
开颅术后 新生日记

两个可爱的儿子,原本幸福美满的生活,却因一次小小的体检打破平静。“岩斜区脑膜瘤,90%以上概率会出现复视、面部麻木、吞咽困难等。”对于年仅36岁的她来说,每个字都像锋利的刀刃,深深扎进心底。她没想到一个良性脑瘤竟会如此严重。”
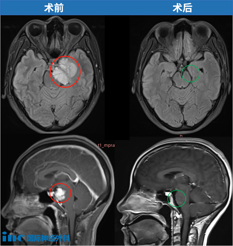
而天坛医院与福洛里希教授的合作,为她带来希望。北京天坛医院手术如期进行——复杂的岩尖区、4.5cm左右的脑膜瘤,“生命禁区”脑干和左颞叶均受压。刚查出时,无任何症状,然而到术前检查竟然发现左眼视力更是降至微弱的0.1.仅一个月时间……幸运的是,这台手术不仅保护了她的爱美之心、没有剃头,更是为她成功切除肿瘤,颅神经(尤其是动眼神经、滑车神经、三叉神经)被保护得很好。

“从决定找谁手术,我花了3天时间,确定福教授后,等了20多天教授来中国。再次庆幸我无症状发现了,也果断做了手术,并且手术非常成功,没有任何后遗症。”
术后的恢复也超乎想象 ——“我在ICU里面呆了4个多小时就出来了,第2天下床,第8天出院。没有剃头,现在连伤口都长出了头发,完全看不到伤口了。现在每周能坚持锻炼5天。”当再次看到幸福的她,乌黑飘逸的长发、精致的面容,眼神中多了一份坚定与从容。这场病非但没有击垮她,反而彻底改变了她的生活。越过山丘,重新回归家庭和工作的她,重拾人生的美好。

术后恢复、亲子时光、健身打卡……这位勇敢的女性用镜头记录下开颅手术后的每一个幸福瞬间。比耶的灿烂笑容、俏皮的爱心手势,和儿子的温馨瞬间,每一张照片或温暖治愈,或充满力量,都诉说着小宛对崭新生活的热爱。她也希望通过记录从发现到解决问题的全过程,为有需要的人提供参考,帮助他们少走弯路。
“脑膜瘤术后2个月痊愈,幸好我体检查出来了,幸好我选择的大咖来做,真的很感恩遇到福教授,也感谢北京天坛医院的所有医护团队——一切都值得!愿大家都身体健康,无人患癌。”
“术后3个月,已经开始恢复健身了。我不说,没有人知道我做过开颅手术,撸铁、普拉提,交换来,从来没想过自己可以如此强悍……”
“术后3个月,带着儿子从重庆-北京-成都、香港……幸福就是如此的简单~”

“术后半年,再次见到我的主刀医生,福洛里希教授,感慨之余又忐忑不安,还好轻舟已过万重山……”
▼福教授随访

▼和福教授合影

小宛的故事仍在继续……
当小宛走到我们的镜头前,温柔而坚定地讲述自己的故事时,她的眼中闪着光:"查出脑膜瘤不要怕,调整心态,勇敢面对!"比起诉说苦难,她更愿化作一缕阳光,用亲身经历温暖他人。
在这场与病魔的较量中,勇敢与爱从未如此真实——丈夫的陪伴与支持,孩子的暖心拥抱,自己咬紧牙关的每一次勇敢向前……奇迹从来不是偶然的馈赠,而是由无数个这样的坚持瞬间汇聚成的希望长河,每一滴水珠里,都倒映着这个家庭永不言弃的信念。
01. “体检查出的良性脑瘤,居然如此严重”
去年11月底体检时,我意外查出脑部有一个良性脑膜瘤。这完全是个意外发现,因为我平时没有任何症状,连头痛都没有。当时是体检中心的人打电话告诉我:"你知道自己脑子里有个瘤子吗?"我很惊讶地回答不知道。对方和我说,是良性的你也不用担心。听到"良性"两个字时,我确实没那么紧张了。
但当我将这个消息告诉家人后,他们都认为无论肿瘤是否良性,长在脑子里就像个定时炸弹,必须处理。在他们的建议下,我开始咨询多位专家。这时我才知道肿瘤已经很大了(45x38x32mm),所有医生都建议尽快手术,我才意识到问题的严重性。

