一个幼小婴儿,发现生长发育障碍,经过消化科、神经内科、神经外科等,终于明确了是患上了脑瘤,棘手的“视神经胶质瘤“。家属无奈之余,于是联合求助咨询了国际三大小儿神经外科教授Di Rocco教授、Bertalanffy和Rutka。在求诊报告中,提出了如下5个问题:
01、根据病理报告,能够通过化疗治愈吗?
02、脊柱是否有肿瘤播散吗?会使预后变复杂吗?可以进行手术吗,较好治疗方案是什么?
03、从MR来看,您认为他的肿瘤是下丘脑肿瘤,还是同时侵犯下丘脑和视交叉?他是否有其他任何问题,例如大脑移位或脑积水?
04、孩子在一开始手术后是否仍然会患有间脑综合症(DS),因为他的体重增加并不明显?
05、我们了解到,BRAF基因融合在无进展生存期方面通常会导致更好的预后。我们的医生建议,如果他对卡铂/长春新碱的反应不好,下一个化疗方案将是长春花碱或靶向治疗。您同意这种方案吗?
而就是这样简单的5个疑问,Di Rocco教授却对此回应写了3000多字分析病情,从患者首发症状、救诊过程、病情进展、病因影像解析、治疗风险和原因分析、后续治疗计划、研究进展、参考文献资料等进行了多方位的案例分析,堪称“论文级”咨询报告,Di Rocco教授这3000字咨询报告的背后是他从业小儿神经外科50来的经验,整整跨越了现代小儿神经外科半个发展史的阅历。如下呈现国际小儿神经外科专家的对此案例的分析:

Di Rocco教授咨询报道截取
INC小儿神经外科专家之Concezio Di Rocco教授

国际儿童颅底学会主席及创始人
享誉欧洲、国际公认的儿童神经外科专家
国际儿童神经外科学会(ISPN)主席
国际神经外科联合会教育委员共同主席(2013-2017)
国际神经外科联合会(WFNS)儿童神经外科委员会前主席
国际小儿神经系统杂志《Child´s Nervous System》现任主编
欧洲小儿神经外科学会主席(ESPN)(2002-2004年)
国际神经外科联合会基金小儿脑积水项目负责人
德国汉诺威国际神经科学研究所儿科神经外科主任
欧洲神经外科学会(EANS)前副主席
罗马天主教大学医学院儿科神经外科学系主任
临床案例病史简要分析
这名15个月大的男婴在6个月大时因出现体重不增,被发现有生长发育障碍。当时推测是营养方面的问题,于是咨询了小儿消化科医生。在接下来的几个月里,进行了一些饮食上的改变,并增加了热量的摄入,但没有任何明显的好转。
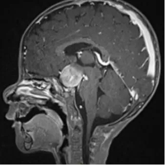
2021年7月中旬,父母向孩子的医生报告了一些眼球活动异常(间歇性水平眼球震颤)和孩子头部的晃动。7月17日,医生立即进行了核磁共振检查,发现了鞍上-下丘脑的肿块。肿瘤的前后径约为2.4厘米,横径为2.7厘米,头尾径为2.3厘米。它在T1加权图像中呈低信号,在T2加权图像中呈高信号,并且在使用造影剂增强后明显强化。

尽管病变已经浸润到了视交叉-下丘脑和间脑结构,但未累及视神经,也未累及脑下垂体。虽然肿瘤抬高了三脑室前部但未发生脑积水。
肿瘤的特点和位置决定了它缺乏临床表现,即无颅内压增高、视觉障碍和与脑垂体前部和后部有关的内分泌改变。另一方面,肿瘤的位置解释了头部异常活动和眼球震颤的原因。随后诊断为脑脊液综合征,并考虑为孩子生长发育障碍的原因。明确手术指征后,在2021年7月17日通过右侧翼点途径对肿瘤进行了直达方式手术(Ivan Ng医生)。
