47岁的Emma突然遭遇“耳聋+脸痛”双重打击!起初以为三叉神经痛,谁知一次关键MRI检查竟揪出潜伏在岩尖区的病变——胆固醇肉芽肿。增强 MRI 显示病灶在岩尖、耳蜗和内听道侧面和后部出现均匀强化病灶, T2 低信号和 T1 高信号,病灶导致右侧内听道 ICA 和海绵窦向前移位(图 A 和 B)。
岩尖区常见的良性占位性病变有胆固醇肉芽肿、胆脂瘤、脑膜瘤等。大多数岩尖区胆固醇肉芽肿患者长期无明显症状,但当其累及内耳、内耳道、颅神经等岩尖相邻结构时,可出现听力损害、眩晕、耳鸣、面神经功能损害等症状。

术前MRI
岩尖区是中、后颅窝的交界,也是颞骨在颅内极深的区域。岩尖区是指从内听道到岩骨尖的这一狭小区域,毗邻海绵窦后壁,有岩上窦和岩下窦汇入,后方为脑干(中脑和脑桥)、基底动脉及其分支,邻近有Ⅲ~Ⅷ脑神经走行。岩尖区肿瘤常骑跨中、后颅窝及幕上、下两个颅区,与上述重要解剖结构紧密相邻或相连,手术难度较大,术后并发症相对较多。随着显微神经外科技术的不断发展和对该区域显微解剖结构认识的不断提高,目前该区域肿瘤手术的死亡和致残率已明显下降,但仍被认为是当前神经外科极具挑战性的手术之一。

峰回路转,专家精准切瘤保住“脸面” —— 福教授术中操作全程记录

手术方案:通过对侧单鼻孔入路,左侧鼻中隔皮瓣切开并进行蝶窦切开术。
▼磨除骨质,暴露右侧斜坡旁的颈内动脉(ICA),注意血管保护(A)

▼进行斜坡凹陷处(CD)和海绵窦内壁骨质磨除,暴露肿瘤包膜的内侧边缘(B)

▼术中见胆固醇肉芽肿包膜,进行切除并送标本活检后,逐渐切除肿瘤病变(图6C)。

▼解剖、剥离并切除肿瘤包膜(D、E)


▼(F)可通过对侧入路通道、沿着肉芽肿病变长轴,利用吸引器和镊子,解剖分离病变包膜,达到次全切除病变的目的。

▼(G)切除病变后,术中可见内侧的后颅窝硬脑膜,外侧为Meckel 腔 (MC) 和半月神经节。可用肌电图监测探头监测三叉神经的运动功能状态。

▼(H)术野侧面、后面方向为面神经所在。

▼(I)s使用磨钻去除该区域粘附于岩骨的病变包膜,但切除岩骨深处病变的增强部分考虑是不安全的,因为它与内听神经关系密切。

▼(J)使用 Endocameleon 内镜仔细检查术野、鼻道(IAC)

▼(K)使用 TachoSil、纤维蛋白胶封闭颅腔

▼(L)使用鼻中隔瓣 (NSF)完成封闭。CC,囊包膜;PFD,后颅窝硬脑膜;S,蝶鞍;T,肿瘤。

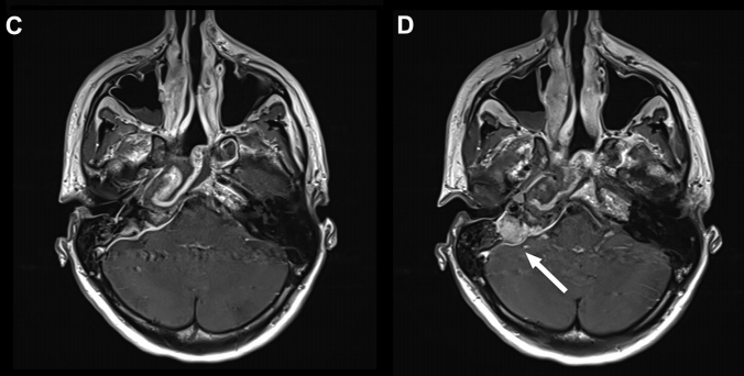
▼术后 (C、D) 图像显示病灶次全切除,并显示鼻中隔瓣修复良好。显示岩尖最后面的小部分残留病灶(C、D、箭头)。值得注意的是,除了鼻中隔后三分之二和蝶窦外,所有其他鼻内正常组织结构均被保留完整无损。

