脑干肿瘤患者常见的症状是头痛、步态障碍和复视。患者的临床表现可分为:颅内压升高的症状和体征,颅神经功能障碍,小脑功能障碍,此外,情绪和行为改变也经常发生。
通常,颅神经功能障碍的症状与脑干中的肿瘤位置密切相关,眼球运动障碍与中脑病变有关。六神经麻痹,面部无力和面部感觉缺陷常常伴桥脑病变;和髓质肿瘤中的吞咽困难和构音障碍。对于延髓受损患者,有时可能需要进行气管切开和鼻胃管饲喂或经皮内镜下胃造口术。
脑干弥漫性和局灶性肿瘤
DIPG是较为常见和典型的弥漫性脑干肿瘤,常见于小儿人群。DIPG在磁共振成像(MRI)上具有特征性特征:它们在T1加权图像上是低点的,而在T2加权图像上是高强度的,通常很少或没有增强对比度。这些肿瘤通常没有明确的边界。通常,肿瘤累及整个脑桥,将显示肿胀的迹象,有时带有外生部分。在2016年国际卫生组织(WHO)对脑肿瘤的分类中,DIPG现在构成一个单独的实体。在成年患者中很少见到它们。这些肿瘤的预后较差,患者的生存时间与胶质母细胞瘤患者的临床过程相似。
局灶性神经胶质瘤是划定的病变。它们可以是实性或囊性的,并且在大多数情况下,肿瘤与脑干实质之间有清晰的界面。大多数局灶性神经胶质瘤显示对比增强,并且大多数对应于低度肿瘤。它们倾向于更频繁地起源于中脑和延髓,它们仅代表桥脑中约9%的肿瘤。

神经放射学评估
直到1980年代,计算机断层扫描一直在评估脑干肿瘤患者中发挥作用,后其迅速被MRI取代,MRI成为主要的诊断工具。MRI对肿瘤的生长部位、范围和方向以及其他形态学特征(例如病变是局灶性、弥散性、实体性还是囊性性)给出了清晰的实际影像。因此,MRI允许临床医生建立脑干胶质瘤的更精确特征,并确定肿瘤的位置和脑干胶质瘤的生物学行为。
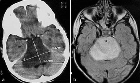
通常,弥散性低级胶质瘤在髓质(60%)和脑桥(30%)中表现为浸润性和界限分明的肿瘤。在T1加权MRI上图像为等强度或低等,在T2加权或液衰减倒置恢复(FLAIR)图像上为高强度。它们通常缺乏对比度增强。有时可以观察到沿小脑中部渗入小脑或直接渗入中脑。成人恶性脑干胶质瘤表现为增强对比的肿瘤,伴有瘤周水肿。MRI上的环状增强提示病灶内坏死。通常需要进行鉴别诊断,因为其他病理实体类似于这种类型的脑干胶质瘤,具有类似的对比增强作用(淋巴瘤、炎性疾病、脓肿、转移、脱髓鞘疾病、室管膜瘤、血管母细胞瘤和梗塞)。局灶性顶盖脑干胶质瘤是在顶板或导水管周围区域的明确病变。
这些肿瘤在T1加权图像上表现为等强度或低强度,在T2加权图像上表现为高强度。通常不存在对比度增强。通常,它们在形态上保持稳定多年。外生性脑干胶质瘤通常表现为源于四脑室底部的肿块。在造影剂增强的情况下,此类病变可误诊为室间隔膜瘤或脉络丛乳头状瘤。通常不存在对比度增强。通常,它们在形态上保持稳定多年。外生性脑干胶质瘤通常表现为源于四脑室底部的肿块。
脑干肿瘤手术发展史
神经外科手术早期以来,脑干肿瘤被认为是无法手术治疗的肿瘤。因此,即使考虑对脑干肿瘤进行神经外科干预,它们也不主要针对肿瘤切除,而是偶尔针对降低颅内压升高或获取肿瘤组织以进行组织病理学诊断,而很少针对肿瘤消减以好转临床状况。Walker等人提到,不应将儿童脑干肿瘤手术称为“不可能”,而应称为“无济于事”。脑干肿瘤的治疗主要包括联合放化疗。自1968年以来,文献中仅提及成人脑干神经胶质瘤的外科治疗,但是专家之间对于较佳治疗尚无共识。
