3厘米皮肤切口,并钻一个1厘米的骨孔,竟然就能精准吸出脑子里的病变。

一名55岁男性患者出现了脑积水的相应症状,行走障碍以及记忆力减退等。磁共振成像(MRI)检查发现其第三脑室存在胶样囊肿,并且已出现脑室扩张表现。世界神经外科学会联合会(WFNS)内镜委员会前主席Henry W. S. Schroeder教授对第三脑室胶样囊肿进行内镜下切除,全切后3年无复发。

一个小小脑洞竟然可以解决脑部大问题。其实,我们每个人生来就自带“脑洞”——刚出生时头顶的前囟门和后囟门。随着成长,这两个开口会自然闭合。但别以为这样就“密不透风”了,我们的颅骨其实布满了精心设计的“通道”。颅骨底部最大的开口是枕骨大孔,这里是大脑与脊髓的连接处。此外还有颈静脉孔、圆孔、卵圆孔等多个通道,为神经和血管提供了必经之路。这些“脑洞”都是与生俱来的生命通道。
切除大脑里的病变,也不一定要“脑洞大开”。施罗德教授是如何通过神经内镜吸出这个病变的?
INC国际神经内镜大咖分享,多图详解一步步切除病变

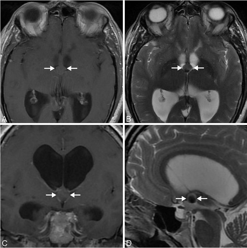
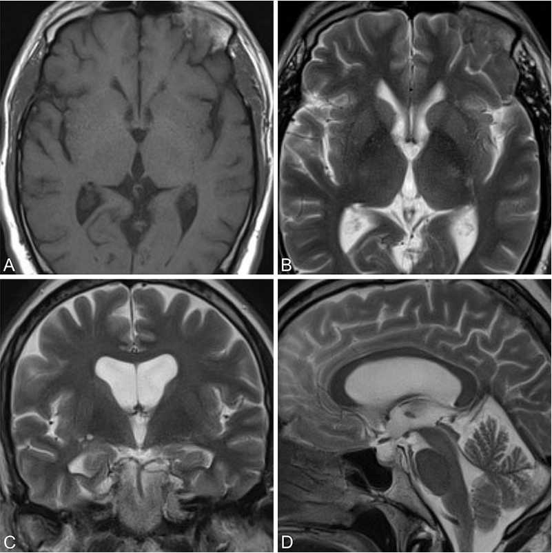
术前磁共振成像显示胶样囊肿,导致双侧脑室积水。
施罗德教授展示了对第三脑室胶样囊肿进行内镜下双手持锐性切除的过程。

手术入路规划
根据磁共振成像(MRI)规划手术入路,手术轨迹绕过尾状核头。

骨瓣位于冠状缝前 4-5 厘米,中线外侧4-5厘米处。出于美容原因,切口在发际线后或在秃顶患者中在前额皱纹处进行。做3厘米皮肤切口,并钻一个1厘米的骨孔。

在导航引导下将带有鞘管的 LOTTA 脑室镜(Karl Storz SE & Co. KG)连同穿刺针一并引入侧脑室额角。
LOTTA脑室镜的诞生,源自施罗德教授的卓越智慧。作为国际神经内镜领域的大咖,施罗德教授凭借数十年的临床经验与创新精神,发明了这款兼具高精度与微创性的脑室镜系统。有趣的是,“LOTTA”这个名称正是取自Schroeder教授爱女的名字,让这项尖端技术更添温情。点击阅读:不开颅,怎么“钻”进大脑取瘤?LOTTA脑室镜发明者破解脑室手术难题!

