年仅8岁的小伟要面临人生中的第二次开颅手术
视神经胶质瘤复发
原本水汪汪的大眼睛现在也变得混沌
仅能看到一丝光亮
父母一直在感慨走错路了
为何第一次手术没有做好万全准备?
可是世上并没有后悔药
很多人并不明白
对于神经外科而言
成功的手术只有一次!
任何一次失败的手术都可能给患者带来毁灭性的打击
而主刀医生的水平影响了患者的预后……
看INC国际教授视神经胶质瘤手术理念是什么,又有哪些成功案例?
失败的手术可能会失明?然而不手术就不会面临失明吗?
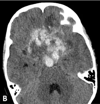
一名7岁男孩在学校体检时发现左眼视力不佳。MRI显示在视交叉-下丘脑区域有一个大的、增强明显的肿瘤,包绕颈内动脉、大脑中动脉和大脑前动脉(图A)。由于医生表示手术难度高,手术很可能造成失明,孩子的父母拒绝接受活检等操作,医院也为这个孩子进行了长春新碱和卡铂治疗。

然而,9个月后,男孩在一次醒来时发现左眼看不见了。去医院检查确定左眼失明,且CT扫描显示肿瘤内部出血。患者继续采取保守治疗,但2周后病情恶化,出现严重头痛和昏迷。CT扫描显示肿瘤内部、左额叶和脑室内大量出血,伴有脑积水和弥漫性脑肿胀(图B)。

孩子的父母本考虑的是不手术,孩子就不会失明。然而保守观察带来的结果是,不仅失明,更让孩子陷入了生命垂危的境地……无奈之下,部分手术切除,活检结果为毛细胞星形细胞瘤。这个结果让父母又喜又悲,喜的是毛细胞星形细胞瘤是预后较好的良性肿瘤;悲的是本来手术切除可以预后良好,却选择了保守。
术后8个月随访,孩子左眼永久性失明,再也无法恢复。还出现右眼偏盲、认知障碍和记忆缺陷。
案例来源:Van Baarsen K,Roth J,Serova N,et al.Optic pathway-hypothalamic glioma hemorrhage:a series of 9 patients and review of the literature[J].J Neurosurg,2018,129(6):1407-1415.
为什么很多人认为视神经胶质瘤无法手术?
视神经胶质瘤,一般视力下降为首发症状,如果未及时治疗有失明风险;一般为低级别胶质瘤,安全全切后能有保视力的良好预后。但由于源自视神经且影响整个视路系统、下丘脑等关键脑组织,手术后遗症风险大,术中稍有不慎患者就可能失明且难以恢复。虽然神经外科各种技术和设备发展到今天,视神经等疑难位置早已被突破,已经不是手术禁区。但是目前现实情况确实是,视神经胶质瘤的手术治疗一直未达成广泛的共识。
1.切得不够还是会复发,还不如不手术
脑胶质瘤手术治疗原则是最大范围安全切除,其基本目的包括:解除占位征象和缓解颅内高压症状;解除或缓解因脑胶质瘤引发的相关症状,如继发性癫痫等;获得病理组织和分子病理,明确诊断;降低肿瘤负荷,为后续综合治疗提供条件。
切多少是一个医生对平衡点的掌握,是主刀医生手术水平和能力的体现,就是切除到什么程度可以不造成功能障碍?
部分学者认为视神经的发病部位特殊,过于积极的手术干预增加了发生失明、水电解质严重紊乱、偏瘫及脑梗死等的风险,因此选择部分切除甚至只是活检。肿瘤切除程度较低的患儿术后并发症的风险确实相对较低,活组织检查术对视力影响更小,但肿瘤残留多易导致术后复发。因此很多患者及家属觉得,切不干净,容易复发,说不定还要多次手术,不如不手术……
2.切得太多会导致失明等严重手术并发症,还不如不手术
视神经肿瘤生长边界不是很清晰。有时候发现的比较晚,往往患儿出现单眼的轻度的视力障碍,视觉会被对侧的视觉总代偿。因此发现的时候会比较晚,往往发现的时候双侧视路都受累及。手术全切或手术治疗都非常困难。
大部肿瘤切除术可以降低肿瘤负荷,提高肿瘤的治疗效果,但手术不当会增大损伤视觉通路和下丘脑的风险,导致出现严重的手术并发症(包括视力受损、失明、内分泌紊乱、下丘脑功能障碍、甚至死亡等)。Ahn等报道约75%的视神经胶质瘤患儿术后发生视力减退。手术风险这么大,还不如不手术……
视神经胶质瘤真的无法手术吗?
根据视神经胶质瘤的类型、生长位置等特点,选择有成功手术经验的医师和正确的手术策略至关重要,在肿瘤较小、对视神经损伤较轻、时间较短时,及时选择手术,才能做到尽全切肿瘤、保视力、恢复视力。
“2023北京神经外科创新与发展国际研讨会、2023北京天坛医院神经外科中心学术大会”上,巴教授受邀发表精彩演讲——“Hypothalamus Tumor(下丘脑肿瘤)”。
巴教授总结
视路-下丘脑胶质瘤为低级别胶质瘤。许多患者处于早期阶段时,症状还可以恢复,此时肿瘤尚未深入侵入视路和下丘脑。在这种情况下,应考虑在肿瘤达到相当大的尺寸和造成实质浸润之前,尽早对患者进行手术治疗。因为病情一旦加重,可能不适合手术。正如我们所展示的,显微手术治疗是可行的,效果非常好。
因此,不应将“无法手术”一词普遍应用于视路-下丘脑胶质瘤。患者选择对确定手术适应症起着至关重要的作用,但必须在每个病例中保持高度个性化的决定。我们的经验表明,显微肿瘤切除术应被视为视路-下丘脑胶质瘤治疗计划的重要组成部分,只要有可能,就应该尝试完全切除肿瘤,同时保留受累结构的解剖和功能;如果无法全切,部分切除和再次手术可能有助于延长无症状和无肿瘤进展间隔时间。

