声音嘶哑、饮水呛咳,可能是脑瘤信号
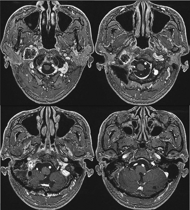
一名正值壮年的32岁男性,因持续声音嘶哑、饮水呛咳就诊。喉镜和吞咽造影检查证实了这些异常症状,但更令人震惊的是,核磁共振检查在其右侧咽旁间隙发现了一个3.7厘米的巨大肿瘤!这个位置特殊的肿块不仅内部出现囊性变,还直接压迫颈内静脉,并向颅底的颈静脉孔延伸。

术前MRI
这个被初步诊断为后组颅神经鞘瘤的肿瘤,鉴于肿瘤的囊性成分和大小,手术切除比立体定向放射外科治疗更为合理。肿瘤主要位于颈内动脉(ICA)和颈内静脉之间,位于C1前弓前方,椎前肌外侧;因此,选择前外侧入路(ALA)作为手术方式,术中进行神经电生理监测。
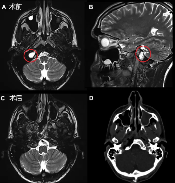
手术需注意避免对肿瘤邻近的后组颅神经和颈内动脉造成解剖损伤。肿瘤完全切除后,颈内静脉的血流得以恢复。术后颅神经功能保留,仅出现轻微功能障碍,随后完全恢复。患者术后未出现新的神经功能缺损,术后磁共振成像证实肿瘤已完全切除。

术后MRI
该案例来自于INC国际神经外科医生集团的世界神经外科顾问团(WANG)成员、曾任世界神经外科联合会(WFNS)颅底手术委员会主席的Sebastien Froelich教授(塞巴斯蒂安·福洛里希,“福教授”)的相关研究。对于这一复杂位置,选择何种手术入路,以达到安全前提下尽可能切除肿瘤至关重要。
Q:后组颅神经有多复杂?
后组颅神经(舌咽神经、迷走神经和副神经)解剖结构复杂,在胚胎起源、走行特点和临床诊疗方面均具有显著的特殊性。这三对神经均起自延髓脑桥沟,其中舌咽神经源自第3咽弓,迷走神经来自第4和第6咽弓,副神经则由脑部(延续自迷走神经)和脊髓部(C5-6节段)共同组成。它们在延髓后外侧以多根细小的纤维束发出,经橄榄后沟走行,共同形成紧密交织的神经复合体,包裹于同一鞘膜内穿过颈静脉孔前内侧的神经部。在此复合体中,舌咽神经位置最靠前内侧且紧邻颈内动脉,具有独立的神经束膜包裹,而迷走神经和副神经则位于其后外侧。
这种精细的解剖结构使得后组颅神经在影像学上难以清晰辨识,成为诊断的难点。同时,由于该区域位置深在、毗邻重要血管神经、操作空间狭小,手术中极易造成损伤,是神经外科最具挑战性的区域之一。其复杂的解剖特点和重要的生理功能,使得后组颅神经的临床研究和诊疗工作始终是医学界的重点和难点领域。
后组颅神经损伤十大功能障碍
1.吞咽困难:后组颅神经损伤可能导致吞咽神经受损,造成延髓麻痹,导致吞咽困难。
2.声音嘶哑:迷走神经损伤可能导致声带麻痹,从而引起声音嘶哑。
3.饮水呛咳:吞咽困难时,饮水可能会引起呛咳。
4.咽部感觉及咽反射消失或减退:舌咽神经和迷走神经损伤可能导致咽部感觉和咽反射减弱或消失。
5.软腭运动障碍:迷走神经损伤可能导致软腭运动障碍,导致食物反流和说话带鼻音。
6.食道痉挛:迷走神经损伤可能导致食道痉挛。
7.心律失常:迷走神经损伤可能影响心脏功能,导致心律失常。
8.患侧面瘫:后组颅神经损伤可能导致面部肌肉无力,表现为面瘫。
9.垂肩:副神经损伤可能导致肩部肌肉无力,表现为垂肩。
10.舌肌萎缩和舌偏:舌下神经损伤可能导致舌肌萎缩和舌偏。
Q:起源于颈静脉孔的肿瘤手术入路?
起源于颈静脉孔(JF)的良性肿瘤常累及后组颅神经,沿着其颅外路径延伸至咽旁间些肿瘤的特征可能有所不同,但其临床表现症状相似,主要影响听力和吞咽功能。对于具有颅外扩展的良性JF肿瘤,全切除是治愈的关键,但需要充分暴露肿瘤,同时存在导致第VII至XII对颅神经瘫痪的风险。

因此,术前规划和选择合适的手术入路至关重要,以确保安全地进入JF解剖结构的复杂神经血管区域。目前可考虑多种内镜、传统侧方和颈部颅底入路,但需注意以下局限性:
1、内镜经鼻入路可直接到达中线的斜坡,但对于向侧方扩展的病变则不适用;传统侧方颅底入路可以到达C1侧块和齿状突,但对于累及咽旁间隙的病变则受限;
2、颈部入路对咽旁间隙的暴露最为理想,但可能会导致听力丧失、面部麻木和面瘫等手术相关并发症。
3、前外侧入路(ALA)最早于1995年被描述,可充分且优雅地暴露JF的颅内和颅外段,从下斜坡至齿状突以外的咽旁间隙。该入路相对直接,只要熟悉显微外科解剖结构,即可避免与入路相关的病残风险。
Q:为何这个肿瘤可以经鼻内镜切除?
从舌头发麻到失去味觉、说话含糊,Lucas 被确诊为软骨肉瘤。这是一种罕见的软骨恶性肿瘤,10年生存率为 50% 。治疗理念是尽可能切除多的肿瘤,同时减少并发症的发生,保持功能。
肿瘤位于颈静脉孔区,手术难度再次升级。术后很容易发生严重的并发症,致残或致死,然而,专业的颅底神经外科医生很少,Lucas 多次被告知切除困难,直至他找到了福教授。
一双“筷子”,重量大却需要用“非惯用手”单手操作,如同一个右撇子必须用左手夹黄豆,极其考验医生的“巧劲”和技术。但它却被福教授运用得炉火纯青,最终成功全切 Lucas 的肿瘤,颈静脉孔保留通畅,并通过对鼻甲粘膜的闭合有效避免了内镜手术后可能出现的脑脊液漏等并发症,极大程度上提高了 Lucas 的预后质量。

在这台手术中,“筷子技术”有助于有效地暴露、探查神经和斜坡旁的颈内动脉,并通过有限且定制的手术入路向下到达颈静脉孔区。
INC国际“双镜联合”手术大咖
全球40多个国家、50多家医学院课程主任和讲师,作为世界神经外联合会(WFNS)颅底手术委员会前主席,福教授长期以主讲人身份在国际IRCAD培训中心颅底进行课程培训,尤其在微创手术领域的培训教育方面享有盛誉。
近几年,福教授更是来到中国广泛开展颅底解剖学、神经内镜在颅底手术中的应用进展、颅颈交界区肿瘤的手术方法等重要讲座,与医学学者共同研究学习。多年来,福教授专注于颅底手术领域,擅长显微镜下开颅入路,同时也可以做内镜下经鼻入路;还将显微镜+内镜“双镜联合”很好地运用到这个复杂而神秘的区域。对于每一个特定的肿瘤都有一个特别的手术入路能达到它——“一切为了病人而战!”

- 文章标题:以为是咽喉炎,结果吓出冷汗:3.7cm巨大脑瘤惊现颈静脉孔区
- 更新时间:2025-07-14 11:22:44
400-029-0925