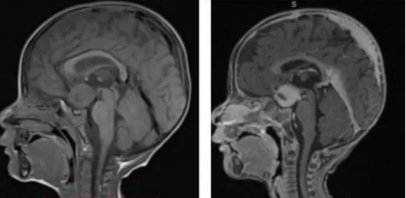
根据手术报告,"术中发现肿瘤与视交叉和下丘脑不可分离,取出了足够的肿瘤进行组织学检查”。术后的MRI显示肿瘤的有限切除,其尺寸基本没有变化。
正如神经放射科医生所描述:再次显示一个位于鞍上区、轴外强化的肿块。再次显示,轴向尺寸为3.0 x 2.4厘米,高度为2.2厘米,与之前的3.0 x 2.3 x 2.2厘米相比,基本稳定。
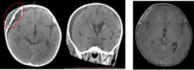
手术并没有引起进一步的神经功能障碍,但却出现了一些并发症。即硬膜下积液、尿崩症,用去氨加压素(Minerin)控制,后来又出现了耗盐综合征,继发低钠血症和癫痫,用静脉高渗溶液、口服钠片和左乙拉西坦(Keppra)治疗。
术后阶段,该患儿还出现了脑脊液渗并自行痊愈。事实上,术后核磁共振成像(2021年8月18日)也显示术后硬膜下血肿已得到解决,该血肿在之前的术后CT扫(2021年7月26日)中存在。

确实,术后核磁共振成像(2021年8月18日)也显示在之前的术后CT扫描(2021年7月26日)中存在的术后硬膜下积液的问题已得到解决。

在报告的然后,神经放射科医生提出了一个关于肿瘤扩散可能性的疑问,这是一组典型的视神经通路肿瘤的特征。
“可疑非连续性强化的沉积物也再次显示在眼眶间的脚间池中,右侧更为突出,可能是软脑膜沉积。或者,这些也可能是合并的,一种NF1神经源性肿瘤(来自动眼神经)。建议与临床结果相结合”。
在手术切除中获得的肿瘤标本的组织学检查显示,病变有两个部分,较大的部分细胞相对较少,有混杂的背景。另一个是高度细胞化的。有丝分裂很少,Ki67约为5%。分子检查显示与不好的预后和扩散有关的基因融合。诊断为毛细胞性星形细胞瘤KIAA1549-BRAF阳性。建议进行化疗治疗。化疗于2021年8月2日开始,采用了基于长春新碱和卡铂联合治疗的LGG方案。
在报告的然后,神经放射科医生提出了一个关于肿瘤扩散可能性的疑问,这是一组典型的视神经通路肿瘤的特征。
病情分析
间脑综合征是一种少见的新生儿疾病,多数情况下是由低级别的下丘脑和视神经通路肿瘤引起的,即毛细胞性星形细胞瘤和混合型胶质瘤,多发生在6个月左右,就像这孩子的案例。
这些低级别的肿瘤与DS有关时表现出较大的侵袭性。主要临床特征为:尽管在正常热量或高热量的饮食情况下,出现生长迟缓、消瘦、皮下脂肪减少,多动(活动过度)伴随眼球震颤、斜视、头部晃动和颅内压增高的表现(头痛、嗜睡、呕吐),这些可能与脑积水有关。幸运的是,安辰没有脑积水,因此为化疗提供了更有利的条件,以达到其疗效。
手术指征
尽管影像学特征提示的是胶质瘤,但有必要进行组织学确认,以排除其他同样可以在鞍上区生长并且引起DS的肿瘤,如颅咽管瘤、鞍上室管膜瘤和生殖细胞瘤、表皮样囊肿、下丘脑成胶质细胞瘤。
肿瘤组织可以通过穿刺活检或直接暴露肿瘤来获取,正如在这个孩子的病例中所决定的那样。手术医生明智地避免了更大范围的肿瘤切除,因为这种操作很可能会导致术后严重的下丘脑功能障碍。的确,他进行的仅仅切除较小限度的肿瘤都引起了尿崩症和盐耗综合征。
肿瘤性质及治疗
毛细胞性星形细胞瘤是儿童中较常见的星形细胞肿瘤。与其他弥漫性生长的脑部星形细胞肿瘤相比,这种生长缓慢的肿瘤当全切后有良好的结局。然而,这种肿瘤也可能发生在视神经通路和下丘脑等很难或不可能进行根治性切除的位置。几乎全部的毛细血性星形细胞瘤都是良性的WHO I级肿瘤,很少表现间变性特征。在这个患儿的病例中,肿瘤的Ki67指数约为5%。该指数表明肿瘤的生长倾向,5%的数值是良性星形细胞瘤的上限值。由于这个原因和有限的手术切除,建议进行化疗以避免肿瘤进展。