虽然不同医生对手术方案可能带来的后遗症说法不一,但都表示90%以上概率会出现复视、面部麻木、吞咽困难等情况。做手术这件事我是能接受的,毕竟谁都不想脑子里留着个“炸弹”——对我这个36岁、还很在意形象的女性来说,这实在是很大的心理挑战。
我一开始知道是良性肿瘤的时候,还以为不用管它。现在很多人不都是这样想的吗?觉得只要是良性的就不用处理。但实际情况并非如此。因为肿瘤越大,手术难度就越高,而且它长在脑子里,周围有很多重要的神经。这些风险我后来咨询医生时才真正了解,才知道问题的严重性。
接下来,该怎么办?
02. “ICU只待了4个小时,术后第2天我就行动自如”
于是我开始在网上寻找其他治疗方案,就这样偶然发现了你们。刚开始了解的信息不多,我就直接咨询你们。
福教授在颅底手术方面特别专业,而且他采用的是双镜联合技术,这对我的创伤会更小。第一次视频咨询时,他就告诉我这个肿瘤可以成功切除,并且不会有后遗症,所以我很快就决定请福教授主刀。
2024年12月9日,福教授在北京天坛医院国际部为我做了脑膜瘤手术。到现在术后快半年了,还差两周左右。
▼福教授和天坛医院国际部专家讨论手术入路、体位等问题

手术结果非常好,确实像福教授说的那样,我没有后遗症。术后清醒时甚至都没有疼痛感,第一反应就是“终于完成了”的解脱感。刚才有病友问我术后会不会疼,我真的完全没有。
住院期间只输了5天液,在ICU也只待了4个小时。第二天就能下床,前三天每天输液两次,后两天减为一次。第5天我就要求出院,最后是医院让我第8天出的院。

虽然是个良性肿瘤,但一直压在心上是个负担。从ICU转到普通病房后,能下床走动时,我感觉这个“炸弹”终于解除了,特别开心。当时护工和我妈妈还担心我摔倒要扶着我,但我完全可以自己上厕所。开始他们让我扶着走,后来第二天我就能行动自如了。
出院时,我就感觉自己基本上已经恢复了。当时医生嘱咐我要等一个月才能洗头,不过说实话——我现在敢讲了——其实我回家一周后就洗头了,而且一点问题都没有。现在术后快半年了,我感觉身体状态比以前更好。
我每周坚持锻炼5天,举哑铃的重量也比以前增加了。而且,我的睡眠质量明显改善——以前不知道自己脑子里有个瘤子时,总是很难入睡,但也没往那方面想,毕竟现在很多年轻人都有睡眠问题。可做完手术后,我发现睡眠变好了,基本上每天晚上10点半就会自然犯困,很快就能睡着。
03. “调整心态、勇敢面对,越早治疗越好”
如果查出脑膜瘤,首先不要惊慌。因为无论肿瘤位置如何、大小怎样,它始终是良性的——这就意味着完全可以治愈。
我们要做的就是调整心态,勇敢面对。毕竟手术这件事,再爱你的人也无法替你完成,最终还是要靠自己来面对。但值得庆幸的是,既然是良性肿瘤,就不会危及生命,所以越早治疗越好。
虽然脑膜瘤生长缓慢,但它确实在慢慢长大。而且你永远无法预知它会长到多大、会出现什么症状。就像我,虽然是无症状的,但还是选择手术,因为我担心等到出现症状就晚了。颅腔空间有限,肿瘤的生长是不可预测的。点击阅读:良性脑瘤能长多快?这脑膜瘤每年长2.38cm³,还能“挤扁”脑干!
▼岩斜区脑膜瘤,随着肿瘤大小增大及脑干水肿机率增加,手术难度逐渐增加

所以我想对所有发现脑膜瘤的患者说:如果条件允许,建议尽早治疗。这是我作为过来人最想分享的建议。
术前的我几乎从不运动,但现在我每周能坚持锻炼5天——这个好习惯是术后才养成的。说来也奇妙,这场病非但没有击垮我,反而彻底改变了我的生活。
现在的我比从前更健康,复查各项指标都很正常。最重要的是整个人的状态特别好,就像拔掉了心里那根刺,拆除了脑中那个炸弹,整个人都轻松了。
从发现肿瘤到完成手术虽然只花了一个月,但那段时间度日如年。每天醒来都在担心:脑子里这个瘤子会不会突然出问题?而现在,每天清晨睁开眼,我都能由衷地感叹:“又是美好的一天!”
400-029-0925