福教授“筷子技术“神经内镜关键优势
长期以来,显微外科技术一直是侧颅底手术的主流技术,而经鼻内镜手术技术也在得到应用。内镜在鼻腔中可灵活变换角度,通过人体天然孔道来观察周围的解剖结构,为术者提供无障碍视野和无需大脑折回的手术通道,大大提高了岩尖区手术的质量。
在内镜经鼻入路岩尖病变过程中, 中心问题在于处理岩骨段颈内动脉和海绵窦。完全切除病变而又确保颈内动脉和海绵窦不受损伤, 将直接关系到病人的预后。内镜经鼻入路进行岩尖病变切除时暴露的解剖区域可从鞍底向后下至枕大孔、向外侧至卵圆孔、圆孔。故该术式还可用于治疗位于岩尖软骨肉瘤、脊索瘤、神经鞘瘤、嗅神经母细胞瘤、脑膜瘤、血管母细胞瘤、血管纤维瘤、胆脂瘤以及生长或转移至该区域的其他恶性肿瘤等。通过内镜下经鼻入路暴露岩尖的解剖研究证实了其可行性和安全性。

神经内镜手术“动态控制”的核心关键优势是,它允许外科医生逐步靠近目标并放大术野,同时减少鼻腔内手术器械操作之间的冲突。这在某些情况下如重要神经组织的解剖分离、肿瘤暴露中至关重要的,例如在颈内动脉附近钻孔、暴露视神经顶部或在硬膜内分离解剖过程中。此过程类似于在执行更精细的操作时使用显微镜进行放大。
鼻内镜手术中“筷子技术”的应用
随着鼻内镜系统的逐步完善和技术的不断改进,神经外科医师可借助鼻内镜完成对整个颅底中线及侧方区域病变的切除。目前,鼻内镜技术从单鼻孔入路逐渐扩展到双鼻孔入路,从传统的由Stammberger和Kennedy等提出的“单手操作”技术发展为最早由May等提出的双人四手操作技术。在此基础上,福教授等首次提出利用“筷子技术”实现“单人四手”的手术操作效果,即在手术操作中,术者左手持内镜和吸引器,右手持器械进行操作。这项技术可以提高术者对解剖和手术的动态理解,减少手术所需空间,以实现更小的手术侵袭性,更好的神经保护。
“筷子技术”由INC国际福洛里希教授提出,一人左手持鼻内镜和吸引器,右手持器械进行各种操作。
“筷子技术”优势
可以减少助手长时间持镜导致的身体不舒适,尤其是对于复杂的手术,可减少因长时间持镜导致助手持镜不稳、注意力下降及不能和术者良好配合等弊端。在前期的操作中,尤其是在双鼻孔打通前,通过单鼻孔操作,一人双手操作完成对上、中、下鼻甲的处理和粘膜瓣的制作;双鼻孔打通后,也可以一手持内镜和吸引器,一手持磨钻,完成对蝶窦前壁和上壁、翼突、斜坡等骨质的磨除,不需要助手持镜,减少了双人操作带来的不协调。
鼻腔狭窄的解剖通道像一条曲折的隧道,器械在其中交错碰撞——操作空间受限,技术发挥处处掣肘。而一旦突破至蝶窦,仿佛豁然开朗,双手终于获得施展的舞台。
▼图示:(A) Binostril 和 (B) 使用有角度器械的单鼻孔入路。旋转轴与吸力角度相结合,导致手指的小动作在曝光深度上被放大,并允许 360 度范围。当用拇指和中指和无名指控制时,吸力还可以沿前后方向移动。

很多时候需要指定的助手扶镜,才能获得良好的视野显露,保证手术的顺利进行。助手需要完全领会主刀的意图,手持稳定性要好,同时愿意为主刀扶镜做出一部分牺牲。助手和主刀之间往往需要相互配合较长的时间,才能磨合比较好。

图示为筷子技术,A图表示筷子夹在拇指和手指之间。B图表示内窥镜和抽吸(或其他器械)可以类似地保持在外科医生的非主导手中。旋转轴与抽吸尖端的远端角度结合可以将小手指运动转换成暴露深度中的360度范围。
而筷子技术就是一个比较好的解决方法!
点击阅读:高难度脑瘤手术的法宝竟是一双「筷子」?看福教授如何用它带来生机!
- 工具升级:不开颅,用“高清潜望镜”(内镜)钻鼻孔,抄近路直捣肿瘤老巢。
- 精准爆破:躲开血管“地雷”(颈内动脉)、绕开神经“电线”(颅神经),肿瘤精准锁定,脑组织无踩踏!
- 术后重建:福教授重建技术用鼻中隔“补丁”+脂肪“水泥”封堵漏洞,脑脊液想漏?没门!
最终,大获全胜!
- 文章标题:不开颅也能切岩尖脑瘤?福教授“筷子技术”直捣肿瘤老巢!
- 更新时间:2025-07-21 17:56:10
400-029-0925




