在神经外科领域,追求病变的“完全切除”常被视为金标准。然而,面对一位40岁的中脑海绵状血管瘤患者,INC国际神经外科大咖巴特朗菲教授及其团队做出了一个不一般的决定:应患者明确请求,主动留下一个邻近的微小“卫星”病灶。
为何会做出这样的决策?术后结果又如何呢?
艾瑞克40岁,中脑海绵状血管瘤
病情警报:
艾瑞克因复视和行走不稳就诊,影像检查揭示了他症状的根源——中脑海绵状血管瘤。
术前增强磁共振成像清晰地显示了病变:轴位和矢状位图像上,一个明显的血管畸形团块。仔细看,还有一个容易被忽略的细节:一个微小“卫星病灶”,静静地躺在脑桥位置。

术前:轴位和矢状位增强磁共振成像
中脑,这个大小仅占全脑0.5%的区域,却是名副其实的“生命中枢”。它控制着人的意识、眼球运动、视觉和听觉功能。在这里动手术,无异于在悬崖边上跳舞。
而这个卫星病灶直径仅几毫米,却将成为手术决策中的一个关键因素——是彻底清除所有可见病变,还是采取更保守的策略?

艰难抉择:
艾瑞克的情况,集中了中脑海绵状畸形治疗的核心难点:
位置刁钻:中脑结构复杂,神经纤维密集,病灶深在脑内,手术需避开关键神经和血管,暴露难度极大;
病灶特性:主病灶有明确出血史,具备强烈手术指征,但卫星病灶的存在让手术方案需兼顾疗效与安全;
术后风险:中脑手术最忌惮术后出血和神经功能损伤,一旦发生,可能导致呼吸衰竭、瘫痪等严重后果。

艾瑞克的术前改良Rankin量表(mRS)评分为1.6分,虽能勉强维持日常,但反复出血的风险让病情如悬顶之剑。
面对检查结果,艾瑞克既焦虑又纠结:主病灶必须处理,但那个小小的卫星病灶,手术切除可能增加脑桥损伤风险,不切又怕未来出事。最终,在和医生深入讨论之后,他向医生提出诉求:优先切除主病灶,卫星病灶暂时保留,后续密切观察。
精细准备与惊险一刻
医生为艾瑞克制定了详尽的手术方案,考虑到病变位于中脑背侧,他们选择了枕下经幕入路,这个入路可以提供最佳的病变暴露视角。
半坐位配合头屈位,使医生能够沿着自然间隙接近目标,最大程度减少对正常脑组织的牵拉。
医生在他的枕部/枕下中线处标记了切口。这个切口位置允许医生沿着小脑幕边缘进入,直接抵达中脑背侧。

按照术前沟通,手术团队成功切除主病灶,而那个小的脑桥卫星病灶被刻意保留,术后即时检查确认:主病灶全切除。
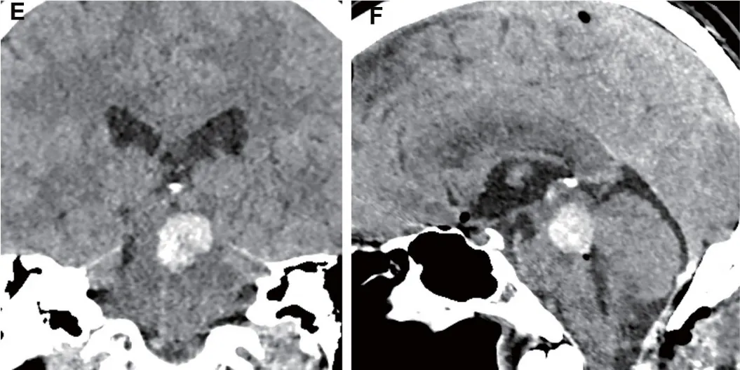
就在所有人以为手术成功、难关已过时,术后第一天,常规头部CT检查带来了令人担忧的发现:冠状位和矢状位重建图像清晰显示,切除腔内出现了新的血肿。这个血肿形成了占位效应,压迫周围的中脑结构。
这是中脑手术最凶险的并发症之一。手术团队当机立断:紧急二次手术清除血肿!医生再次通过原切口进入,快速找到出血点并止血,彻底清除血肿。

术后早期切除腔内的占位性血肿
术后恢复:
术后,患者在神经外科重症监护室接受密切监护。多模态监测系统持续追踪他的生命体征和神经功能。
时间一天天过去,患者的状况逐步改善。最初几周,他需要全面的康复治疗——从床旁被动活动到逐步坐起、站立。神经功能的恢复是一个缓慢过程,每个微小进步都值得庆祝。

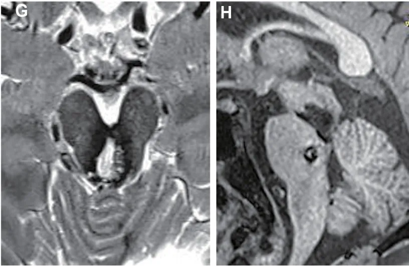
术后5个月轴位、矢状位磁共振成像,证实中脑海绵状畸形(MCM)完全切除。
术后5个月,决定性的时刻到来:复查磁共振成像。轴位和矢状位图像带来令人欣慰的结果——中脑的主病灶已被完全切除,切除区域恢复良好。而那个曾被黄色箭头标记的小卫星病灶,依然静静地待在脑桥原处,大小稳定,没有出血迹象。
风险与收益的平衡
中脑海绵状畸形的手术永远是在风险与收益之间寻找最佳平衡点。完全切除病灶可以消除出血风险,但可能带来神经功能损伤;保守切除或保留部分病灶可能降低手术风险,但遗留未来出血可能性。
最完美的手术不是解剖意义上的完全切除,而是在安全范围内最大程度解决主要问题,同时尊重患者的价值观和生活选择。
*案例来源:
Helmut Bertalanffy,et al.Microsurgical Management of Midbrain Cavernous Malformations:Predictors of Outcome and Lesion Classification in 72 Patients
INC国际脑血管专家-巴特朗菲教授
INC国际神经外科医生集团旗下世界神经外科顾问团(WANG)成员、世界神经外科联合会(WFNS)教育与技术委员会前主席巴特朗菲教授,作为德国汉诺威国际神经外科研究院血管神经外科主任,擅长大脑半球病变、脑干病变、脑血管疾病、脑内深层区胶质瘤、颅颈交界处的病变等的肿瘤切除术、神经吻合术以及各种椎管内肿瘤等。

同时,巴特朗菲教授收到过来自欧洲、中东、北非以及日本、中国、韩国、新西兰、南非和智利的40个国家的学术邀请,应邀出席了400多场世界各地的学术会议或在神经外科大会作为特邀发言人,对世界神经外科学科做出重大贡献,特别是颅底外科和显微外科血管病变的脑和脊髓治疗。
- 文章标题:患者主动要求“留个小病灶”?一例中脑海绵状血管瘤手术的非常规抉择与后续挑战
- 更新时间:2026-01-27 10:24:18
400-029-0925




