“有没有药物可以先控制下”
“做不了手术,能不能放疗一下”
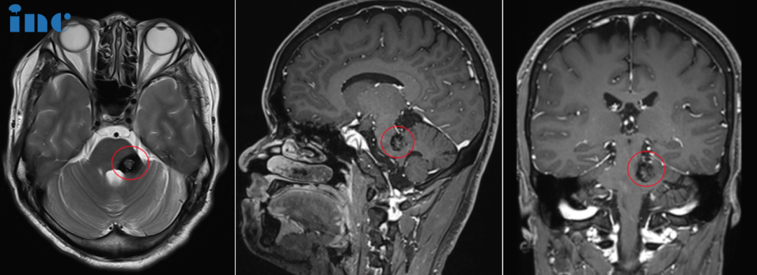
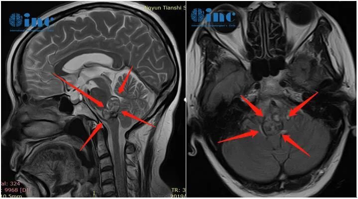
脑干海绵状血管瘤手术风险大,可以选择放疗或者药物治疗吗?46岁女士突然感到左侧面部麻木。检查显示大出血性轴内桥脑海绵状血管瘤(A和B)。脑桥的背侧结构受到严重压缩(红色箭头),表明仅在病变和菱形窝表面之间有薄薄的实质层。

仅有麻木症状,但是脑干手术风险大,就没有药物或者放疗可以解决吗?
对此,巴教授的回答都是否定,这与脑干海绵状血管瘤特点有关,手术是唯一的解决办法。医生的手术技术无疑是手术成败关键,在脑干上“动刀”,不仅要求医生对解剖的深入理解、手术入路的精准设计和理念、精细娴熟的手术技巧,还要有顽强的意志和耐心,稍有闪失,后果不堪设想。
脑干海绵状血管瘤就仿佛在脑子里安装了一个“不定时炸弹”,患者不知道何时会出血,也许是在运动中、也许是在某个熬夜的晚上,战战兢兢生活,时刻担心每一次的头疼乏力发作都担心是不是脑出血,如果出血会不会就瘫痪要轮椅为伴了……脑干海绵状血管瘤的患者一旦被确诊,阴影就日夜笼罩着整个家庭。
保守观察并不是最佳选择,只是在等待,等待一位能够安全全切病灶的主刀医生的出现,幸运的是他们也如愿找到了,收获了良好的预后结果。希望更多患者也能够将未知化为已知,把握命运的主动权。
这名患者选择手术,巴教授通过乙状窦脑桥后外侧入路进行开颅手术。术中,在三叉神经(CN V)和耳蜗(CN VIII)神经;该区域被选为脑桥的入口点,这两个神经得到完整保留。患者术后病程平稳,无其他神经系统疾病。

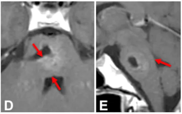
脑桥中部的横断面,并标示了下方的脑桥海绵状血管畸形(PCM)。该血管性病变未紧贴脑桥表面,但单侧性地推移了周围的内在结构,包括外展神经与面神经的神经核团及纤维束。根据解剖学研究,面神经核平均距第四脑室底约5.1毫米,而外展神经核距菱形窝表面的平均距离仅为0.2毫米。绿色箭头指示了抵达此左侧病变的两种可能手术入路:后内侧入路或后外侧入路。p-laterally=后外侧;p-medially=后内侧。
术后影像上记录了切除情况,病灶得到全切(D和E)。减压后,切除腔背侧的脑桥实质已明显展开并恢复了明显的宽度(红色箭头)。

脑干海绵状血管瘤如何防止再出血?
由于反复出血是造成脑干海绵状血管瘤患者伤残和死亡的重要原因。部分切除的病例再出血可能性较大,可引起灾难性的神经功能缺失,因此,完整切除病灶进行全切手术(BSCM)是防止再出血的根本方法,也是患者获得治愈的根本方法。近年来,随着神经影像学的进步,神经导航、神经电生理监测的应用以及显微神经外科技术的进步,全切手术效果也明显提高。
经历了长达7年的疾病折磨,三度脑干出血,甚至被送进ICU,但是“就诊了挺多医院,但是到医院去,各大医院的教授都说这个手术风险太大,建议我保守治疗,我也没办法,我该怎么办?”一次又一次的被建议保守观察,病情也只能一拖再拖。

巴教授明确回复,对于海绵状血管瘤没有任何的药物或者是放疗能够去治疗它。唯一治疗海绵状血管瘤的方式就只有是手术切除。从影像上看,这个出血的风险还是一直存在的,尽早把这个手术做了,去除再次出血的风险。
最终他及时选择,顺利手术。同样50多岁的黄女士10年经历6次出血,3度生命垂危,曾住ICU治疗60多天,生命垂危……

黄女士不仅出现过肢体麻木、头晕、耳鸣、视力下降、吞咽困难等症状。虽然最终也得到巴教授的成功手术,但是多次出血导致的神经损伤已经无法恢复,只能得到缓解;但这次手术也及时挽救了黄女士的生命。
对于患者朋友,黄女士用自己的亲身经历告诉大家,假如海绵状血管瘤患者在保守的过程中,病情加重或者病灶增大。假如手术指征明确,就不要拖时间,早一点手术切除,这样预后会更好。千万不要延误治疗时间。
黄女士强调,自己经过多年坎坎坷坷的经历,更加明白的生命的重要性。“生病,人人都不喜欢。但是,生病了也没办法,只有积极面对积极争取治疗。做为家属,更要支持关爱病人,创造一切条件,尽量让病人得到及时有效的治疗。”
- 文章标题:“手术风险大,放疗和药物可以救我吗?”脑干海绵状血管瘤出血怎么办?
- 更新时间:2025-11-10 11:10:10
400-029-0925




