“妈妈,我的手臂自己会举起来...”9岁的妮娜突然像变了个人——原本活泼可爱的她开始莫名消瘦,小脸总是不由自主地做鬼脸,可怕的是她的手臂会突然像提线木偶一样自己举过头顶,不明的疼痛更是让她在深夜哭泣,无法安睡。

这些诡异的症状让父母惊恐万分,他们带着孩子辗转求医。经过一系列检查,医生在妮娜的颅底发现了一个"贪吃"的病变,它正在一点点啃噬着骨头!

术前MRI,左侧岩骨及斜坡存在强化病灶,注意观察相邻肌肉的受侵情况
由神经外科、耳鼻喉科组成的跨学科团队决定采用不开颅的经鼻内镜手术,在毫米级的操作空间内完成了肿瘤近全切除,术后配合精准化疗方案——这个“潜伏”在颅底深处的病变最终被成功清除。病理结果出乎所有人意料:这是一种本多见于儿童骨骼和肺的罕见疾病——嗜酸性肉芽肿(EG)!
经过32个月的密切随访,那个爱笑的小妮娜回来了!不仅所有怪异症状烟消云散,复查显示肿瘤完全缓解,没有肿瘤复发,也没有进一步的骨性病变。更令人欣喜的是她回归校园后,学习成绩一直保持在班级前列。

术后32个月影像:显示病变完全缓解
这是来自INC国际神经内镜大咖施罗德教授等2023年发布于J Neurosurg Case Lessons上的论文《Rare clival localization of an eosinophilic granuloma: illustrative case》中的一则案例,施罗德指出这是施罗德教授所知的自1992年至2023年间,第10例斜坡嗜酸性肉芽肿病例!

嗜酸性肉芽肿?——“嗜骨”病变让9岁孩子表现异常
嗜酸性肉芽肿(EG),虽然顶着"嗜酸"的名头,这个疾病的真正"嗜好"却是啃噬骨骼!作为朗格汉斯细胞组织细胞增生症(LCH)家族的一员,这个19世纪就被记载的疾病至今仍让医学界困惑不已:病因至今成谜,却偏爱袭击15岁以下儿童的骨骼和肺部。
朗格汉斯(Langerhans)细胞组织细胞增多症,组织细胞疾病可如下分类:
1.恶性(真正的组织细胞淋巴瘤)。
2.反应性(良性组织细胞增多症)。
3.朗格汉斯细胞组织细胞增多症:
- 单病灶:嗜酸性肉芽肿,罕见(在美国,每年1200个新发病例中只有 1个),常见于儿童,慢性进展性疾病,可发生于骨、皮肤、肺或者胃。
- 多病灶单系统:主要见于儿童。可有发热及骨和皮肤病灶。
- 多病灶多系统:Leterer Siwe综合征(婴儿的暴发性恶性淋巴 瘤),Hand Schüler Christian病[尿崩症(由于侵及垂体柄)、突眼(眶内肿 瘤)和溶骨性病变(尤其是颅骨)]。
9岁的妮娜却偏偏被这个罕见疾病缠上,但起初医生并不知道是什么疾病,这都是术后活检才知道的。在短短3周内,这个原本健康活泼的小姑娘突然像被抽走了精气神:体重莫名掉了3公斤,整日蔫蔫的。更诡异的是,她开始不自觉地做鬼脸、眯眼睛,双臂会像提线木偶般突然高举。夜深人静时,她常因不明头痛哭醒,却查不出感染迹象,亦无夜间盗汗情况。最令人费解的是,当需要转头时,她竟要转动整个上身来完成——就像一尊生锈的机器人。但是妮娜在此之前一直很健康,身体和智力发育正常,在校成绩良好。
“福尔摩斯”般抽丝剥茧揪出杀手
当MRI影像出现在阅片灯上时,揭开了这个医学谜题的关键线索:在妮娜的岩骨至斜坡区域发现了一个危险的占位病变,这个对比增强的病灶像一只贪婪的章鱼,其触须从左侧岩骨尖一直蔓延到斜坡和枕骨髁,还与颈动脉、颈静脉等重要血管纠缠不清。
更令人警惕的是,CT显示这个病变正在以破坏性的方式“溶解”周围骨骼——这种典型的骨侵蚀模式让医生们首先想到了脊索瘤。
真的就是脊索瘤吗?

