在医学领域,脑干肿瘤和颅底肿瘤疾病一直被称为手术禁区。能闯进这个禁区,并不断挑战一个个险峰的医生,不仅要艺高胆大,更要有非凡的勇气和毅力。 多少脑干延髓肿瘤、血管畸...
在医学领域,脑干肿瘤和颅底肿瘤疾病一直被称为“手术禁区”。能闯进这个“禁区”,并不断挑战一个个险峰的医生,不仅要艺高胆大,更要有非凡的勇气和毅力。
多少脑干延髓肿瘤、血管畸形的危重病人在他的手术台上获得新生,有多少病情复杂的颅底肿瘤患者,被他从死神手里硬生生拽了回来。有患者随访时说:“原来我活下来了,并且这个事情完全结束了”“手术后有这么的效果,跟正常人没有区别,我做梦都想像不到”“本来都很灰心了,后来找到巴特朗菲教授才看到希望……对手术治疗结果很满意,现在已经完全跟正常人一样的生活”……

作为国际脑干肿瘤教授,巴特朗菲教授在脑干肿瘤和颅底肿瘤的显微外科治疗研究方面,已经取得了众多提出性的成就。巴教授单纯脑干海绵状血管瘤手术病例就高达400多例,脑干胶质瘤手术病例800多例,这些成功案例是他40多年来、一步一个脚印,不断创造“禁区奇迹”得来的。
延髓海绵状血管瘤患者精选
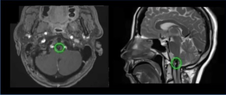
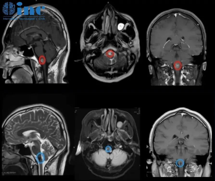
50岁女性-延髓海绵状血管瘤

28岁女性-脑干延髓海绵状血管瘤

19岁男孩-延髓海绵状血管瘤

32岁男性-延髓海绵状血管瘤


30岁女性-延髓-颈髓海绵状血管瘤

术后5天,王女士可下床活动,和巴教授开心合影

50岁女性-延髓海绵状血管瘤


术后一年,严女士在教授来华交流期间,特意来到INC拜访感谢巴教授,表示自己术后恢复很好,对于手术她满意。

48岁男性-延髓海绵状血管瘤

术后1年,宋先生和巴教授进行了一次面对面的随访,他再次向巴教授表示了感谢!并接受INC专访,表示对手术治疗结果很满意,现在已经完全跟正常人一样的生活
延髓胶质瘤患者精选
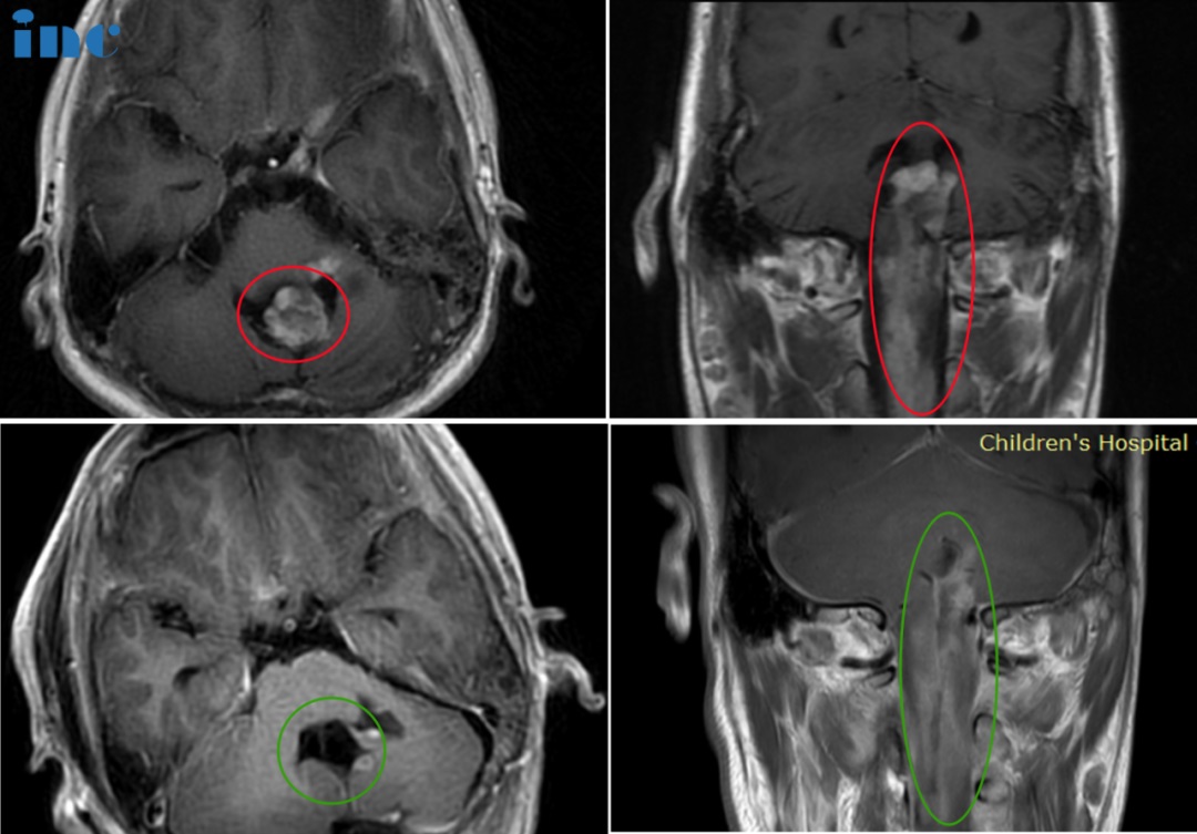
33岁女性-脑干颈髓室管膜瘤


