摘要:斜坡的常见瘤种、临床表现及手术入路等的选择手术难度
岩斜区位于颞骨岩部背面与枕骨斜坡部的岩斜裂汇合处,从岩骨尖至颈静脉孔。内侧至斜坡中线,外侧至Ⅴ、Ⅶ和Ⅷ脑神经,上缘为鞍背,下缘为颈静脉孔水平;下方为枕骨大孔区。岩斜区肿瘤位置深,毗邻重要解剖结构,肿瘤全切除难度较大,且有较高的术后致残率,较高的术后复发率,一直是神经外科手术的治疗难点。近年,显微外科技术的提高和各种颅底入路的尝试和改进,好转了手术的治疗效果。本文主要介绍斜坡肿瘤的常见病理类型,及临床表现及手术入路等的选择手术难度,并附INC德国巴特朗菲教授斜坡脑瘤手术病例一例。

图1:斜坡周边复杂的骨质、神经、血管解剖关系,图来自D.Fisher
一、常见病理类型:
1.脑膜瘤:约1%颅内脑膜瘤起源于岩斜区,是岩斜区常见病变。它向上可侵犯岩骨尖、小脑幕、Meckel腔、鞍旁和海绵窦;向下侵犯内听道和颈静脉孔;向内侧达脑干和椎基底动脉。当肿瘤很大时,可包绕同侧Ⅲ~Ⅺ脑神经。患者临床可表现头痛、复杂的脑神经麻痹、共济失调等症状,严重者表现为偏瘫、认知功能障碍。岩斜区脑膜瘤多数表现良性过程,目前,仍以手术切除为优选治疗方式。

2.脊索瘤:斜坡是脊索瘤二好发部位,约占35%。脊索瘤起源于胚胎残留的脊索组织,从rathkes憩室扩展至斜坡,继续向下累及尾部的椎体。典型的斜坡脊索瘤的特点为居中线区的肿块,内见部分钙化,损害斜坡骨质,并可见软组织肿块突入蝶窦或鼻咽。

3.软骨肉瘤:软骨肉瘤发生部位不一,常与颅缝相关。在斜坡区,其通常发生于岩枕缝。大部分颅面部的软骨肉瘤是低级别的,其少见、生长缓慢、局部侵犯。

4.垂体腺瘤:侵袭性垂体腺瘤生长迅速可侵袭和损害骨质

5.转移瘤:斜坡转移瘤少见,骨质损害通常与转移瘤组织代替正常脂肪信号骨髓组织所致。

6.腺样囊性癌:腺样囊性癌占涎腺肿瘤总数不到10%,但占恶性大小涎腺肿瘤的40%左右。该肿瘤的特点有生长缓慢、容易复发、较长的临床病程、晚期转移。

7.淋巴瘤:累及斜坡的淋巴瘤可以引起或不引起骨质损害,MR较CT能更好的评价淋巴瘤。当出现淋巴瘤累及斜坡但无离散骨质损害时,在T1WI上表现为斜坡脂肪信号样骨髓组织被淋巴瘤组织取代。淋巴瘤可累及海绵窦,但通常无颈动脉管腔狭窄,而脑膜瘤通常引起颈动脉管腔狭窄。累及颅底部的头颈部淋巴瘤通常是沿神经周围累及的,肿瘤可累及神经或神经鞘,沿神经走行穿过相应颅底部神经孔。偶尔长条状脑膜尾征可见。

8.鼻咽癌:鼻咽癌是发生于鼻咽粘膜上皮细胞的鳞状细胞癌,好发于中国华南地区,咽隐窝是鼻咽癌常见的发病部位。

二、临床表现
在神经外科中,长在斜坡或可以侵犯斜坡的肿瘤包括脑膜瘤、脊索瘤、软骨肉瘤、垂体瘤,转移瘤和淋巴瘤少见,其常见临床症状包括如下:
1.颅内压增高,头痛常见,常以颈部和枕部疼痛为主,其他包括视盘水肿等
2.多组脑神经损害:较易受累动眼神经、三叉神经、面听神经及展神经,听力下降,面瘫,吞咽困难,前庭功能障碍
3.小脑受损症状:步态不稳、眩晕等
4.椎动脉、基底动脉受损:头晕、耳鸣等
5.不同综合征:个别可以表现为海绵窦综合征及岩尖综合征(眼球后疼痛、展神经麻痹等)
6.其他肿瘤相关特异性神经系统定位体征
三、斜坡解剖复杂及手术难度何在?
因涉及脑干、颅神经、椎基动脉和脑底动脉环、脑室通路以及鞍区、松果体区、岩骨-斜坡区、枕大孔区、桥脑小脑角区、颈静脉孔区等脑的重要结构或功能区,关系到病人的生命、神经、内分泌调节和传导等重要神经功能,任何一处的手术损伤,都可能引起的神经功能障碍。并且,此类病变多处于脑或烦底深部,手术显露困难,因而既要切除肿瘤,又要较大限度地避免损伤脑干、颅神经、重要血管等临近的脑重要结构,

图:斜坡复杂的解剖关系,图来自Z.Roy.
斜坡手术难度大,具体表现如下:
1、脑干前上方主要涉及有三脑室、下丘脑、垂体、脑底动脉环等重要组织结构,这部分肿瘤一般都是瘤体较大时从前方向后推挤中脑,脑干症状多不明显,肿瘤较易与脑干分离。
2、脑干后上方主要涉及有松果体区、小脑幕、大脑大静脉等组织结构,肿瘤一般易于压迫中脑导水管引起脑积水、上视困难等症状,根据肿瘤性质等不同采用的治疗方式也不同。
3、脑干前方主要涉及有岩骨斜坡、基底动脉、颅神经等组织结构,术前症状多较轻、病程较长,但肿瘤位置深在,手术较难。
4、脑干侧方主要涉及有桥脑小脑角区、颈静脉孔区等组织结构,手术显露难度大。
5、脑干后方主要涉及有四脑室、小脑蚓部、小脑脚等组织结构,肿瘤一般易于引起脑积水、颅高压症状等,肿瘤可侵及脑干。
6、脑干下方主要涉及枕大孔、椎动脉等组织结构,肿瘤易于引起呼吸困难、脑积水、颅高压症状等,因影响延髓,手术要求细致。
四、主要的手术并发症如下:
1.颅神经损伤,面瘫、听力障碍、复视、眼睑闭合不能等
2.脑干损伤:肢体瘫痪、呼吸功能障碍等
3.小脑损伤
4.术后出血、脑脊液漏
5.术后感染等
岩斜区脑膜瘤手术技术关键,需要熟悉岩斜区解剖关系并有丰富的显微操作经验。在术前放置腰穿引流,或术中甘露醇应用可明显降低脑组织压力,减少牵拉造成的副损伤。提前对脑膜瘤基底的处理可合适避免肿瘤持续出血造成的蛛网膜界面消失。肿瘤的生长将神经、血管拉伸或包绕,是复发的肿瘤,会损害蛛网膜界面,侵犯脑干软脑膜。手术时应仔细分辨和保护。肿瘤囊壁与神经、血管外膜和脑干粘连,不应勉强分离,以保护下方结构。
德国Helmut Bertalanffy(巴特朗菲)教授较大斜坡脑膜瘤全切一例
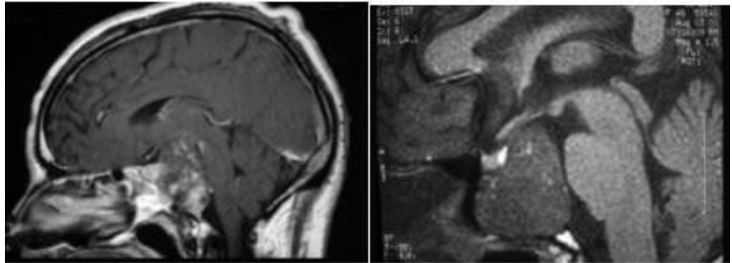
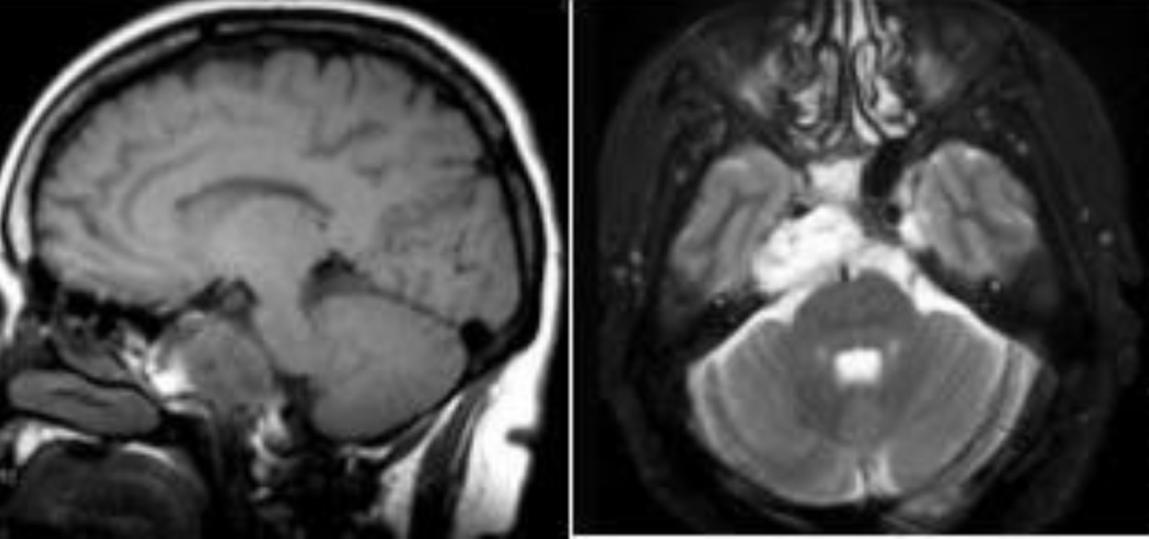
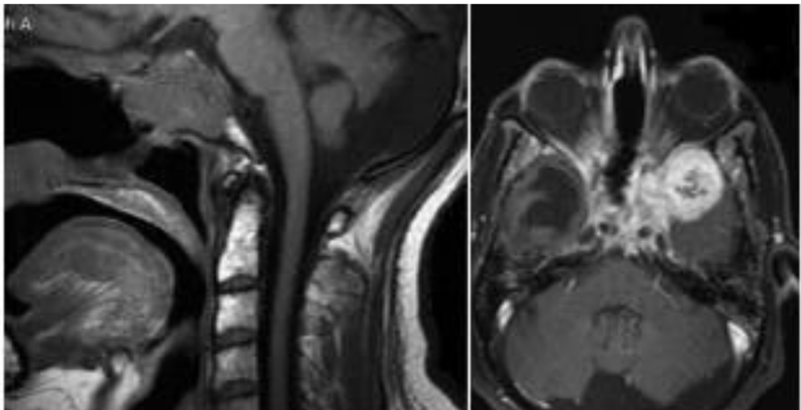
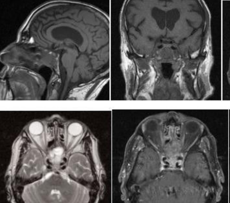
患者40+岁,女性,患者临床症状明显,近1年多来相继头痛、复视、肢体无力、吞咽困难等,当地医院诊断为较大斜坡脑膜瘤,辗转多地医院均告知肿瘤无法全切,术后并发症风险发生率高,后慕名咨询德国国际神经科学中心INI寻求巴特朗菲手术治疗,肿瘤切除97%以上,无相关手术并发症。

术前MR示:斜坡较大脑膜瘤,压迫脑干、颅神经,侵犯基底动脉等

术后MR显示:肿瘤近全切除,术后未见脑血肿、脑水肿,神经血管、脑干等组织保护完好。

参考资料来源:
1.http://www.yxppt.com/archives/260808
2.梁超.岩斜区脑膜瘤的治疗现状与进展
- 文章标题:斜坡常见的8种肿瘤及手术难度何在?
- 更新时间:2020-07-20 15:08:48
400-029-0925