施罗德教授按照导航图像所示规划轨迹。

当我们穿刺侧脑室时,我们的轨迹比到囊肿位置的真实轨迹更靠内侧和上方。在到达脑室后,用内镜鞘轻轻将尾状核头向下和外侧推动,以获得到囊肿的理想轨迹。通过这种方式,我们可以在不损伤尾状核的情况下,获得到囊肿的最外侧轨迹。
施罗德教授多幅精美插图展示了胶样囊肿切除的手术步骤:
A:检查室间孔,可见胼胝体(F)、脉络丛(CP)、透明隔静脉(SV)和丘纹静脉(T)。室间孔被胶样囊肿(C)阻塞。

B:用双极电凝脉络丛。

C:用剪刀切开囊肿包膜。

D:用吸引管吸出囊肿内容物,像一颗剥壳荔枝。(右侧为真实术中场景)。

E:将囊肿移入侧脑室。

F:采用双手手术技术暴露囊肿蒂。通过左侧通道插入一把可弯曲的抓钳。主要手术器械通过 2.9 毫米的直工作通道引入。

G:用双极电凝器采用双手手术技术凝固囊肿蒂。

H:用剪刀采用双手手术技术切断囊肿蒂。

I:囊肿切除后检查室间孔。

术后3年获取的 T1 加权(A 为轴位)和 T2 加权(B 为轴位;C 为冠状位;D 为矢状位)磁共振图像显示无囊肿复发。

30年突破施罗德教授的关键技术分享
第三脑室胶样囊肿是成人原发性颅内良性肿瘤,但因其发病部位特殊,常可引起梗阻性脑积水,部分严重者可能导致突然死亡。目前该病治疗主要以手术为主,手术治疗分为显微镜下开颅手术和神经内镜手术。
神经内镜下胶样囊肿切除术在过去30年中取得了显著的技术进步,将一种原本仅用于囊肿抽吸的手术转变为一种具有高全切除率(GTR)且无重大并发症的手术。以下是该技术的关键方面。
01. 前侧方穿刺通道
在认可微创理念的基础上,大多数学者认为胶样囊肿应通过单个颅骨钻孔进行切除。理想的入路点应尽量减少对解剖结构的损伤,并且有较高的机会实现囊肿的完全切除。基于这一前提,颅骨钻孔的精确位置经历了两个方向的演变:从前冠状缝向更前方和从正中向更外侧。早期报告甚至一些较新的报告中,颅骨钻孔的位置仅位于前冠状缝且仅在中线旁开2-5厘米,这反映了传统的Kocher点。然而,这种入路存在若干缺点:孟氏孔(Monro孔)被切线方向进入,且囊肿生长导致的第三脑室顶部的凸起更难以接近;穹窿从上方接近,因此内镜无法在不损伤穹窿的情况下到达囊肿附着处。
在施罗德教授看来,理想的入路点应在不损伤尾状核头部的前提下尽可能地向外侧。为此,神经导航引导是颅骨钻孔放置和进入侧脑室的必要条件。应尽一切努力实现全切除。
02. 锐性分离与双手技术
传统上,内镜技术与显微外科技术的主要限制在于内镜方法无法进行双手(双手)分离。使用单手技术时,神经外科医生只能进行牵拉、凝固或切割。通常,单纯的牵拉会导致大出血,视野被遮挡,需要长时间冲洗。因此,应避免单纯的牵拉。问题是,当不施加牵引力时,囊肿会掉入孟氏孔,因此无法接近蒂部。通过多通道内镜,可以实现双手切除技术,并已被多个团队描述。
03. 胶样囊肿内镜手术的选择标准
并非所有患有胶样囊肿的患者都适合内镜手术。施罗德教授认为,手术方法应根据患者的解剖条件进行个体化调整。例如,一般来说,小的孟氏孔和小脑室可能是内镜手术的限制因素。这种情况下,将使用传统显微外科技术。
胶样囊肿神经内镜手术治疗总结
近年来,通过神经内镜手术切除胶样囊肿的全切除率稳步提高。只要脑室和孟氏孔的大小合适,我们所描述的双手锐性分离技术可以通过脑室镜的工作通道安全地实现胶样囊肿的全切除。
- 文章标题:1厘米小孔,解决脑部大问题!多图详解神经内镜下如何实现脑室病变全切
- 更新时间:2025-07-10 11:31:41
400-029-0925