术前CT:左侧岩骨及斜坡骨质存在骨溶解性病灶。
"不符合脊索瘤的特征!"
这个病变反常地侵袭了咽旁肌,这与典型的脊索瘤特征不符。全身MRI排除了其他骨骼病灶的可能,而SPECT检查仅显示病变处骨代谢轻度活跃,就像青春期孩子骨骺板正常的生长信号。一系列精密检查(包括心电图、脑电图、腹部超声等)都无功而返。
当所有影像学线索陷入僵局时,检验科传来了突破性发现:血液中神经特异性烯醇化酶(NSE)23ng/ml的数值,犹如凶手不经意掉落的头发纤维。这个微小但特异的生物标志物,也无法立刻判断出何种疾病。接下来只能等待术后活检结果……
耳鼻喉科协作,神经外科主刀一次近全切除
鉴于复杂的情况,最终9岁的妮娜被转诊至INC国际教授Henry W. S. Schroeder教授所在的德国格赖夫斯瓦尔德大学,世界非常古老的大学之一,曾培养出三位诺贝尔奖得主,如今由享誉全球的INC国际神经外科联盟Henry W. S. Schroeder教授坐镇。
高清鼻内镜如探照灯般照亮深邃的颅底迷宫,神经导航系统构建出三维安全路径,多普勒超声随时预警血管危险,神经电生理监测则像忠诚的卫士守护着每一根重要神经。主刀手持精密器械,以锐性刮匙精准剥离病变骨质,高速磨钻去除周边骨质。面对已被病变浸润的肌肉组织,团队展现了"有所为有所不为"的手术智慧——既确保肿瘤近全切除,又最大限度保护神经功能。

术中操作:经蝶窦入路的内镜下手术视野。A:在制作鼻中隔瓣及反向瓣后,暴露斜坡隐窝(CR)。B:肿瘤切除后,暴露斜坡硬脑膜(cd),通过多普勒检测到岩部颈内动脉(ICA)。
手术最后的艺术在于创面修复:取自脐周的脂肪组织犹如天然填充物,与预先精心设计的鼻中隔复合瓣完美配合,为手术区域披上量身定制的“防护衣”。这场融合了多模态影像导航、经鼻内镜入路和自体组织复合修复三大技术亮点的颅底手术,不仅成功拆除了威胁妮娜生命的“炸弹”,更展现了现代神经外科手术的精湛艺术。

术后1天影像,显示显示骨肿瘤部分几乎全部切除。
术后活检再历波折,最终确诊嗜酸性肉芽肿
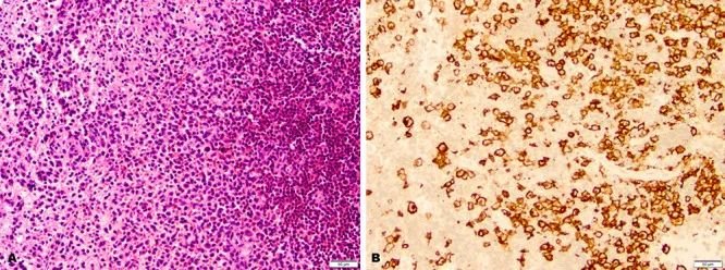
术后,妮娜未出现脑脊液漏、感染等并发症,手术切口愈合良好。然而,诊断过程却经历了一番波折——术中冰冻切片检查结果模棱两可,脊索瘤的可能性仍未排除。直到最终病理报告揭晓谜底:免疫组化染色显示肿瘤细胞CD1a强阳性表达,Ki-67增殖指数为10%,周围可见CD3+T淋巴细胞浸润及少量CD20+B淋巴细胞分布,而HMB-45染色呈阴性。
这一系列特征性表现终于让真相大白:原来这个"潜伏"在颅底的"骨噬者"正是骨朗格汉斯细胞组织细胞增生症(LCH),也就是临床上常说的嗜酸性肉芽肿(EG)。这个诊断结果不仅解释了妮娜所有的怪异症状,也为后续治疗指明了方向。