长春新碱和卡铂的联合治疗仍然是一线治疗,超过一半的儿童反应良好。然而,毒性并非不明显。大多数情况下的实施方案遵循国际儿童肿瘤协会提供的指示(化疗分两部分进行,首先是初始强化阶段(1阶段),然后是延续阶段(2阶段)。
在1阶段,患者每周接受长春新碱静脉注射,共持续10周以及每3周接受卡铂静脉射。在2阶段,患者每4周接受一次长春新碱和卡铂静脉注射,总治疗时间为52周。化疗持续到出现病情进展或不可接受的毒性为止)。在过去的几十年里,单药方案或增加其他药物的方案也同样被采用过。
据报道,与年龄较大的患者相比,被诊断为LGG的年龄小于1岁的儿童预后较差。是,年龄小于6个月时,间脑综合征和播散是总生存率和降低进展的危险因素。因此,必要时调整治疗方案以好转预后,目前的研究和临床试验主要集中在分子遗传学方面。
许多小儿低级别胶质瘤(LGG)和胶质-神经元肿瘤呈现出不同的分子改变,导致Ras-丝裂原活化蛋白激酶途径的细胞内信号异常,这是有关肿瘤起源的一个重要途径。
其中,BRAF突变和融合转录是较常见的基因改变。Archard的诊断是毛细胞性星形细胞瘤KIAA1549-BRAF阳性(外显子15)-BRAF(外显子9)基因融合("15:09基因融合")。70%的毛细胞性星形细胞瘤存在BRAF改变,这似乎与相对较好的预后有关(与另一种与预后较差有关的BRAF V600E突变不同)。另一方面,正如病理科医生在组织学报告中提到的,近期一项研究表明,"15:09基因融合"是肿瘤播散和无进展生存率较差的标志物。
Di Rocco教授关于患者咨询问题的回复
1.根据他的病理报告,他的肿瘤能够通过化疗治愈吗?
化疗有可能控制肿瘤的进展,甚至在一段时间内缩小肿瘤的大小。间脑综合征的初期患者年龄较小对无进展生存期和生存期本身都是一个重要危险因素。肿瘤不可能因治疗效果而消失。
您是否会建议继续化疗来观察他的肿瘤是否能缩小,然后再考虑二次手术,还是您认为如果他在较早的时候进行二次手术会更好?如果我们继续进行化疗,您认为什么时候是二次手术的理想时间?
化疗的时间通常会尽可能延长,除非出现副作用(特别是听觉功能)。如果肿瘤缩小并与周围的下丘脑和视交叉结构分离,才可以讨论手术方案,特别是如果残留的肿瘤肿块是单侧时。尽管会有严重的短暂性临床上的功能紊乱,下丘脑的单侧损伤是可以耐受的。如果肿瘤弥漫性累及到整个下丘脑,预估手术尝试将是一个错误和无用的决定。
2.您能确认他的脊柱是否有肿瘤播散吗?这是否会使预后变得复杂?是否可以进行手术,或者较好的治疗方案是什么?
根据目前的放射学图像,肿瘤的播散仍然可疑。这种猜疑是由于在脚间池和尾部脊柱内的增强后强化的小局灶性区域引起的,但其意义应通过后期的MRI来证实。
3.从核磁共振成像来看,您认为他的肿瘤是下丘脑肿瘤还是同时患有下丘脑和视交叉肿瘤?
纯粹的下丘脑肿瘤不常见,基本上仅限于成胶质细胞瘤。毛细胞性星形细胞瘤通常累及视交叉和下丘脑,因为它们起源于视神经通路。
根据核磁共振成像,他是否有其他任何问题,例如大脑移位或脑积水?
目前,肿瘤抬高了三脑室底部,但没有影响脑脊液循环。无脑积水。
4.在一开始手术后是否仍然会患有间脑综合症(DS),因为他的体重增加并不明显?
