谁说切脑瘤非得“脑洞大开”?
从眉弓小小切口进入大脑,显微镜精准开道,神经内镜随后登场,便能直捣传统手术的”视觉盲区“,让深藏颅底的残余肿瘤无所遁形!一例颅底脑膜瘤通过眉弓入路联合内镜技术,在完整保留视神经功能的同时实现肿瘤全切,术后39个月无复发。

该案例由INC国际神经内镜大咖、世界神经外科学会联合会(WFNS)内镜委员会前主席Henry W.S. Schroeder教授(施罗德教授)2011年发表于《Neurosurg Rev》。

颅底脑膜瘤因其与重要神经血管结构紧密毗邻且手术入路困难,向来是神经外科的“硬骨头”。肿瘤常沿颅底广泛蔓延,易侵犯关键血管与神经;其部分病灶常被颅底骨性突起及神经血管结构遮挡,显微镜直线视野难以充分暴露,往往需大范围磨除颅底骨质并牵拉脑组织及神经血管。而内镜的加入,犹如为外科医生装上“拐弯的透视眼”,无需野蛮开路,就能照亮手术死角,有助实现肿瘤的安全全切!
施罗德教授早年在研究中就发现在经颅入路切除颅底脑膜瘤过程中,内镜辅助技术能四两拨千斤,让显微镜如虎添翼,实现“微创”与“根治”的黄金平衡!
内镜辅助技术在颅底脑膜瘤显微切除中具有显著价值:
- 通过小骨窗即可探查显微镜无法直视的死角,提高切除率;
- 在常规骨窗及颅底入路中,利用不同角度的内镜可绕过骨性、硬膜及神经血管结构,减少颅底磨除和脑组织牵拉,从而降低手术创伤。
简单来说就是若发现显微镜未能显示的肿瘤残余,可引入内镜,在内镜直视下进一步切除肿瘤。
经眉弓入路,双镜联合全切肿瘤,术后39个月未复发
当经眉弓入路处理前颅底肿瘤时,内镜不仅极具价值,甚至有时是获得全切除(GTR)的必要手段。鞍结节(TS)脑膜瘤,起源于鞍结节的硬膜,尤其是视神经管和视交叉沟外部的交界处(最常见的起源部位)。视觉障碍是常见的临床表现,高达80%,因为鞍结节和视交叉之间有着密切的解剖关系。鞍结节脑膜瘤起源于视交叉下方,肿瘤长大后会往上、往外侧推移视神经,并且经常有高达67%的肿瘤侵犯视神经管,导致视力下降和视野缺损。
55岁女性,因视野缺损及视力丧失查出鞍结节脑膜瘤,如何在保全功能的前提下实现肿瘤全切?
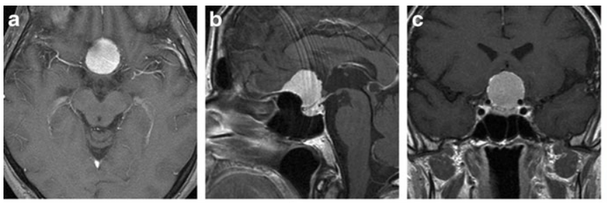
a–c 术前增强T1加权MRI,均显示鞍结节脑膜瘤

手术具体操作:


d 显微镜下经眉弓入路所见:可见左侧(LO)及右侧(RO)视神经;因眶顶(OR)遮挡,未能显露鞍膈。

e 30°内镜下探查:可见左侧颈内动脉(c)、左视神经(LO)、右视神经(RO)、垂体柄(PS)及显微镜无法窥及的肿瘤残余(T)。

f 内镜辅助双手操作(bimanual)肿瘤切除。

g 于右视神经(RO)内侧继续切除肿瘤。

h 内镜下全切后所见:左视神经(LO)、右视神经(RO)及垂体柄(PS)均保持完整。

j 术后4个月外观照:美容效果满意。

k 术后CT:示骨窗范围(箭头所示)

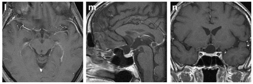
l–n 术后39个月增强T1加权MRI,均未见肿瘤残留或复发

颅底手术的”黄金搭档“双镜合璧,智取脑瘤!
内镜辅助显微外科切除颅底脑膜瘤,将手术显微镜的优势与内镜的优势有机整合。
手术显微镜可提供卓越的三维立体视野,对于沿直线视野即可显露的肿瘤部分,显微镜凭借其高分辨率、卓越的色彩保真度及立体视觉,仍是理想的可视化工具。而当需要“绕过拐角”操作时,则引入内镜,以减少脑组织牵拉和颅底磨除的范围。
"显微镜:前方高能,光线不足!内镜:暗角杀手!"
在深邃狭窄的手术通道中,显微镜的光线往往“力不从心”--入射光在入口处就开始衰减,进入大脑深处,术野亮度大打折扣。更棘手的是,显微镜只能“直来直往”,任何被遮挡的结构都成了“视觉盲区”。而内镜却像装了“广角镜头”的探险家,在逼仄的颅底空间里360°无死角侦察,连偏离镜头的病灶都能一览无余,让隐藏的肿瘤无所遁形!
利用不同视角(0°、30°、45°、70°)的内镜,术者能够“拐弯”观察或探查位于神经血管结构后方的区域,这一优势在颅底手术中尤为突出。内镜可将“视线”直接贴近肿瘤,实现深部术野的均匀、充足照明;同时,内镜具有极佳的景深,高倍放大时亦极少需要反复调焦,显著优于显微镜。
当然,内镜也存在局限。最大缺点为缺乏真正的三维深度感知。但由于“鱼眼效应”造成的图像畸变,加之运动视差(近物移动幅度大于远物)带来的伪立体提示,医生经过通过训练才能在一定程度上弥补立体视觉的缺失。
综上所述,该显微镜+神经内镜“双镜联合”使得即便存在显微镜直线盲区,颅底脑膜瘤仍可被安全切除。在显微手术过程中应用内镜,可缩小骨窗、改善深部照明与可视化,并允许术者绕过骨性突起及重要神经血管结构进行观察,从而避免或显著减少对颅底骨质的磨除以及对脑组织的牵拉。在神经外科手术中,将两者优势相结合,方为合理之选。
INC国际内镜大咖

- 文章标题:眉弓处开个“小切口”,神经内镜让脑瘤无处可逃!
- 更新时间:2025-08-18 17:14:39
400-029-0925