INC巴教授教授成功手术经验及手术策略总结:

6岁男孩视神经-毛细胞星形细胞瘤
患者情况:2022年6月9岁的悦悦出现头疼、视力下降,检查提示鞍上肿瘤,考虑“颅咽管瘤”,7月予以行鞍区肿块切除术,因肿瘤位于视神经,为保留患者视力仅活检手术,术后病理报告提示鞍区低级别胶质瘤,考虑毛细胞星型细胞瘤WHO1级。而毛细胞星型细胞瘤只要达到安全切除,孩子可以长期生存。然而手术风险很大,稍有不慎便会造成失明的严重后果......踌躇两难之际,悦悦父母得知了“巴教授来华“的消息。“只要巴教授说可以做手术,我们就不做化疗了”,悦悦父母在找到巴教授之后重拾信心。

治疗过程:后求诊于INC国际神经外科教授,在巴教授主刀下完成了保神经、近全切的手术(切除率达到了95%以上),手术结束后一个小时左右苏醒。当天就转到普通病房,术后巴教授去病房查房,孩子对答如流,视力得以保留。悦悦父母终于可以放下心来,孩子一切都很好,可爱活泼、充满神采,回归校园。
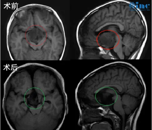
手术后复诊终于看清了巴爷爷的样子

患者情况:2018年7月,年仅5岁的小冬患巨大视神经胶质瘤,肿瘤严重压迫视神经等重要功能神经和脑组织,眼睛几乎没有光感,父母为他访遍国内神经外科医院,均表示这个位置无法手术,或者手术风险很大但是切除率很低,不建议治疗。看着孩子病情一天天恶化,家长心急如焚,经过多方查询才找到INC,并在INC协助下联系到巴特朗菲教授。巴教授详细诊断小冬病情后表示,尽管视神经被肿瘤浸润包裹,但还是有很大机会切除肿瘤,且手术不会导致失明等症状。
治疗过程:巴教授根据肿瘤具体位置、大小和形态制定个体化手术方案,通过额骨颅骨开颅术和大脑半球间穹窿入路,在神经电生理监测护航下实现近全切肿瘤,术中无新发功能神经损伤,术后无新发并发症。术后两周出院,小冬视力明显好转,可自行站立、短距离行走。术后3年半的他,可以看见妈妈,笑容温暖如初、开朗如常。
年幼的孩子一生怎能在黑暗中度过?