是的,他会。肿瘤基本上没有变化,因为它在术后的体积减少的很小。(但请记住,如果肿瘤被更大范围的切除,病情会明显恶化,而DS也不会有任何好转。DS与肿瘤的大小无关,而是与它和下丘脑的影响儿童新陈代谢的的功能之间的相关性有关。
5.我们了解到,BRAF基因融合在无进展生存期方面通常会导致更好的预后。我们的医生建议,如果他对卡铂/长春新碱的反应不好,下一个化疗方案将是长春花碱或靶向治疗。您同意这种方案吗?
医生是对的,但BRAF融合的有利影响并不是的。事实上,关于BRAF功能的有些异常情况被不断发现和解释,而靶向治疗仍在进展中。
6.靶向治疗普遍仍在临床试验中,鉴于他的病理结果,您认为进行任何临床试验的风险是否太大?
医生是对的,但BRAF融合的有利影响并不是的。事实上,关于BRAF功能的有些异常情况被不断发现和解释,而靶向治疗仍在进展中。
参考学术文章
1.Felix Behling and Jens Schittenhelm
2.Oncogenic BRAF Alterations and Their Role in Brain Tumors
3.Cancers(Basel).2019 Jun;11(6):794
4.Lorena Rosca,Viviane Robert-Boire,Jean-François Delisle,Yvan Samson,Sébastien
5.PerreaultCarboplatin and vincristine neurotoxicity in the treatment of pediatric
6.low-grade gliomasPediatric Blood&Cancer First published:16 July 2018
7.https://doi.org/10.1002/pbc.27351
8.Cora Mirow,Torsten Pietsch,Susanne Berkefeld,Robert Kwiecien,MonikaWarmuth-Metz,
9.Fabian Falkenstein,Barbara Diehl,Stephan von Hornstein,and Astrid K.Gnekow
10.Children<1 Year Show an Inferior Outcome When Treated According to thetraditional
11.LGG Treatment strategy:A Report From the German Multicenter Trial HIT-LGG 1996 for
12.Children With Low Grade Glioma(LGG)
国际小儿神外教授Di Rocco教授
Di Rocco教授从事儿童神外事业40余年,自2014年5月起,就担任了德国汉诺威国际神经科学研究所(INI)的儿科神经外科主任。Concezio Di Rocco教授尤为擅长小儿神经纤维瘤、癫痫、脑积水、蛛网膜囊肿、颅缝早闭、脑和脊髓肿瘤、脑和脊柱畸形(半椎体畸形,皮质发育不良,脊髓脊膜膨出,脊髓内脂肪瘤,Arnold-Chiari畸形)等难治病症方面的治疗,进行过12,000多次神经外科手术。
Concezio Di Rocco教授曾受到来自法国、埃及、吉尔吉斯斯坦等国家的邀请进行讲座和现场演示,且联合小儿神外专家创办了儿童神经外科研究所课程,该项课程在过去三十年里为国际培养了无数儿童神经外科医生,包括目前国内若干三甲医院的儿童神经外科主任专家,都曾是他的学生。Concezio Di Rocco教授将其前沿的治疗技术交流给国际各地儿科神经外科医生进行借鉴参考和学习,为国际儿科神经外科的发展做出了较大贡献。
尤为可贵的是,C.Di Rocco教授多年来一直热心于帮助中国儿童神外事业发展。“我15年以来经常会周游中国,所以,我能亲眼看到中国神经外科的发展。”作为INC旗下WANG的成员,他在INC现场专访中如是说。

儿童健康,我们一起去守护
写在然后:儿童健康小则关乎家庭幸福,大则关乎国家福祉,他们的健康需要我们一同去守护。儿童神经系统疾病需要儿童神外与成人神外、肿瘤等多学科共同协作,以达到更佳的咨询效果。为此,Di Rocco教授呼吁儿童与成人神经外科医师应通力合作,集结各方力量竭尽所能地救治各类神外患儿。
- 文章标题:视神经胶质瘤患者5个问题,他却写了3000字“论文级”回复
- 更新时间:2024-04-22 15:22:18
400-029-0925




