“做了30年麻醉,我见过太多手术场景,知道担心没用。能安排都安排好了,剩下的,就交给医生和运气。”
52岁的刘先生是一名麻醉科医生——他守护过数不清的紧张时分,安抚过形形色色的病人,却从未认真想过——若有一天,自己成为躺在手术台上等待救治的那一个。
直到某次学术会议,他习惯性地搓了搓手,指尖传来一阵挥之不去的麻木。
“当时没当回事,每年年底写各类报告文件,要敲电脑到深夜,颈椎病是我们这群医生的‘职业病’,以为歇两天就好。”
可会议结束后,手掌的麻木感非但没消退,反而开始蔓延。他立即回院做了颈椎磁共振,同事看着影像,神色凝重地低声道:“主任,你这片子……似乎有点问题。”

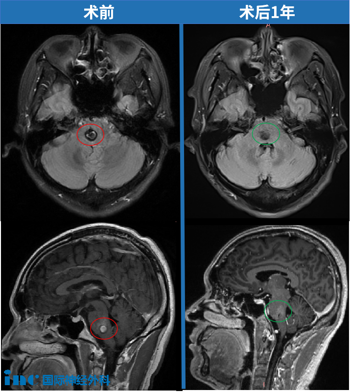
刘先生凑近屏幕,看到脑干位置有一个约1公分大小的异物清晰可见。他赶忙又跑去隔壁CT室复查,“我当时一看就像血管瘤的样子,很震撼,接受不了。”当诊断明确为脑干桥脑海绵状血管瘤,他比任何人都清楚这个区域手术的风险。但也正因如此,他更明白:若想真正解决问题,手术几乎是唯一的路。
这是一段麻醉科主任,在查出脑干海绵状血管瘤后,如何面对疾病、冷静自救的故事……
脑干手术风险巨大,麻醉科主任如何为自己寻求合适解决方案?
2023年12月,刘先生因为轻微的手指麻木查出脑干(桥脑)海绵状血管瘤并出血,病灶0.8cm。不到一个月的时间,刘先生麻木症状开始扩大到手掌、手臂、甚至到下肢。期间,多次复查,病灶也在增大,约1.5x1.2cm。
咨询了多位神经介入科医生、神经外科医生,有的建议保守观察,有的建议手术切除。同时咨询了脑血管科的中医专家,服用了7天中药。期间患者症状还有加重趋势,遂停止中药。DTI检查发现:丘脑皮质束局部已经受压、破坏。丘脑皮质束的作用是将全身的温度觉、痛觉、触觉、压觉、听觉、视觉整合并传导到大脑皮层。

由于存在症状性出血风险,有时甚至会造成毁灭性后果,桥脑海绵状血管瘤对患者构成潜在威胁。手术的主要目标是消除出血风险。此外,手术还旨在保留颅神经(CN)功能,特别是CN VI(外展神经)和CN VII(面神经)的功能。
脑桥位于延髓和中脑之间,连接嵴髓和延髓,主要负责面部感觉和部分听觉的传递。脑桥内部有许多神经核团,如展神经核、束旁核、蓝斑核等,参与面部肌肉运动、唿吸、心血管反射等多种生理功能的调节。
此外,脑桥还与前庭系统、小脑和锥体外系等重要生理功能区域有着密切的联系,对于维持人体的平衡和协调运动起着至关重要的作用。因此,脑桥损伤常常会导致严重的神经功能障碍,如眩晕、耳鸣、平衡失调、肢体瘫痪等。手术难度不言而喻,对手术医生的临床经验和专业水平要求极高。
对待工作精益求精的他,对于手术后的工作强度、工作思维以及肢体活动都有着极高的要求。刘先生明白只有将这颗脑干海绵状血管瘤安全全切,他才能早日回归正常、摆脱提心吊胆和无尽的焦虑。
因此,他开始在医院、学术圈不断咨询,晚上熬夜查文献、看病例,甚至在病友群里挨个打听。“我就想找个做脑干手术有着丰富经验的医生,哪怕只有一丝希望,也不想放弃。我是医生,要是动完手术不能动了,不仅无法正常工作,还会拖累家人。”
此时,多个医生同仁和病友群都提及了一个名字——脑干手术大咖巴特朗菲教授。
“我特意去查他的论文,也看了他在《JNS》上发表的那篇135例脑干脑桥海绵状血管瘤手术研究。还了解到他会来国内做示范手术,光是脑海绵状血管瘤就完成了许多例。”
JNS发表德国巴特朗菲教授135例脑干脑桥海绵状血管瘤手术入路及疗效研究

为了进一步核实,刘先生联系了巴教授在国内合作医院的同事,并辗转找到五六位曾接受其手术的病友。“病友们非常热心,把术前咨询、手术过程到术后恢复的每个细节都与我分享。”这些真实的经历,像一颗颗定心丸,逐步筑牢了他对巴教授的信任。
远程咨询时,巴教授对于术中要选择的手术入路进行了分析。“手术入路是我在20多年前发明的一种方法——通过脑桥延髓沟,我在许多场合发表过这项技术,并在我以前的学术会议和神经外科会议上的许多学术报告中展示过。”

巴教授远程咨询报告截取
术前谈话时,巴教授再次详细解释手术入路、手术体位等。此时的刘先生对于手术更加有信心了——“我就交给你们了!”
巴教授桥脑延髓沟手术入路图解
巴教授脑干海绵状血管瘤学术演讲中关于该手术入路解读

刘先生术中手术入路

“Everything is ok”成功摆脱脑干“隐患”
“手术结束了,一切都顺利!”在手术室醒来后,刘先生听到前来查房的巴教授对自己说。本以为这场在禁区上的手术会惊心动魄,但是对刘先生来说“感觉就像做了一个很长的梦”。
INC巴特朗菲教授带领苏州大学附属第四医院神经外科团队,默契的配合下,用20多年前他就发明的一种手术入路,为刘先生顺利全切脑干海绵状血管瘤——这场高难度开颅手术成功了!而术后的刘先生,从手术室到ICU再到普通病房,巴教授每一次查房,他的手越来越有力,不适症状也一点点改善。
手术室查房:术后即刻清醒过来的刘先生,可以和巴教授简单交流,双手可以抓握,脚也可以动,状态良好,无手术并发症。这听起来不可思议的事情,在巴教授中国行示范手术中已然成为现实。
术后当天ICU查房:刘先生吞咽功能、舌头活动正常、交流顺畅,意识清醒。
术后第一天:再度握手的那一刻,明显感觉到刘先生紧紧抓住的力度。巴教授再次鼓励刘先生“Everything is ok!”
术后第2天普通病房查房:刘先生已经逐渐好转,虽然目前仍有些许的肢体麻木及面部麻木,巴教授也耐心解释道这是暂时的。
术后两周,刘先生顺利出院。休息两个多月后,6月18日,他重新回到了熟悉的工作岗位。


术后1年刘先生走路、骑车已与常人无异

刘先生请理发师在手术切口的对侧也推一条对称的线条
关于脑干海绵状血管瘤手术时机
脑干海绵状血管瘤出血后手术时机是什么时候呢?
“手术的时机是在最方便的时候——在局部瘢痕形成并使病变变得更加困难之前。手术切除出血性海绵状血管瘤是可以做到的,也是手术指征,因为随着时间的推移,它没有发展成较小的病变,但体积明显增大。”

巴教授回答一名脑干海绵状血管瘤患者关于手术时机
如果病人不久前遇到出血,他或她能手术么?或需要等待一段时间再手术吗?
巴教授在INC的专访中回答道:“我注意到许多医生都遵循一个30年前相当流行的概念,更多的是等待。但我的理念是不同的,我的经验告诉我,早期手术对病人更好。手术越早对出血后的病人越好,当然,这取决于具体情况、出血的大小和病人的神经系统状况。但是等待,正如有时会被许多医生推荐的那样,并不好,因为经过长期的等待,在最初的一次出血之后,会形成一个局部疤痕,而这个疤痕的形成实际上阻碍了一个好的手术,这使得手术更困难,更危险,甚至有时阻碍完全切除病变。另一个重要的因素是,在出血的早期阶段,出血或多或少仍是一种液体。所以当我们通过手术打开出血区的脑干时,血液可以被冲出去,这在手术中非常有用。如果我们等几周,血液就会凝结,变得更僵硬,更难以清楚。”
脑干海绵状血管瘤手术的目的是根治性切除,因为部分切除与残余病变持续出血和更高的出血风险有关。尽管有一些报告建议在急性期进行手术以减压脑干,但许多报告建议在症状性出血后推迟约4-6周进行手术,除非患者有意识改变、心肺不稳定或进行性神经功能缺损等危及生命的干预需求。不建议在前2周内进行手术,因为血肿仍很坚硬,病灶周围水肿最严重,从而增加术后功能障碍。在4-6周期间,血肿会液化,水肿也会消退(可使用类固醇来减轻水肿),从而为手术相关的周围结构创伤提供了天然缓冲,因为血肿本身为解剖提供了良好的平面。通常,血肿清除后,有足够的空间用于切除海绵状血管瘤,而无需牵拉脑干。
图片资料来源:Timing of Surgery and Surgical Strategies in Symptomatic Brainstem Cavernomas:Review of the Literature.Asian J Neurosurg.2019 Jan-Mar;14(1):15–27.
400-029-0925
.gif)



