对于原发性脑干出血患者,摆在医生和家人面前的首要难题往往是:选择保守治疗,还是冒险进行手术清除血肿?
这一决策为何会异常艰难?先一起来看看70岁的她与原发性脑干出血的生死较量。
萨拉70岁原发性脑干右侧延髓出血
病情阶段
凌晨的急诊室,70岁的萨拉因剧烈恶心呕吐被送医,右侧舌肌已出现偏斜,血压飙升至201/100毫米汞柱。
萨拉入院后,尽管立即接受了降压治疗,却出现了更凶险的状况:白天唿吸频率降至每分钟10次,夜间甚至反复唿吸暂停。医生当机立断进行气管插管,唿吸机成为她维系生命的唯一希望。
MRI检查没找到出血原因,既不是海绵状血管瘤,也不是动静脉畸形,医生确诊为高血压原发性延髓出血。通过持续输着降压药,萨拉的血压慢慢降了,可唿吸抑制一点没好转。
原发性脑干出血常见的原因是高血压。长期高血压可引起脑内小动脉发生玻璃样变和纤维素样坏死,从而导致血管壁结构薄弱、弹性下降。当患者血压骤然升高时,此类病变血管极易发生破裂,引发脑干出血。

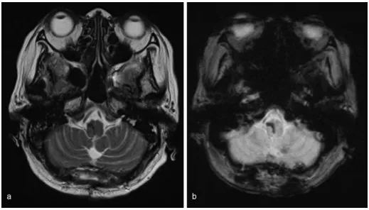
图:磁共振图像显示出血没有明显的病理原因,(a)T2加权(b)T2加权。
面对萨拉的病情,医疗团队面临着艰难的抉择。对于原发性脑干出血,传统上多以保守治疗为主。原因在于:
手术通道极其狭窄:脑干结构复杂,神经密集,手术器械如同在“雷区”中穿行。
风险极高:任何细微的触碰,都可能造成二次损伤,导致永久性的神经功能障碍,如瘫痪、面瘫等。
疗效不确定:清除血肿本身并不能修复已经受损的神经细胞。
然而,萨拉的唿吸功能持续恶化,保守治疗似乎走到了尽头。再不干预,她可能永远无法脱离唿吸机。
向“禁区”进军:
一场精密如绣花的手术
在与家属进行了深入沟通后,最终决定进行开颅手术,清除血肿。
这场手术对医生来说,也是一场“硬仗”:延髓里布满神经核团和神经束,稍微碰错一点,就可能导致瘫痪、吞咽困难,甚至唿吸衰竭。
医生用术中神经电生理监测盯着屏幕,运动诱发电位、感觉诱发电位的波形始终平稳——这意味着神经功能没受影响。小心翼翼地打开颅骨,找到右侧延髓的血肿,再一点点冲洗清除。血肿清除后,延髓肿胀减轻。
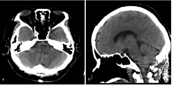
术中神经生理监测(运动诱发电位和感觉诱发电位)保持不变。术中无海绵状畸形等病理学证据。术后CT显示血肿消失。

图:术后电脑断层扫描显示延髓血肿消失
术后情况:重生与康复
手术后,她的自主唿吸提高到每分钟15次以上。术后第5天停止唿吸机支持,术后第6天拔管。术后5周核磁共振成像显示无结构异常。康复后,自主步行出院,没有进一步的并发症。

图:术后5周磁共振成像未见结构异常。
对原发性脑干出血采取保守治疗还是尽早手术清除血肿,目前仍存争议。大多数的患者均以内科治疗为主,如果病情危重或发现有继发原因,且有手术适应证者,则应该进行外科治疗。
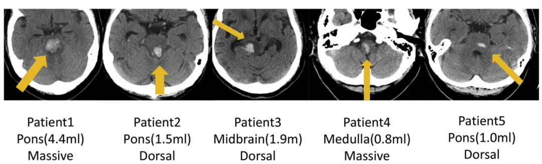
INC巴教授2018年发表论文《Surgical Treatment for Primary Brainstem Hemorrhage to Improve Postoperative Functional Outcomes》中讨论了5例接受手术治疗的原发性脑干出血患者,以及手术治疗改善术后功能结果的能力,分析了术后1周的术后功能结果(表3)和出院后6个月的改良Rankin量表评分(表4),结果显示均有所好转。

图:5例原发性脑干出血(PBH)患者的轴位CT影像。


表4:手术前和术后6个月Rankin量表评分
脑干病变切除是外科领域难度技高风险极大的手术之一,不仅需要医生丰富的临床经验和高超的技术水平,还需要术中磁共振(iMRI)、术中神经电生理监测、术中神经导航系统等保障手术的精准安全。因此,脑干出血等病变想要最大程度降低并发症的前提是选择一个手术经验丰富且技术高超的神经外科手术团队以及具备一系列先进术中监测设备的医院。
参考文献:《Surgical Treatment for Primary Brainstem Hemorrhage to Improve Postoperative Functional Outcomes》
INC国际脑血管专家-巴特朗菲教授
INC国际神经外科医生集团旗下世界神经外科顾问团(WANG)成员、世界神经外科联合会(WFNS)教育与技术委员会前主席巴特朗菲教授,作为德国汉诺威国际神经外科研究院血管神经外科主任,擅长大脑半球病变、脑干病变、脑血管疾病、脑内深层区胶质瘤、颅颈交界处的病变等的肿瘤切除术、神经吻合术以及各种椎管内肿瘤等。

同时,巴特朗菲教授收到过来自欧洲、中东、北非以及日本、中国、韩国、新西兰、南非和智利的40个国家的学术邀请,应邀出席了400多场世界各地的学术会议或在神经外科大会作为特邀发言人,对世界神经外科学科做出重大贡献,特别是颅底外科和显微外科血管病变的脑和嵴髓治疗。
- 文章标题:高血压竟致脑干出血!70岁的她呼吸衰竭命悬一线,如何靠一场手术逆转危局?
- 更新时间:2025-10-18 12:05:12
400-029-0925




