。”
妙妙父母:“由于激素影响,现在孩子食欲很大爱吃东西,这个手术后能完全好吗?”
巴教授:“他的下丘脑因为被肿瘤侵犯了,并且已经时间比较久了,这个是很难通过手术切除来完全改变,可能还是需要内分泌科医生要调理。”
妙妙父母:“手术伤口会很大吗?手术需要完全剪掉吗?”
王杭州主任:“不管多大都是在发际里面的。也跟拉皮手术差不多,头发会剪掉一点。不用全部剔掉,有头发她会更有信心”
谈话的然后,再旁翻译的王杭州主任鼓励妙妙父母:“我们在只要一点点运气,医学上全切很难确定,但你已经请了经验好的医生”
幸运的是,妙妙现在的视力、视野没有受到影响。
巴教授解释道:这是一个好现象——视力越差术中越容易损伤,因为粘越紧。视力越好就越容易把视力保留下来。
手术成功,妙妙抗击肿瘤路上的“里程碑”
经过长达7年的病程,她终于等到了巴爷爷。
2024年1月11日
苏州大学附属儿童医院手术室,妙妙的手术正在进行中……
通往手术室的长廊,一个熟悉温暖的身影出现在镜头里,将为妙妙带来新生的希望。

手术室光芒四射的无影灯,如同照进人生至暗时刻的一束光,也将照亮这位女孩的未来之路。
,这台手术顺利完成,一家人悬着的心终于落地了,妙妙也赢得了成长的生机。

▼手术中巴教授顺利取出肿瘤

巴教授99%大水平的顺利切除和手术后的良性病理结果节细胞胶质瘤,已经给妙妙争取到了好的预后结果了。虽然由于术前妙妙下丘脑被肿瘤侵犯了,病史太久,很难通过手术切除来完全改变妙妙的内分泌问题。但是我们相信,经过后期的治疗,妙妙也会恢复的越来越好。
划重点:关于节细胞胶质瘤的小科普
什么是节细胞胶质瘤?
细胞胶质瘤和节细胞瘤通常出现在儿童和年轻成人中;大部分研究中患者的平均年龄约为20岁。这些肿瘤可出现在整个中枢神经系统的任何地方,但大多是幕上肿瘤且位于颞叶。癫痫发作是常见的主诉症状,并且频发长时间癫痫。节细胞胶质瘤可为行颞叶切除术治疗癫痫时的偶然发现。
节细胞胶质瘤怎么治疗?预后如何?
初始治疗是手术切除。作为Ⅰ级肿瘤,节细胞胶质瘤患者在肉眼下全切术后长期生存率很高,复发率低。一篇文献综述纳入了1978-2007年间报道的400多例节细胞胶质瘤患者,发现对于188例在诊断时仅进行了肉眼下全切的患者,10年局部控制率和OS分别为89%和95%。
进行次全切除术的患者局部控制率和OS低,但预后仍然良好。该综述显示,在193例进行次全切除术的患者中,10年局部控制率为52%-65%,10年OS为62%-74%。亚组分析显示,次全切除术后接受放疗可好转局部控制率(10年时:65%vs 52%),但不能好转OS。除了次全切除术外,与复发/进展风险增加相关的因素包括:年龄大(例如,>30或40岁),肿瘤不是位于颞叶,并且至少在既往研究中还包括高级别/间变性病理特征。
案例后记
有时生活会失去方向遭遇厄运的突袭
年少轻狂、本该野蛮生长,充满梦想,病魔却不合时宜地,为鲜艳的生命涂上灰暗的底色。
但,这一条治疗之路,很多勇敢的孩子们给我们留下了特别深刻的印象。
尽管不幸的人生千差万别,但妙妙和他们一样,从未放弃,勇敢迈向人生下一阶段。
一关一关,始于足下,步履不停。
这场与儿童脑瘤较量的战场上,全部力量的坚持相守,只为实现一个朴素的愿望——健康长大!
400-029-0925




