她以为25岁那年的甲状腺癌已是人生至暗时刻,谁知命运在十年后给了她更残酷的“续集”——2013年,35岁的她因失眠、炸裂般头痛就医,竟在脑内发现一个“硬如石头”的肿瘤!紧接着复视、眼眶剧痛接踵而来……更可怕的是,她10年间的经历:甲状腺癌、关节炎、双腿诡异溃烂……这个年轻的女性究竟经历了什么?当活检无法确诊时,开颅切除脑部病变的同时,为她揭露真相!

阳春3月,我失眠了?
2013年3月,初春的日子,一切向好。窗外的樱花已经冒出了嫩芽,我却开始整夜整夜地失眠。
起初我并没有在意——在这个快节奏的都市里,谁还没有过几个辗转反侧的夜晚呢?但渐渐地,我开始害怕入睡。每当夜深人静,我躺在床上数着时钟的滴答声,听着窗外风声的悉悉索索,那些被刻意遗忘的病痛记忆就会涌上心头。
10年前,我患癌了
2003年,25岁的我被诊断出家族性甲状腺乳头状癌,医生为我进行了行全甲状腺切除术。还记得主治医生安慰我说:“别担心,这是最‘温柔’的癌症。”但当我看到镜子里脖子上那道狰狞的疤痕时,还是忍不住哭了。
度过了四年的安稳生活,2007年,我的关节开始莫名肿痛。化验单上“抗MPO抗体阳性”的字样让我第一次听说“血管炎”这个词。医生皱着眉头说:“你的免疫系统在攻击你的身体。”虽然关节疼痛让我常常难以忍受,但是对于一个曾经罹患癌症的人来说,这没什么大不了,我可是抗癌战士。
对于生活,我更加注重加健康,不抽烟、不喝酒。
最可怕的噩梦发生在2009年。我的小腿突然出现几个小脓包,看起来像被虫叮咬后的,起初并没有在意。不到一周就溃烂成拳头大小的溃疡,伤口越来越大,且久不愈合。散发着腐臭味,换药时撕心裂肺的疼痛让我几乎晕厥。疼痛灼心,双腿惨状更是吓人,医院检查确诊坏疽性脓皮病。我还是一个年轻爱美的女性,这日子还怎么继续。
10年后,我脑子里又长个东西
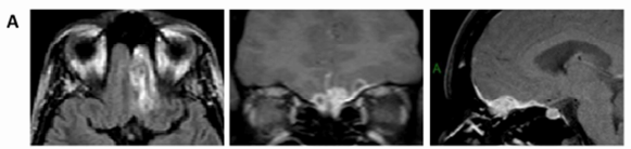
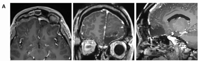
在失眠中煎熬了半年,我的后脑勺炸开剧痛,像有人用铁锤敲打我的脑袋。2013年9月,立刻前往医院检查,医生告诉我,我脑子里长个了东西。头颅 CT 及 MRI 显示:嗅沟区占位病变,向右筛板延伸,并伴额-嗅区双侧硬脑膜增强(图 1A)。

图1A:2013年9月,影像学首次确诊时
“您得过甲状腺癌?还有关节炎和小腿溃疡?”那些我以为毫不相干的旧疾被再次提及。我盯着影像上模糊的阴影,突然意识到——这十年来折磨我的各种病症,会不会是同一个“恶魔”的不同面目?
漫长的治疗之路
入院初期,医生考虑为炎症或感染性病变,遂行腰椎穿刺检查;脑脊液常规及生化均正常。但一个月后复查时,MRI里那团阴影膨胀了,病灶较前增大(图1B)。看东西重影,右侧眼眶也很痛。后续,又进行了微创活检,均无法确诊。

图1B
1个月后,MRI提示病灶体积略有缩小(图1C),我太开心了。由于病灶迅速缩小,所以我准备再等等。

图1C
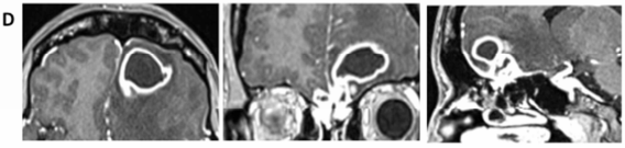
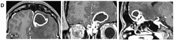
然而,5个月后再次复查MRI,发现肿瘤体积再次显著增大,病变已累及筛窦及额叶实质(图1D)。

图1D:第二次活检后5个月,病灶再次增大
手术不能再等,2014年10月我接受手术治疗。手术台上,医生们发现这个病灶硬得像石头,但好在医生帮我把脑子里的病变全部切除。

术中行双侧额部冠状切口,采用额下入路。病灶质地极硬,与周围炎性纤维化组织分界清晰,可完整分离,外观酷似曲霉性肉芽肿;遂行病灶全切除。受累硬膜附着区予电凝并彻底清理。因术中冰冻切片未见恶性证据,且无需肿瘤学意义上的扩大切除,筛窦结构予以保留完整。术后MRI(图2A)示颅内病灶已全切,但嗅球周围仍有持续强化灶。

图2A:术后MRI示额部肉芽肿已完整切除
病理报告终于揭晓谜底:肉芽肿性多血管炎(GPA)。这是一种抗中性粒细胞胞质抗体(ANCA)相关性血管炎。罕见的多系统疾病,主要累及小血管,以肉芽肿性炎症、寡免疫坏死性肾小球肾炎和血管炎为特征。GPA几乎可以累及任何器官。GPA的诊断综合依赖于临床表现、影像学结果、实验室检测结果、血清学标志物和组织病理学结果。
中枢神经系统(CNS)受累在肉芽肿性多血管炎(GPA)中极为罕见,仅见于 2%–11% 的患者。其病变机制主要为肉芽肿性血管炎,或由眶、鼻及鼻窦等邻近部位的炎性浸润直接蔓延至颅内,如本例所示。经额下入路完整切除病灶,既确立了GPA的最终诊断,又显著降低了脑膜及前颅底的病灶负荷。
通过手术切除减少组织负荷,可作为后续免疫抑制治疗的辅助手段,从而缩短疗程并降低疾病相关致残率。该策略可在最短时间内实现可靠诊断与病灶控制,并减少局部并发症。然而,鉴于开放性手术存在严重细菌感染风险,我们认为仅当所有微创诊断手段均无效时,才应考虑实施此类手术。
后记
该案例来源于INC国际神经外科医生集团旗下世界神经外科顾问团(WANG)成员、世界神经外科联合会(WFNS)颅底手术委员会前主席Sebastien Froelich(福洛里希)教授团队研究报道。

国际颅底大咖福教授的数次来华之行中,广泛开展了颅底解剖学、神经内镜在颅底手术中的应用进展、颅颈交界区肿瘤的手术方法等重要讲座,与无数国内神外同仁及医学学者共同研究学习,还成功为多名复杂脊索瘤及脑膜瘤等患者进行手术,为颅底肿瘤患者带来更多希望。
- 文章标题:25岁患癌,35岁大脑里长“石头”!10年间她的免疫系统竟在“自相残杀”…
- 更新时间:2025-08-14 15:42:02
400-029-0925