术后病理:A:苏木精 - 伊红染色显示小淋巴细胞大量存在,几乎掩盖了朗格汉斯细胞。B:免疫组化 CD1a 染色。注意朗格汉斯细胞典型的高 CD1a 阳性表达,与普通巨噬细胞和组织细胞不同。
为何和脊索瘤容易误诊不清?
1. 相似的解剖部位
脊索瘤:好发于颅底(如斜坡、蝶枕交界处)和骶尾区,是起源于脊索残余的低度恶性肿瘤。
朗格汉斯(细胞组织细胞增多症/嗜酸性肉芽肿:颅底(尤其是颞骨、眶骨、斜坡)也是常见部位,属于良性病变,但可表现为局部侵袭性生长。
重叠区域:两者均多见于中线或近中线结构(如斜坡),影像学上均可表现为溶骨性病变。
2. 影像学表现相似
CT表现:两者均可显示溶骨性骨质破坏,边界不清,可能伴有软组织肿块。脊索瘤常见钙化(50%病例),而EG通常无钙化(但少数情况下EG也可伴残留骨片)。
MRI表现:
- T1加权像:两者均可能呈低或等信号。
- T2加权像:脊索瘤因含黏液样基质常呈明显高信号,而EG也可表现为高信号(但通常不均匀)。
- 增强扫描:两者均可有显著强化,难以区分。
- 特征重叠:斜坡的膨胀性破坏、软组织肿块及邻近结构受压在两者中均可见。
3. 临床症状相似
颅神经麻痹:两者均可因压迫颅神经(如外展神经、视神经等)引起复视、视力下降等。
头痛:颅底病变的常见非特异性症状。
其他:EG可能伴局部疼痛或肿胀,而脊索瘤进展较慢,症状更隐匿。
手术+化疗:规范化全程治疗方案,从怪异症状到学业优良的蜕变
基于肿瘤的特殊位置和手术切除范围,医疗团队严格遵循德国儿童LCH注册研究方案(LCH-REG-DE-2013),为妮娜制定了精准的术后治疗方案。术后第9天,她开始接受为期6周的标准化疗:长春新碱(6mg/m²静脉注射)联合泼尼松(20mg口服,每日两次)。后续治疗由当地医院接力完成,包括两组4周的强化化疗和3个月的维持治疗,全程严格遵循治疗方案。
治疗结果令人鼓舞:术后13个月的全身MRI复查显示,颅内原发部位无复发迹象,也未发现其他LCH特征性病灶。在持续32个月的密切随访期间,妮娜始终保持良好的临床状态。系列MRI复查证实肿瘤无复发,未见新发骨质病变。更令人欣喜的是,她术前那些令人费解的症状完全消失,重新回到了校园生活,学业成绩保持在优良水平。
嗜酸性肉芽肿手术治疗总结
这是一个罕见中的罕见案例,她既没有典型的颅神经麻痹症状,反而出现了令人匪夷所思的“舞动症样”综合征——头部转动受限、做鬼脸、双臂不受控制地高举。这一罕见的临床表现,竟揭露出一个潜伏在斜坡区的“骨噬者”——嗜酸性肉芽肿。
虽然罕见,但治疗结果令人振奋,跨学科,经鼻内镜手术联合德国LCH标准化疗方案,不仅成功清除了这个罕见病灶,更创下了32个月长期随访的良好预后!也证明了:面对罕见位置的嗜酸性肉芽肿,积极的手术干预联合精准化疗可能是更优选择!
- 文章标题:9岁女孩突发“脑瘤”!体重骤降、无法安睡,一个“嗜骨”病变潜伏颅底...
- 更新时间:2025-07-03 10:40:23
400-029-0925


