9岁的Elsa常常因为自己笑起来嘴歪脸斜而感到自卑,直到后来又出现了走路不稳的情况,才被诊断为听神经瘤。尽管治疗之路波折不断——肿瘤巨大且位于手术难度极大的“血腥三角”CPA区,很多医生都没有把握能够在不造成面瘫的前提下全切肿瘤;辗转找到巴教授后,术中更是发现部分面神经竟然消失在了肿瘤中,而先前的诊断也出现了失误,实际上Elsa所患的是极易与听瘤混淆的面神经鞘瘤……
但是值得高兴的是,在巴教授的“绝对手感”和丰富的面神经重建经验下,最终实现肿瘤全切,而且Elsa也没有出现新发神经功能损伤,术后1年,她的面神经功能恢复良好,她再也不用受到别人异样的目光了!

1. 巨大CPA区肿瘤「现形」
事实上,Elsa一开始的症状并非简单的嘴歪脸斜,而是伴随着听力的下降。两年后,Elsa的听力下降得愈发严重,还出现了视觉障碍、走路步态不稳等症状,日益威胁着孩子正常的生活。
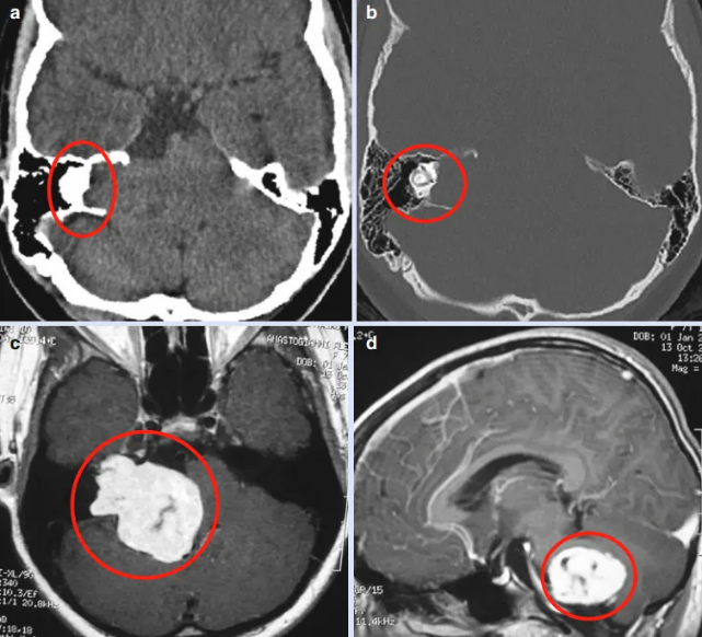
医院的检查结果也吓了父母一大跳,原来Elsa已经患上严重的右侧听觉障碍和凝视性眼震,并伴有严重的共济失调。CT和MR检查显示,这一切的“罪魁祸首”是一个位于CPA区,甚至“截断”脑干的巨大肿瘤占位,初步诊断为听神经瘤。

术前CT和MR显示CPA区(桥小脑角区)有巨大均匀强化的肿瘤,病变向前上方延伸至颅中窝硬膜,向前内侧延伸至颈动脉岩段,尾侧至颈静脉孔。颞骨岩部严重受压迫损伤,脑干明显受压迫,但无脑积水,未检测到NF2的临床症状或放射学体征。
2. 为何陷入「无人手术」的困境
父母带着孩子辗转多家医院,渐渐地,也从医生们口中得知了手术的难度,导致没有医生能对这场手术有足够的把握。
· 主要难点:“血腥三角”CPA区 ·

在神经外科领域,桥小脑角(CPA)区域常被称为“血腥三角”。这个区域毗邻脑干,且与众多颅神经和关键血管紧密相连,肿瘤常沿神经纤维“匍匐生长”,术中难以区分瘤体与正常神经束。
面对生长于这一区域肿瘤,很多医生都纷纷摇头——肿瘤位置与面神经关系密切,且累及脑干、颞骨岩部、颈动脉岩段、颈静脉孔等重要脑组织、面听神经和血管,手术难度高,术后极易出现面瘫、耳聋等后果,导致无法自主呼吸,甚至瘫痪。
3. 术中实录:面神经为何「消失」
最终,打破“几乎无人手术”困境的,是国际神外大咖巴特朗菲教授。手术当天,麻醉医生为Elsa做了专业的儿童麻醉,并全程监测生命体征。一切准备就绪后,巴教授针对肿瘤的具体位置、形态特点,采用乙状窦后入路进行肿瘤切除。术中使用神经导航和术中MRI辅助,可更大程度避免神经功能和重要脑组织的损伤。
然而,在手术操作中,巴教授发现肿瘤质地坚硬,只有在靠近脑干的深处才稍软一些,因此,当附着在颈静脉球上的肿瘤囊逐渐从受压的下颅神经中分离出来时,可以在脑干处看到面神经。但从解剖学上看,面神经在更外侧的部分却无法被识别出来:它在肿瘤中消失了。
究其原因,是肿瘤对神经的高度浸润,易包裹面听神经复合体,而这也进一步增加了手术剥离的难度——需在剥离肿瘤时避免神经牵拉损伤,但儿童肿瘤质地软、包膜不完整,剥离成功率低。但是,这对临床经验丰富的巴教授而言却不难处理。
STEP 01:暴露乙状窦和横窦,进行乙状窦后入入路

STEP 02:中部的肿瘤部分被一层很薄的骨板覆盖,骨板被钻掉,虚线显示了骨切除量,这部分最初被移除。

STEP 03:对CPA区肿瘤部分进行内部切除。

STEP 04:肿瘤已完全切除,解除脑干压迫。

STEP 05:面神经被肿瘤浸润, 在图像上可以看到近端、残端有一些附着的肿瘤(箭头)。

STEP 06:重建近端(k)和远端(l)神经残端(PS近端残端,DS远端残端)

STEP 07:准备合适长度的移植体(m), 并用纤维蛋白胶(n)固定到残端,脂肪用于防止脑脊液泄漏(o)。

尽管无法识别神经纤维,但电刺激整个内侧肿瘤部位可激发动态的面部肌电图反应,这也证实肿瘤并非术前的听神经瘤,而是面神经鞘瘤。同时,考虑到Elsa的年龄较小,代偿能力较强,在CPA区的面神经重建术后,面部功能恢复程度非常高,而一旦残余肿瘤,孩子很可能会反复复发,不得不多次手术或放化疗,备受折磨。因此,在权衡各方利弊后,巴教授决定牺牲面神经,最终成功实现了肿瘤全切。
随后,巴教授进行了面神经重建术,将2厘米长的腓肠神经移植桥接到健康的面神经内侧和外侧残端,对面神经功能进行重建。术后13天,Elsa得以恢复出院,无任何新发神经功能缺损,更没有出现面瘫、耳聋等严重后果。12个月后的随访检查显示,她的面神经明显恢复。从此,Elsa又可以重展笑容。
4. 面神经鞘瘤的手术「取舍」
面神经鞘瘤是一种良性肿瘤,但与一般脑瘤的手术原则不同的是,其手术治疗原则是在全部切除肿瘤的前提下尽可能保留或恢复面神经功能并保存听力。之所以需要在手术中进行如此取舍,是因为术中为了完整切除肿瘤,尽管对面神经的损伤基本难以避免,但仍可以同期或二期进行面神经重建术,达到保功能的效果。
一般面神经修复或重建的手术方式与肿瘤的大小、位置、与周围结构的关系、患者术前的听力水平、面瘫程度等因素有关。常见是术式包括神经端端吻合、神经游离移植术舌下神经-面神经吻合术及跨面神经移植术。大多数面神经鞘瘤患儿在肿瘤切除的同时进行面神经重建术后,可获得较好效果。
INC 国际小儿神外专家团
国际脑干手术大咖 Helmut Bertalanffy教授

教授擅长颅底、脑干病变、功能区、大脑小脑、脊髓等复杂位置的肿瘤性、血管性疾病的手术治疗,尤其擅长颅底、脑干等复杂区域病变的肿瘤切除术、神经吻合术等,脑干病变成功手术病例近千台,以精湛高超的手术技术不损伤神经功能且全切病变。巴教授历经千万个小时用超精确的物理剥除诠释了医术为何为艺术。
国际儿童神外专家 Concezio Di Rocco教授

自2014年5月起,Di Rocco教授就担任了德国汉诺威国际神经科学研究所(INI)的儿科神经外科主任。从事儿童神外事业50余年,Di Rocco教授尤为擅长小儿神经纤维瘤、癫痫、脑积水、蛛网膜囊肿、颅缝早闭、脑和脊髓肿瘤、脑和脊柱畸形(半椎体畸形,皮质发育不良,脊髓脊膜膨出,脊髓内脂肪瘤,Arnold-Chiari畸形等)难治病症方面的治疗,曾进行过12000多次神经外科手术。
国际儿童神外大咖 James T. Rutka教授

教授发表超过500多篇高影响力论文,在临床上的研究方向以颅内肿瘤为主,对胶质瘤、纤维瘤、颅咽管瘤、室管膜瘤具有多年的临床经验,擅长清醒开颅术、显微手术和被广泛用于治疗恶性脑瘤和癫痫的国际前沿技术激光间质热疗(LITT)技术经验,对于儿童胶质瘤,尤其是高级别胶质瘤开展多项临床试验,其所在的医院加拿大SickKids是国际知名的儿童医院之一。
- 文章标题:女孩笑起来嘴歪脸斜,开颅后发现:面神经竟神秘消失了……
- 更新时间:2025-08-05 15:56:55
400-029-0925




