海绵窦(CS)是位于颅底中央深部的一处脆弱静脉腔隙,内含极为重要且功能密集的神经血管结构——包括颈内动脉(ICA)及其分支、第Ⅲ、Ⅳ、Ⅵ对颅神经以及三叉神经眼支。因此,唯有对其解剖结构了然于胸,方能避免潜在危及生命的手术损伤。当肿瘤累及甚至长在海绵窦区,怎么办?
随着内镜经鼻入路( EEA)的兴起——主要通过颅底腹侧正中通道处理中线病变。近年来,内镜经眶入路又为前、中颅窝旁正中及外侧区域直至岩尖的病变开辟了新的手术通路。无论采用何种方法,这类病变的手术都是一项艰巨的任务。
单一入路往往无法同时暴露整个海绵窦,亦难以实现对ICA海绵窦段近端与远端的全程控制,而后者恰为安全手术的前提。
3位患者迎来惊心动魄的绝地反击:
- 64岁大叔记忆衰退的元凶竟藏在海绵窦外侧,医生巧施"眉弓微创"绝技,通过眉毛里隐秘的钥匙孔全歼肿瘤,6天出院时连疤痕都玩起了捉迷藏;
- 41岁女士的垂体瘤在放疗后死灰复燃,入侵海绵窦,手术团队化身"鼻腔特工",借道鼻孔直捣黄龙;
- 还有一位53岁患者,术后7年再复发的脑膜瘤如八爪鱼般侵袭,医生拿出显微镜与内镜的"双镜合璧"必杀技,展开地毯式清剿,最终连根拔除这个盘踞多处的肿瘤巨怪!
三场战役,三种入路,共同点是,这三则案例均来自世界神经外科联合会(WFNS)颅底手术委员会前主席Sebastien Froelich(福洛里希)教授的相关研究中。正如神经外科的至高追求——“让大脑意识不到曾被手术”,这位“双镜联合”手术大咖用他量身定制的手术艺术,为更多颅底肿瘤患者带来新生。
“随着神经外科技术的发展,现在的趋势无疑是采用更微创的方法,包括锁孔手术。最近,经眉弓锁孔手术也不是什么新鲜事,现在许多的颅底肿瘤可以采取更微创的方式完成。”

第一把钥匙:从眉弓手术全切脑膜瘤,6天出院
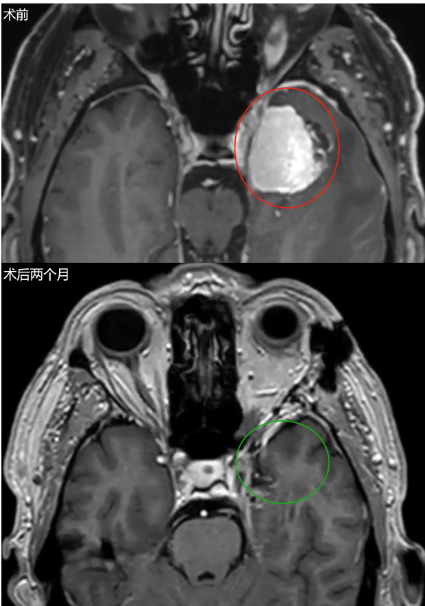
64岁男性,表现为记忆力减退,语言障碍,这些症状被认为与部分性癫痫发作有关。术前CT扫描和MRI显示左侧海绵窦外侧壁的颅外病变,伴有病变周围水肿和颞叶受压。
综合考虑到肿瘤内没有包绕血管,患者秃顶且眉毛浓密,决定采用经眶入路——transorbital eyebrow lacrimal keyhole approach(TELKA),即从眉弓切除这个肿瘤。该入路可提供更好的手术视野和足够的操作空间,减少眼球的危险牵拉。为显微镜和内镜的使用提供了十分出色的可视化和可操作性。


显微镜+神经内镜“双镜联合”手术,神经导航精准定位,“筷子技术”发挥优势。
- 手术切口

- 神经导航定位

术后CT扫描显示肿瘤全切,无手术并发症。患者未出现任何神经功能缺损。术后第6天拆线出院。

在 2 个月的随访中,疤痕几乎看不见,美容和神经功能结果实现兼得。


第二把钥匙:内镜经鼻手术,垂体瘤复发竟侵袭海绵窦!
41岁女性,检查发现巨大无功能垂体腺瘤,在外院进行了手术,术后辅助放疗以治疗右侧海绵窦内小残余肿瘤的进展。完成放疗一年后,患者出现右侧动眼神经麻痹,MRI显示右侧海绵窦内肿瘤复发。
▼术前肿瘤持续生长进入海绵窦