术后两个月,经过康复训练,郑女士从最开始的病房中轻微的手指活动,到在近期的术后康复影像,郑女士目前右手已经可以正常抓握小物体、手部运动正常
14岁男孩-脑干神经节细胞胶质瘤

34岁男性-脑干延髓-颈髓室管膜瘤WHO2级

术后一个多月,患者行走自如已基本恢复正常生活。

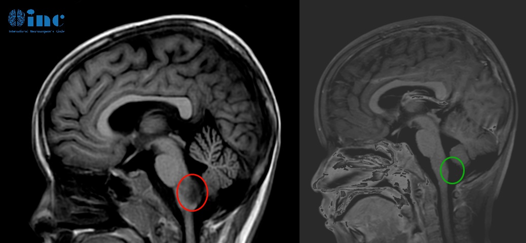
24岁男性-脑干延髓低级别胶质瘤

6岁男孩-延髓毛细胞星形细胞瘤

术后两个多月,天天行走自如正常回归学校。

5岁女孩脊髓-脑干毛细胞星形细胞瘤

术后一年多,琦琦回归校园,她一直努力坚持做训练,运动是她每天的必修课,家里的沙发上、椅子旁、地板垫子上……随处可见她运动的身影!

-
脑出血,我们已经谈之色变, 其实更可怕的还有脑干出血! 脑干是人的生命中枢,包括...
2024-12-04 14:28:07
-
脑干海绵状血管瘤引起的脑干出血需要手术吗?海绵状血管瘤是指长在脑内的血管畸形,...
2021-08-16 17:15:46
-
脑干神经胶质瘤占儿童脑肿瘤的15%。作为一个群体,儿童脑干神经胶质瘤表现出不同的形...
2023-01-10 23:50:34
-
深夜,丽莉的父母躺在床上无法入睡。他们辗转反侧,回想起女儿以前的种种异常,想要...
2025-10-01 04:36:20
-
从视物重影到走路摔跤,从数学题错漏到诊断书上脑干海绵状血管瘤九个字,一位花季少...
2026-02-04 11:07:41
-
脑干胶质瘤是一种常见的中枢神经系统肿瘤,主要起源于脑干的胶质细胞。根据不同的细...
2023-08-25 18:26:17
-
颅内海绵状血管瘤发病率0.4%~0.6%,脑干海绵状血管瘤(brainstemcavemoma,BC)约占其中...
2022-05-06 19:13:31
-
脑干海绵状血管瘤反复出血的危害有哪些?三个案例真实记录 为什么我这脑干出血会反...
2022-12-26 18:01:35
-
16岁的瑞瑞是个阳光帅气的男孩,还在读高中。2022年突然出现肢体麻木伴呕吐,详细检查...
2024-01-03 09:21:35
-
脑干胶质瘤可以手术治疗,由于脑干不同部位的功能特点和部分肿瘤呈现弥散型改变,手...
2022-04-28 14:23:27
-
儿童脑干胶质瘤能活多久?脑干神经胶质瘤(bsg)约占全部儿童中枢神经系统(CNS)肿瘤的1...
2022-02-24 11:14:36
-
在磁共振成像脑,弥漫性脑干胶质瘤的特点是T1强度降低,异源T2增加。局灶性脑干神经...
2020-10-12 11:05:26
-
当脑袋里的瘤子: 处于关键位置 生命总开关 脑干延髓 区 面临严峻情况 二次 出血 致中...
2025-06-12 16:54:28
-
我会进ICU待多长时间? 巴教授:正常的话就是一晚上。 秦先生:一晚上? 巴教授:在...
2024-11-12 17:45:27
-
战胜脑干胶质瘤的他们 脑干胶质瘤真的可以获得良好预后吗? 众所周知, 脑干是生命的...
2025-08-26 17:37:33
-
“对战”儿童弥漫内生性脑干胶质瘤,INC多国超强专家阵容提供前沿综合治疗意见...
2020-10-09 22:38:57
-
脑干胶质瘤严重吗? 脑干胶质瘤是一种少见但严重的肿瘤,位于脑干,是中枢神经系统...
2023-08-25 18:44:46
-
脑干肿瘤占成人全部颅内肿瘤的1.5%至2.5%,而占儿童肿瘤的10%至20%。这些肿瘤在成人中不...
2022-05-30 17:28:30
-
脑干胶质瘤在成人中并不常见,约占胶质瘤的2%。根据国际卫生组织对脑肿瘤的分类,脑...
2020-10-09 22:25:55
-
海绵状畸形(CMs)是中枢神经系统的血管造影性隐匿,低流量血管畸形。它们占全部血管...
2021-03-17 14:06:11