根据Reyes-Botero等的研究,每种类型的成人胶质瘤均需不同的治疗原则。在患有弥散性内在低级胶质瘤的成年人中,完全切除在技术上被认为是不可能的。建议进行MRI引导的立体定向活检以获得组织学诊断。放射疗法是该成人脑干神经胶质瘤亚组的标准治疗方法,类似于儿科DIPG的治疗方法。常规放射疗法的中位剂量为50至55 Gy。化学疗法尚未证明对这种类型的成人神经胶质瘤合适。患有弥散性内在低级胶质瘤的成年人中位生存期为4.9至7.3年。
在恶性成人脑干神经胶质瘤中,仅考虑有限的活检或分流置换。放射疗法对该亚组无明显影响。化学疗法与放射疗法结合可以是一种选择。Theeler等证明标准的Stupp方案治疗脑干胶质母细胞瘤与不治疗相比是合适的,但是尚无前瞻性研究强烈支持这种成人脑干神经胶质瘤亚组化疗的疗效。局灶性顶盖脑干胶质瘤形成一组不同的脑干肿瘤,预后良好。接受该诊断的患者中位生存期超过10年。通常,观察被认为是适当的,有时分流放置。外生性脑干胶质瘤被认为是成年人中较为少见的亚组。仅在少数情况下,发现病变扩展到四脑室,然后使病变变得易于手术切除。这些治疗建议仅基于放射影像。
脑干肿瘤开放手术的作用
直到1980年代,儿童或成人脑干神经胶质瘤被认为是非手术治疗的疾病。然而,在1980年代,一些神经外科医生开始对某些脑干胶质瘤进行手术,并随后报告了他们的结果。这些报告引入的概念,即开放式外科手术也适用于部分脑干胶质瘤患者。
1999年,Walker等人提到了外科手术在脑干肿瘤中的作用。如果由于某种原因无法进行立体定向活检,则考虑进行开放手术进行组织学检查。然而,弥漫性胶质瘤被排除在手术考虑之外。
2003年,Jallo等还指出,只要对患者的正确选择给予足够的重视,就可以成功地完成脑干胶质瘤的手术。他们的手术指征标准是局灶性、少突性和髓质病变。弥漫性浸润性胶质瘤被认为不适宜手术。
在2010年代,发表了几篇有关成人脑干胶质瘤的报告。手术切除的百分比范围从9.7%至33%。张等注意到关于外科手术对脑干胶质瘤的作用的共识。根据他们的经验,局灶性中脑和延髓神经胶质瘤多为低级别肿瘤;对这些肿瘤进行手术也是顺利的,但不能好转预后,局灶性脑桥胶质瘤多为高级别肿瘤。
自从早期神经外科手术以来,脑干肿瘤曾长期被认为是无法手术治疗的肿瘤。这取决于脑干这一位置的复杂性——脑干处于大脑的“中心区”,毗邻许多大脑重要神经中枢,周围密集了各种神经血管,“手术禁区”、“无法手术”、“致残率高”、“复发率和致死率高”长久以来成了脑干肿瘤的代名词,甚至连对脑干病变的活检也尽量避免。
随着显微神经外科技术、术中辅助技术发展及脑干安,全区的发现,脑干肿瘤已实现了更高程度切除乃至全切,但直到如今有少数手术医生有较多的全切成功案例报道。INC旗下国际神经外科顾问团是由国际各发达国家神经外科宗师联合组成的教授集团,其成员教授大多为国际神经外科各的奠基者、开拓者,德国巴特朗菲教授即为INC国际神经外科顾问团成员教授之一,曾接诊过多例国内及国际各地的脑干、丘脑、基底节区、胼胝体等复杂位置脑瘤患者,在国内,他被患者亲切称为“巴教授”。
巴特朗菲教授曾在2020年脑干肿瘤手术经典专著《Surgery of the Brainstem》中的《Adult Brainstem Gliomas》章节中回顾性研究了1996年至2017年间接受手术治疗的73例患有内在性脑干神经胶质瘤的成年患者,其中三例脑干胶质瘤全切并得到良好预后,以下为三例全切手术报告解析:
阅读:3例成人脑干胶质瘤全切手术剖析,术后超过5年以上均未复发
- 文章标题:脑干肿瘤外科手术发展史
- 更新时间:2020-09-09 09:47:59
400-029-0925




