深藏在岩尖的罕见囊肿,让Emma饱受耳聋、面痛之苦。面对复杂位置与极高风险,INC国际颅底手术大咖福教授为她精密设计了经鼻微创手术。最终,囊肿绝大部分被安全清除,重要结构完好无损,在绝望之处为她点亮了希望之光。
福教授疑难颅底位置案例 —— 耳聋面痛竟是罕见病:岩尖区肿瘤
病情阶段
47岁的Emma在某天突然发现自己听不清声音,更让她觉得奇怪的是,右脸也开始时不时传来痛感,症状一直没有缓解,意识到不对劲的Emma迅速前往医院。
起初,医生怀疑是常见的面部神经痛(三叉神经痛),但经过详细检查,发现真正的原因是在Emma耳朵深处靠近大脑的位置——岩尖长了一个特殊的囊肿,叫做“胆固醇肉芽肿”。

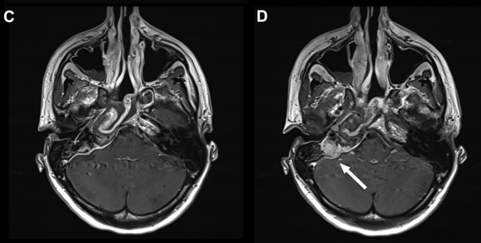
增强 MRI 显示病灶在岩尖、耳蜗和内听道侧面和后部出现均匀强化病灶, T2 低信号和 T1 高信号,病灶导致右侧内听道 ICA 和海绵窦向前移位。
什么是胆固醇肉芽肿?
这是一种比较少见、由炎症引起的囊肿。它的特点是里面含有胆固醇结晶。虽然它在岩尖这个位置算是相对常见的囊肿,但通常没症状。
不过,如果它长大或引起问题,就可能像Emma一样,导致听力下降、头晕、耳鸣、头痛或面部不适。

寻求专家帮助
怀着希望,Emma找到INC国际神经外科医生集团旗下世界神经外科顾问团(WANG)成员、世界神经外科联合会(WFNS)颅底手术委员会前主席Sebastien Froelich教授(塞巴斯蒂安·福洛里希教授,福教授)。

量身定制的手术方案
福教授仔细研究了Emma的病情,为她制定了专属的手术方案:
手术入路:
选择从左侧鼻孔内部进入(对侧单鼻孔入路),这样能更安全地到达位于右侧岩尖的目标囊肿。
手术操作:
手术中,左侧鼻中隔皮瓣切开并进行蝶窦切开术,以到达岩尖区域。
手术结果:
- 手术成功地切除了囊肿的绝大部分(次全切除,指切除了绝大部分肿瘤,通常指90%以上)。
- 术后扫描显示鼻中隔瓣修复良好。
- 影像也显示,在岩尖区域难以到达的一个小角落,还残留了一小部分囊肿。这是为了最大程度保护周围极其重要的神经和血管结构而做的谨慎选择。

(请注意:不同研究对切除程度的定义可能略有差异。具体个人的切除程度和范围需与医生仔细沟通后确认。)
岩尖病变有什么症状?常见哪些肿瘤?
岩尖位于内耳前内侧,是颞骨岩段的内侧突出,作为颞骨的一部分位于颅底,呈金字塔形,可变充气结构,在舌骨上颈和颅内隔室之间形成了一个独特的交叉点。岩尖前表面形成中颅窝的后部,后表面形成后颅窝的前部。下表面形成了颅底的一部分。

鉴于其位置,岩尖易受多种病理过程的影响,包括骨、气化空气细胞或岩颈内动脉的内在病变;侵入性“下行”颅内过程;或侵入性“上行”浸润鼻咽或鼻窦病变。

因此,这些病变的临床表现可能变化很大,在很大程度上取决于许多紧密相邻的颅内外结构的受累情况,尤其是颅神经。鉴于这种可变性,仅凭临床发现无法准确诊断岩尖病变。幸运的是,许多这些病变具有特征性的MRI和CT表现,通常可以进行精确诊断。

岩尖气化模式
岩尖部的破坏性病变中胆固醇肉芽肿较常见(60%),其次为胆脂瘤(9%)。推测与气房阻塞及真空或负压吸引效应所致的反复出血,炎症反应,骨质膨胀吸收有关。常见于青年,有慢性中耳炎病史,临床表现为占位效应或压迫症状,听力下降,耳鸣,眩晕,头痛,面肌痉挛,复视等。
岩尖胆固醇肉芽肿该怎么治疗?
岩尖胆固醇肉芽肿的较佳治疗方式为手术。
传统手术方式为开放式,分为经颞骨入路和经颅入路,但根据患者听力和前庭功能情况以及囊肿大小和部位,具体分为经乳突迷路下入路、外耳道耳蜗入路、经迷路耳蜗入路、经颅中窝入路、乙状窦后入 路以及扩大颞下入路等。
由于胆固醇肉芽肿不 像胆脂瘤,其囊壁不含角质化鳞状上皮,因此无需清除其囊壁,只需清除囊内容物并制造一永久的引流口,这为鼻内镜手术治疗岩尖胆固醇肉芽肿提供了便利。
术式的选择根据病变的位置 、侵犯周围组织的范围、听力情况以及颈静脉球的位置来决定 。
经鼻内镜入路的手术方式有一下几点优势:
1)该入路大大减少了损伤面神经 、前庭一耳蜗功能的风险。
2)将内镜的可视化加人到传统显微外科中, 能够更好地暴露病变区,去除单独使用显微镜很难识别的阻隔口。
3)相比于经乳突和经颅人路 ,经鼻内镜下手术人路大大减少了手术创伤 ,达到 了微创的目的,减少了手术时间 ,患者术后恢复较快 ,减少了住院天数。
然而,鼻内镜下经蝶窦人路需要暴露颈内动脉及海绵窦 ,必要时还需显露视神经 ,因此还是存在一 定的手术风险 。
- 文章标题:罕见岩尖病变竟致她耳聋面瘫,看INC福教授如何破解疑难颅底位置肿瘤
- 更新时间:2025-06-19 11:16:48
400-029-0925