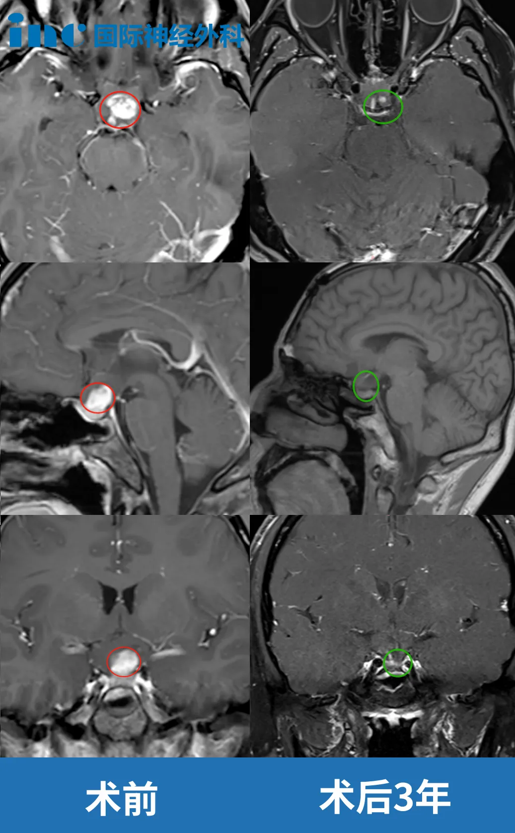
病情回顾:3岁多的康康(化名)因视力下降、头痛、呕吐就医发现“右侧基底节区及下方占位、鞍区占位”,再不手术,可能因肿瘤压迫而双目失明,但因病变位置复杂,切除极其困难,咨询的很多专家都建议保守放化疗。而教授评估康康的病情后指出,为保住孩子视力,手术是治疗的第一步,尤其是切除鞍后肿瘤压迫和移位脑干的部分。后续可通过先化疗再放疗的办法控制肿瘤复发。这让几乎放弃治疗的家人重新看到了希望,他们也满心盼望着教授能来国内给康康主刀手术。
治疗过程:等了足足一个月,2021年INC德国巴特朗菲教授来华终于成行,在苏州大学附属儿童医院,教授为康康成功手术。康康在ICU观察了一夜第二天就转到普通病房,术后MR显示肿瘤得到次全切除。目前术后恢复良好,孩子的原有视力保留。
手术可能会失明?美女学霸势要开出生命之花

病情回顾:美女学霸晓意是父母最大的骄傲,然而不幸患上视交叉-下丘脑胶质瘤,第一次国内手术并不如他们预期的那样顺利,肿瘤可以切除,孩子也可以恢复正常。医生为晓意进行了经鼻鞍区占位切除术。然而当手术进行到暴露肿瘤时,医生发现肿瘤位于视交叉、视神经内,手术立马暂停。视交叉仅5mm-1cm,这个位置,如果继续进行下去,晓意视神经损伤的可能性很大,甚至失明,只能行活检。最终活检结果为(鞍区)毛细胞星形细胞瘤,WHO I级。因手术造成视神经损伤风险很大,甚至可能失明,有部分医生建议先行放化疗,也有医生建议不做任何处理,保守每三个月随访观察肿瘤变化。
治疗过程:巴教授成功取出肿瘤、无新发神经功能障碍,视力模糊和复视也在一点点康复。回国之后的她,在巴教授的指导下接受其他后续治疗。晓意重回校园、继续学习,术后一年还收到了国内外名校的offer。如今术后3年晓意的研究生学业也过了大半,在人生的道路上发光发热追求梦想。
- 文章标题:为什么很多人认为视神经胶质瘤无法手术?INC国际教授成功手术理念和案例分享
- 更新时间:2024-11-27 18:24:52
400-029-0925



