INC国际神经外科医生集团旗下世界神经外科顾问团(WANG)成员,世界神经外科联合会(WFNS)颅底手术委员会前主席Sebastien Froelich教授(塞巴斯蒂安·福洛里希,“福教授”)、携手世界神经外科学会联合会(WFNS)内镜委员会前主席Henry W.S.Schroeder(施罗德)教授等共同撰写了《Management of non‑vestibular schwannomas in adult patients:a systematic review and consensus statement on behalf of the EANS skull base section Part II:Trigeminal and facial nerve schwannomas(CN V,VII)》。

研究就三叉神经与面神经鞘瘤的治疗达成专家共识。治疗目标应遵循最大安全范围切除与功能保护并重原则。今天分享的是面神经鞘瘤。【欧洲神经外科大会(EANS)是欧洲神经外科学会(European Association of Neurosurgical Societies)的年度学术会议,旨在促进全球神经外科领域的学术交流与合作。】


解剖学特征
面神经可划分为多个节段:脑池段、内耳道段、迷路段、鼓室段、乳突段及颞外段。该神经走行复杂,沿途发出重要分支,包括岩浅大神经、耳后神经及五个终末分支。
发病率
面神经鞘瘤是一种罕见但在面神经中常见的肿瘤。文献报道其约占桥小脑角区肿瘤的3%,颞骨肿瘤的1%。其真实发病率难以精确评估。
临床表现
面神经鞘瘤可发生于神经任何节段,常累及多个节段,且存在跳跃性病灶的报道。最常见起源于膝状神经节,其次为鼓室段和内耳道段。发生于桥小脑角或脑池段的肿瘤较为罕见,约占面神经鞘瘤的20%-28%。按解剖位置可分为脑池段、颞骨内段和颞外段三类。
最主要的临床表现是不同程度的面瘫(51.2%)。颞骨内肿瘤通常以面瘫为首发症状,这与面神经在颞骨骨管内空间受限、无法代偿肿瘤扩张有关。脑池段肿瘤多表现为感音神经性听力下降,易与前庭神经鞘瘤混淆。而与膝状神经节以远肿瘤不同,若后者出现听力障碍,通常为传导性耳聋。颞外段肿瘤多表现为腮腺区肿块。其他常见症状包括耳鸣(21.7%)、眩晕/共济失调(20.2%)、面肌痉挛(5.2%)、耳痛/耳后疼痛(3%)及头痛(0.5%)。
影像学表现
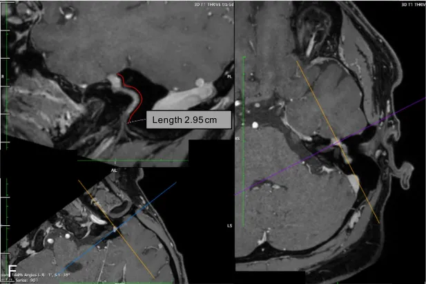
鉴于此类肿瘤可起源于神经的任何部位,必须联合进行计算机断层扫描(CT)与对比增强磁共振成像(MRI)检查。现代薄层CT能清晰显示颞骨的精细解剖结构。面神经鞘瘤通常不引起骨质"侵蚀",而是表现为特征性的扇贝样压迹及骨改建,符合良性缓慢生长肿瘤的特点。注射钆对比剂后肿瘤呈现显着强化,T2加权像呈高信号,T1加权像呈等或低信号(图1)。三维稳态构成干扰序列或三维快速成像序列可提供重要诊断信息。

对于位于桥小脑角及内耳道的肿瘤,其与前庭神经鞘瘤的鉴别诊断存在困难甚至难以区分。若肿瘤延伸至面神经迷路段,则支持面神经鞘瘤的诊断。位于脑池段及内耳道的大型面神经鞘瘤可呈现与前庭神经鞘瘤相似的"哑铃形"形态,此征象源于肿瘤穿过内耳道,扩大面神经管并进入膝状神经节窝。增强T1序列可清晰显示肿瘤强化,结合CT显示的骨质改变,可使面神经鞘瘤成为符合上述影像特征的首要鉴别诊断。
极少数情况下,面神经鞘瘤可表现为中颅窝占位病变,可能源于膝状神经节肿瘤沿岩浅大神经蔓延,或原发于岩大神经本身的肿瘤。此类情况需与三叉神经鞘瘤相鉴别。这些肿瘤通常体积较大,仔细分析颞骨影像若发现面神经通路其他节段受累,即可明确面神经鞘瘤的诊断。
目前文献中关于面神经鞘瘤的弥散张量成像研究报道较少。尽管在结果解读方面存在挑战,该技术仍是值得探索的研究方向。

手术选择
1、手术时机与术式选择
关于面神经鞘瘤的手术干预时机与必要性目前仍存争议,治疗策略亦经历演变。历史上曾主张对所有病例实施手术,主要考量包括:肿瘤进展将增大听力损伤、平衡功能障碍、面神经功能恢复难度及周围神经血管结构受压风险;且术前面神经功能较好者移植修复效果更佳。鉴于此类肿瘤年生长速率仅为0.4-2毫米,对于无症状的意外发现小肿瘤,可通过临床与影像学监测进行安全随访。
2、手术方式
主要术式包括:1)全切除联合面神经移植术;2)次全切除辅以或不辅以"面神经剥离"技术;3)面神经减压术。全切除加神经移植虽可根治肿瘤,但现今适应症有限。
面神经"剥离"技术旨在肿瘤与神经束之间寻找解剖平面,在保留神经连续性的前提下剥离肿瘤。若无法实现完全剥离,可尝试次全切除以保全神经功能。对于局限于颞骨内的肿瘤,可行面神经减压术以延缓面瘫及听力损失进展,但需告知患者肿瘤进展时仍需二次手术。该策略的潜在风险在于活检或减压操作可能损伤神经功能却未实现肿瘤切除。
3、神经修复技术
全切除需截除肿瘤段神经后实施移植修复,包括直接吻合、耳大神经/腓肠神经电缆式移植或舌下-面神经吻合术。但无论采用何种修复方式,术后面神经功能罕有能达到House-Brackmann(HB)分级3级以上者,其中舌下-面神经吻合术预后最差。
4、手术入路选择
需根据肿瘤位置、侵犯范围及听力和面神经功能决定。对于无实用听力患者的桥小脑角-内耳道-迷路段肿瘤,经迷路入路可提供充分暴露;乙状窦后入路虽能保留听力潜力,但无法抵达迷路段;中颅窝入路适用于听力保存患者,可显露内耳道、膝状神经节、鼓室段及岩浅大神经,联合乳突切开术还可实现骨性减压。
Goel描述采用颞下颅底入路处理巨型哑铃形累及中颅窝与后颅窝的巨型哑铃形肿瘤,通过硬膜外剥离在岩骨前方建立手术通道,利用肿瘤表面的神经外膜与硬膜间的天然界面安全切除肿瘤,避免暴露颈内动脉及主要静脉窦。
5、预后分析
Bartindale等的系统综述显示:颞骨内肿瘤行次全切除/神经剥离术后面神经功能显着优于全切除组,而颅内肿瘤组间无显着差异。在104例术前HB 1-2级患者中,72%术后功能得以维持,28%出现恶化;全切除组无一人达到HB 3级以上功能。手术时机方面:颅内肿瘤的术前术后HB分级无显着关联,而颞骨内肿瘤术前功能较差者反而预后更佳。故推荐对HB>5级的颅内肿瘤及HB>4级的颞骨内肿瘤实施全切除。全切除组无再手术病例,而剥离/次全切除组有7.7%出现显着再生。
总结
手术主要适用于肿瘤较大、面神经功能已受损且以肿瘤控制为首要目标的患者。
EANS治疗建议
面神经鞘瘤的治疗策略仍存争议,尤其在干预时机与选择根治性切除还是保神经技术方面存在分歧。无症状鞘瘤建议随访观察(B级证据);进展性肿瘤无论是否伴面瘫均需干预。对于产生占位效应的大肿瘤需手术切除,若为全切肿瘤而牺牲神经,则需同期行神经移植术(专家意见)。
- 文章标题:面神经鞘瘤的症状、影像学表现与手术治疗一览 | INC国际大咖联合EANS综述
- 更新时间:2025-10-18 11:58:36
400-029-0925