INC福教授采用经鼻内镜手术,然后通过移除海绵窦颈内动脉前段上的骨质进行外侧扩大术野。术后磁共振成像(MRI)证实肿瘤肉眼全切。术后,动眼神经麻痹缓解,术后恢复顺利,病理证实为垂体腺瘤。三年后,随访影像显示肿瘤未再生长。
▼术后MR患者动眼神经麻痹消退,影像学检查术后3年无复发。

第三把钥匙:“双镜联合”巨大脑膜瘤侵袭海绵窦得以全切
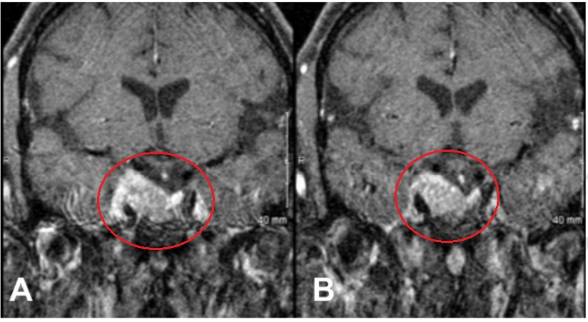
53岁男性患者,7年前在外院手术切除2级脑膜瘤。因出现三叉神经V1、V2区麻木,V3感觉迟钝入院。MRI见巨大脑膜瘤复发侵犯右侧海绵窦、眶顶、SphS、PPF和ITF并通过Meckel’s腔(MC)延伸至小脑桥脑角(CPA)(图 a-c)。

采用原额颞入路,显微镜+神经内镜-“双镜联合”,术后MRI显示肿瘤全切除。
术前术后影像对比:(A)术前MRI显示脑膜瘤延伸至后颅窝(PF)、海绵窦(CS)、眼眶和蝶窦(SS)。(B)肿瘤延伸至中窝、翼腭窝(PPF)和颞下窝(ITF)。(C)术前CT显示更大的蝶翼侵蚀和SS受累。(D, E)术后MRI显示肿瘤完全切除。(F)术后轴位CT扫描显示用于闭合的脂肪移植物。

后记

曾一度或当今仍被许多人视为“无人之地”的海绵窦区,也是神经外科手术“皇冠上的明珠”闪耀着颅底外科历史上那些星光熠熠的名字如Parkinson (1916-2005)、Dolenc(1940-2025)、Kawase、Fukushima(1942-2024)教授等这些有远见的神经外科先驱者们为更好地了解海绵窦的解剖结构和改进海绵窦的颅底手术方法铺平了道路,使“手术禁区”海绵窦变得不那么可怕。其中许多手术入路间隙是来自INC旗下世界神经外科顾问团(WANG)的专家成员Dolenc教授、Kawase教授及Fukushima教授等,他们为海绵窦区的手术解剖及入路发展起着重要作用。尤其是Dolenc教授的联合硬膜外、硬膜下入路,已成为直达海绵窦区的标准手术入路。
肿瘤性、感染/炎症/肉芽肿性及血管性等病变,无论其体积、形态、生长方式或扩散范围如何,均可累及一个或多个海绵窦腔隙,并与窦内结构产生不同关系。在此情境下,若需外科干预,神经外科医生必须熟练掌握多条手术路径,以便利用不同三角区域的工作角度最大化肿瘤切除,同时最大限度降低颅神经及ICA损伤风险,并最终为每位患者量身定制最优方案。深入理解进入海绵窦的手术入路、解剖标志及边界对于手术的安全性至关重要。
注:图Practical-Handbook-of-Neurosurgery-From-Leading-Neurosurgeons,改良后
- 文章标题:脑瘤开颅非唯一选择!福洛里希教授“3把钥匙”:眉弓+鼻孔+双镜攻克手术禁区
- 更新时间:2025-07-21 16:57:12
400-029-0925




