海绵状血管瘤在人群中少见,尤其脑干(包括中脑、桥脑和延髓)的海绵状血管瘤,大多数面对脑干海绵状血管瘤都是望而却步。
20岁大学生中脑海绵状血管瘤突发昏迷

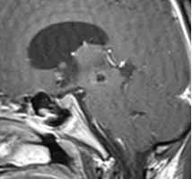
术前MRI
20岁大学生,情况非常危急,来到巴教授所在医院时基本昏迷,很大的中脑海绵状血管瘤出血,而且出现脑积水。
巴教授顺利手术,全切病灶,术后1年后恢复良好,没有任何神经功能缺失,回归校园。

术后MRI

术后1年情况
由于部位较深,解剖关系十分复杂,加之此处神经核团和传导束极为丰富,手术风险极大。此外,中脑等脑干海绵状血管瘤易反复出血,为更大限度挽救患者生命,提高生活质量,通常采用显微外科手术进行治疗。
在治疗过程中应合理选择手术入路,运用显微外科技术安全切除病灶,将再出血风险降至最低,这是治疗取得成功的关键。
中脑海绵状血管瘤如何完整切除?

德国巴特朗菲教授(Helmut Bertalanffy)教授在其Microsurgical Management of Midbrain Cavernous Malformations:Predictors of Outcome and Lesion Classification in 72 Patients论文中记录了他关于中脑海绵状血管瘤的72例显微手术案例报告。
报告中,根据在轴向平面上看到的位置,大概可以分为以下几类:仅中脑角(A1),仅被盖(A2),仅顶盖(A3),脑角和被盖(A4),被盖和顶盖(A5),和所有3个区域(A6),包括中脑脚,被盖和顶盖(图1)。

(根据每个中脑部分内的确切位置及其轴向和矢状范围对MCM进行位置分类,然后采取不同的手术入路,这对术后效果至关重要)
巴特朗菲教授在此论文中指出,对于患有临床相关或反复出血,神经系统症状加重的患者,或患有海绵状血管瘤(CMs)且具有引起神经功能缺损的个体,无论病变是否到达中脑表面均已成立手术指征。使用手术方法来暴露血管畸形病变,原则上,选择的手术方法应允许通过距中脑表面的最短距离实现最佳病变的暴露。与此同时,还根据该区域的个体血管解剖结构相应地调整了手术方法。
反复出血是造成脑干以及脊髓等海绵状血管瘤患者伤残的重要原因,部分切除的病例再出血可能性较大,可引起灾难性的神经功能缺失,因此,完整切除病灶进行全切手术是防止再出血的方法。以上案例中的患者就是首次手术不彻底导致的再次出血,第二次手术全切后的他已回归了正常生活。
近年来,随着神经影像学的进步,神经导航、神经电生理监测的应用以及显微神经外科技术的进步。全切手术效果也明显提高。包括德国巴特朗菲教授在内的INC国际神经外科专家均表示:技术高超的神经外科手术团队、正确选择手术适应证、个体化设计的手术入路,术中行神经电生理监测和神经导航辅助手术,有助于提高肿瘤全切除率,也可为获得更佳的疗效提供重要保证。
- 文章标题:长在“手术禁区”的中脑海绵状血管瘤能完整切除吗?INC巴教授解读治疗关键点
- 更新时间:2025-11-05 11:39:14
400-029-0925




