过去三十年间,血管内治疗技术的迅猛发展为邻近脑干的大脑后动脉(PCA)动脉瘤治疗提供了新选择。
然而,单纯血管内干预可能导致缺血性卒中发生率上升,而联合血运重建策略已被证实可有效降低并发症风险。
INC国际神经外科医生集团旗下世界神经外科专家团(WNEG)成员、圣路加国际医院神经外科主任川岛明次(Akitsugu Kawashima)教授在动脉瘤搭桥手术领域具有深厚造诣。
对于PCA动脉瘤的治疗,他多施行大脑后动脉P2段动脉瘤孤立术与颞浅动脉(STA)搭桥术,并将治疗经验整理发表于论文中。

PCA动脉瘤疾病特征
脑动脉瘤是由于脑动脉壁局部薄弱区域在血流动力学持续作用下形成的病理性膨出。部分患者可长期处于无症状状态,但动脉瘤一旦破裂将引发致命性蛛网膜下腔出血(SAH),导致严重神经功能障碍甚至死亡。
大脑后动脉(PCA)动脉瘤属于罕见高危脑血管病变,其发生率不足全部脑动脉瘤的2%,其中超过25%呈现为形态复杂的梭形动脉瘤。该动脉瘤解剖位置深在,紧邻关键功能区,破裂后会造成严重后果。

PCA动脉瘤破裂后严重后果:
- 弥漫性蛛网膜下腔出血(尤其左侧脑桥前池易受累)
- 枕叶(视觉中枢)血供中断引发的视力障碍
- 颞叶(记忆功能区)受损导致的认知功能损害
- 深部脑组织缺血造成的运动或感觉异常
*PCA血管解剖具有特殊性:其主干起源于基底动脉(BA)末端,通过后交通动脉(PCoA)与前循环系统建立侧支循环。PCA主要负责枕叶、颞叶及部分深部脑组织的血液供应,在维持高级神经功能中发挥重要作用。
典型病例解析:男性 47岁
病情阶段
47 岁男性患者,确诊蛛网膜下腔出血(Hunt-Hess & Kosnic 3 级),影像检查显示伴有左侧脑桥前池增厚(图A)。
初次就诊时,3D-CTA或 DSA 均未发现扩张或血管病变。
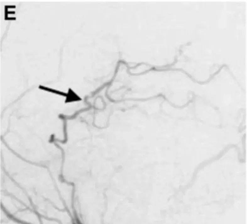
出血第18天后,延迟血管造影显示左侧 P1-P2 段有一个不断增长的夹层动脉瘤,并具有狭窄特征(图B),PTA从狭窄病变的远端部分分支(箭头)。

术中决策要点
- 采用左颞下入路实施复合手术
- 先行动脉瘤孤立术:近端夹闭控制载瘤动脉,全程保护丘脑穿支血管
- 动脉瘤主体位于P2段后部,紧邻PTA分支起始部
- 选择PTA作为受体血管(因其管径与STA匹配度更高)
- 完成STA-PTA端侧吻合后,远端夹闭动脉瘤体
- 术中精细解剖保留所有穿支血管

术后阶段
- 术后第1天,DSA显示左侧PCA区域血流灌注显著改善,动脉瘤完全隔绝无残留显影。
- 术后2周,患者神经功能完全恢复出院。
- 12个月随访,改良Rankin评分0分,证实搭桥血管长期通畅。

手术入路对比研究
在上述案例中,川岛教授采用颞下入路实施STA-PCA搭桥手术来治疗,而另有学者提出小脑上幕下极外侧入路(ILSA)实施枕动脉(OA)-PCA搭桥手术。对此,川岛教授在研究中也一一进行说明。


复杂动脉瘤处理优势
颞下入路可实现:同一术区完成搭桥与动脉瘤处理;直视下精准调控血流重建;显著降低二次干预需求。
旁路移植物选择依据
基于1100+例颅内外搭桥经验(含50+例OA-PCA)的对比分析显示:
STA-PCA优势:
- 血管走行恒定(单层筋膜分离即可获取)
- 移植物长度适配度高(吻合口张力可控)
- 穿支血管保留率提升37%
OA-PCA劣势:
- 解剖变异率高(23%存在起源异常)
- 结缔组织包绕增加分离难度
- 移植物顺应性差致闭塞率升高(5年闭塞率19% vs 7%)
临床适应症选择
推荐将血栓性P1/P2段动脉瘤作为STA-PCA血运重建的首选适应症,其技术成功率可达92%,术后再出血率低于3%。
总结来说,颞下入路联合STA-PCA搭桥术在治疗PCA动脉瘤中展现出显著优势:更广泛的血管暴露范围(提升近端控制能力达41%);减少复合手术需求(联合操作比例下降63%);降低移植物相关并发症(闭塞率降低62%)
该术式为复杂PCA动脉瘤提供了高效、安全的治疗选择,特别适用于需要保留重要穿支血管的病例。未来随着显微外科技术与血流动力学研究的进步,个体化血管重建策略将进一步优化患者预后。
INC国际神经外科专家团 川岛明次教授

INC国际神经外科医生集团旗下世界神经外科专家团(WNEG)成员、世界脑血管搭桥手术大咖、日本东京女子医科大学神经外科主任川岛明次(Akitsugu Kawashima)教授,擅长脑卒中、烟雾病、颅底肿瘤、面部痉挛/三叉神经痛、颅内血肿、巨大脑动脉瘤、脑动静脉畸形等疾病的治疗,尤其擅长脑血管搭桥、颈内动脉内膜切除术。
神经外科经验:
- 烟雾病脑血管搭桥手术:1300例
- 脑动脉瘤夹闭手术:1000例
- 脑血管畸形切除术:500例
- 颈内动脉内膜切除术:450例
- 开颅脑瘤切除术:280例
- 颅后窝搭桥术、High-flow Bypass技术等
*内容来源:Akitsugu Kawashima etc. Superficial Temporal Artery: Distal Posterior Cerebral Artery Bypass through the Subtemporal Approach:Technical Note and Pilot Surgical Cases
- 文章标题:动脉瘤破裂出血命悬一线?揭秘INC脑血管大咖的"血管重建密码"!
- 更新时间:2025-08-08 15:42:25
400-029-0925


