一次不经意的触摸,竟在颈部摸到了血管里“会跳动的鼓包”!
在我们的印象里,致命的血管问题常常伴随着剧烈的疼痛或突发的瘫痪。然而,现实有时更为隐匿和惊心。74岁的孙阿姨就经历了这样一场无声的危机......

孙阿姨 74岁 动脉粥样硬化导致颈动脉瘤
病情阶段
74岁的孙阿姨在一次偶然间,触摸到自己左侧颈部前方有一个会跳动的肿块。这个发现让她心头一紧。
尽管她没有出现头晕、肢体无力等神经功能缺损的症状。但她深知自己的身体状况:高血压、血脂异常、血管痉挛性心绞痛这些“老朋友”一直相伴,还是决定前往医院检查。
为了查明真相,医生为她安排了详细的血管检查——CT血管造影和MR血管造影。结果清晰地显示:在左侧颈总动脉分叉处,延伸至颈内动脉起始部,藏着一个直径达27mm的囊状动脉瘤!它像一个悄然膨胀的“气球”,随时有破裂的风险(图A)。
好在,全身其他血管没有发现类似的病变。但这个意外的发现,还是让孙阿姨和家人的心悬了起来。

3D-CT血管造影显示位于左侧颈动脉分叉处的囊状动脉瘤
术中阶段
面对这颗颈部的“定时炸弹”,手术切除是解除风险的根本之道。孙阿姨被推进了手术室,在全身麻醉下,她安静地仰卧着,头部微微转向一侧。
为了确保手术过程中大脑的血液供应不中断,术者在颈总动脉和远端正常的颈内动脉之间,巧妙地放置了一个临时的“生命通道”——分流系统。
接着,就是最关键的步骤:小心翼翼地切除动脉瘤。令人欣慰的是,切除后残留的动脉壁结构依然坚韧,医生直接进行了精细的缝合修补(图D),无需额外的人工补片。

图C:术中照片显示颈动脉分叉处的动脉瘤
图D:动脉瘤修补术后颈动脉缝合
动脉瘤被完整切下后,立刻送往病理科。
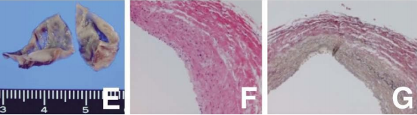
显微镜下揭示了它的真面目:动脉壁的内膜显著纤维化增厚、结构破碎,部分区域甚至被胶原纤维取代(图E-G)。
这正是动脉粥样硬化长期侵蚀血管壁的典型表现——血管在不知不觉中“老化”、“变质”,最终形成了这个危险的膨出。

图E:切除的动脉瘤照片显示部分薄壁,无钙化。
图F、G:骨上标本的显微照片显示,早期动脉粥样硬化和介质碎片部分被胶原纤维取代。
术后阶段
手术顺利完成,孙阿姨术后恢复过程非常平稳,没有出现任何并发症。
术后复查的MR血管造影显示:原来那个27mm的动脉瘤消失得无影无踪!左侧颈内动脉的管腔恢复通畅,困扰孙阿姨的颈部搏动感也随之消失。

术后磁共振血管造影显示动脉瘤消失,颈动脉通畅
颈动脉瘤早期常表现为颈部、耳后或咽部搏动性肿块,多无神经症状;增大后可致局部胀痛及神经压迫症状(声音嘶哑、吞咽困难等)。可伴收缩期杂音或震颤。颈动脉瘤的病因多样,动脉粥样硬化最常见(占34%-70%),其次为创伤、感染等。主要分真性动脉瘤(粥样硬化导致)和假性动脉瘤(常由创伤后修复形成)。
瘤内易形成附壁血栓,脱落可引发脑栓塞,轻则短暂性脑缺血(头晕、失语等),重则偏瘫或死亡。破裂虽少见但极其凶险,因此确诊后需尽早治疗。
INC国际神经外科专家团 川岛明次教授

INC国际神经外科医生集团旗下世界神经外科专家团(WNEG)成员、世界脑血管搭桥手术大咖、日本东京女子医科大学神经外科主任川岛明次(Akitsugu Kawashima)教授,擅长脑卒中、烟雾病、颅底肿瘤、面部痉挛/三叉神经痛、颅内血肿、巨大脑动脉瘤、脑动静脉畸形等疾病的治疗,尤其擅长脑血管搭桥、颈内动脉内膜切除术。
神经外科经验:
- 烟雾病脑血管搭桥手术:1300例
- 脑动脉瘤夹闭手术:1000例
- 脑血管畸形切除术:500例
- 颈内动脉内膜切除术:450例
- 开颅脑瘤切除术:280例
- 颅后窝搭桥术、High-flow Bypass技术等
案例来源:Akitsugu KAWASHIMA etc,Technical Options for the Surgical Management of Extracranial Carotid Artery Aneurysms-Three Case Reports 2012
- 文章标题:摸到颈部有个会“跳动”的肿块,检查一看竟是颗“悄然膨胀"的动脉瘤!
- 更新时间:2025-08-15 18:40:36
400-029-0925




