一阵急促、嘈杂的脚步声响起,护士们推着一名已经无法站立、情况危急的患者朝急诊室一路小跑,随行人员焦急地跟在后面。这样的场景在神经外科,尤其是脑血管疾病中并不罕见。这里躺着的多数人,几乎都只有一只手挂在生命的悬崖边,摇摇欲坠之际,是医护人员全力以赴,一次次将他们从悬崖边拉回。
45岁的劳拉,突发脑干海绵状血管瘤出血,面瘫、偏瘫,躺在床上已经下不了床。到达医院时,情况已经很糟糕。
她眼睛通红,两侧眉毛一高一低,双眼也明显大小不一,面部歪斜。由于严重的吞咽功能障碍,她已无法经口进食,只能依赖鼻饲管维持营养。

如果不尽快手术,劳拉极有可能因误吸引发肺炎而危及生命——吞咽功能的丧失,使得即便使用胃管,也存在食物返流进入气道的巨大风险。
但劳拉的这个海绵状血管瘤长在桥脑上,病变已经把桥脑撑的像个气球。

脑桥位于脑干中段,上连中脑,下接延髓,作为大脑、小脑与嵴髓之间的关键枢纽,承担着至关重要的沟通功能。其腹侧面明显隆起,表面沟壑纵横,内部有大量横向神经纤维延伸至小脑,负责协调大脑与小脑之间的信息传递;背侧则参与构成第四脑室底的上部,内含多个颅神经核团(如三叉神经核、展神经核等)以及上下行纤维束,共同调控面部感觉、眼球运动、听觉和平衡等多项生理功能。
此外,脑桥深部还分布有网状结构等生命中枢,对维持意识清醒、睡眠节律和唿吸功能具有重要作用。由于脑桥结构极为复杂,手术操作常需毫米级精度,过去一直被视为“手术禁区”。


INC巴特朗菲教授(巴教授)在精细清除血肿及血管畸形的同时,特别注意保护脑桥后部实质及外展神经、面神经的完整性。

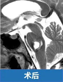
术后一年,明显可以看到劳拉的面神经和外展神经功能已基本恢复,面瘫不再,喜笑颜开。

上述真实案例及图片来自于INC巴特朗菲教授课程演讲。
无法手术的脑干,巴教授如何操作?
1974年,当巴教授还是一名医学生时,便对脑干的解剖结构产生了浓厚兴趣——如此狭小的区域,竟承载着如此众多的功能。自此,他与脑干结缘近五十载,并专注于脑干手术领域三十余年。

截至2025年上半年,巴教授已成功完成371例脑干海绵状血管瘤手术。患者中女性215人,男性156人,年龄从1岁到69岁不等。从病变位置分布来看,104例位于中脑,215例位于桥脑,52例位于延髓。

巴教授强调,手术入路的选择至关重要。针对桥脑海绵状血管瘤,他根据不同病变类型个体化选择手术入路,并在切除过程中力求保留外展神经和面神经功能。
基于桥脑解剖结构与病变复杂关系,他总结出五大手术入路,包括:经髓帆入路、经桥脑臂入路、远外侧入路、小脑上外侧入路和颞下经天幕入路。具体入路方案需结合患者实际情况及主刀医生的专业知识与临床经验综合决定。

桥脑海绵状血管瘤案例

在桥脑海绵状血管瘤治疗方面,INC巴特朗菲教授的研究表明,脑桥后外侧入路优于后内侧入路。一项回顾性分析进一步验证了这一结论,同时证实了术前将桥脑海绵状血管瘤分为四种类型,可用于指导手术入路选择,并评估是否仅需一至两种替代方案即可抵达特定病变。该研究系列中,术后第六、第七对颅神经麻木的发生率明显低于多数已发表的手术报告。

伽马刀可以预防海绵状血管瘤出血吗?
脑干海绵状血管瘤难道没有非手术的办法,预防出血吗?
目前,脑干海绵状血管瘤的治疗仍完全依赖于手术干预。
尽管立体定向放射外科(SRS)在脑海绵状血管瘤治疗中存在争议,部分研究人员仍将其视为手术的替代方案,尤其推荐于不适合或难以进行外科手术的患者。
然而,多项研究指出该疗法伴随较高风险,包括再出血、永久性神经功能损伤以及辐射相关副作用。
INC巴特朗菲教授在其研究中明确表示,目前并无明确证据支持SRS的有效性。针对患者的疑问,他明确指出:“伽马刀治疗对患者而言是一个极不理想的选择。它不仅可能带来一系列副作用,而且无法预防未来再出血——这一点已在我多个病例经验和科学文献中得到证实。因此,我可以非常明确地告诉这位患者,他不应考虑伽马刀治疗。”
此外,这种治疗方式还存在辐射诱发新发病变的显着风险,已有充分证据表明此类情况可能发生。家族性脑海绵状血管瘤或合并静脉畸形的患者尤其应谨慎对待放射治疗。
综上,目前放射治疗在脑海绵状血管瘤管理中的效果与安全性,仍需更多高质量研究予以验证。
- 文章标题:脑干出血术后,偏瘫、面瘫、吞咽困难还能恢复吗?他勇闯“脑干禁区”救回一命
- 更新时间:2025-09-12 12:24:15
400-029-0925




