你知道吗?约3%的人群携带颅内动脉瘤,这颗"不定时炸弹"一旦破裂,致死致残率高,其中10%~15%的患者来不及就医直接猝死。
国际脑血管专家——INC美国Lawton教授曾在《Experimental Neurology》的一篇综述中指出:动脉瘤钙化可能是决定其稳定性的关键因素。它既是加固血管的"生物盔甲",也可能成为手术中的"隐形地雷"。


颅内动脉瘤钙化与破裂风险
颅内动脉瘤钙化是一个众所周知的现象。无论使用显微外科手术还是血管内技术,钙化都可能增加治疗的难度。
颅内动脉瘤钙化的原因
钙化的形成离不开两大“帮凶”,炎症细胞与平滑肌细胞。
炎症细胞:长期炎症会刺激血管壁,引发钙盐沉积;
平滑肌细胞“叛变”:本应维持血管弹性的细胞,在炎症刺激下变身“成骨细胞”,开始分泌钙质!
如何检测到钙化情况:
显微 CT:78%手术样本检出隐藏钙化(分辨率达0.1mm³)。
光学相干断层扫描(OCT):实时呈现细胞级钙化灶。
钙化的双重面孔是稳定还是威胁?
研究中对65个颅内动脉瘤样本(混合了破裂和未破裂病变)进行了分析,这些样本在手术夹闭期间获得。研究发现颅内动脉瘤可以有动脉粥样硬化和非动脉粥样硬化性钙化。

过去会认为钙化会让血管更“坚硬”,可能减少破裂风险。根据本次研究中的发现:
· 微小钙化:提示活跃炎症反应,加速血管壁变薄使动脉瘤变得不稳定,可能更容易破裂,特征为CT可见点状高密度影,常伴脂质沉积,儿童患者中破裂动脉瘤微钙化率达87%。
· 大块钙化:生物工程学研究也表明大钙化对颅内动脉瘤具有保护作用。但当动脉瘤约40%钙化时,壁强度实际上增加了。就像钢筋加固墙壁,反而降低了破裂风险。典型表现为蛋壳样钙化、斑块状钙化。
这些发现似乎与临床观察结果相关,即破裂的动脉瘤往往有微钙化,而钙化更致密的动脉瘤破裂频率较低。简单来说,颅内动脉瘤的钙化像血管里的“两面派”:少量钙化是危险的信号,大量钙化反而可能是身体的自我保护!
钙化颅内动脉瘤治疗方式
颅内动脉瘤的大块钙化似乎是一把双刃剑——虽然这种致密钙化可能赋予固有的抗破裂保护作用,但也可能使手术风险倍增:
介入治疗
支架或弹簧圈可能卡在钙化区域,导致手术失败
显微手术
钙化区域像坚硬的“石头”,夹闭动脉瘤时容易撕裂血管
包括汇总荟萃分析在内的临床研究反复发现,具有致密钙化的颅内动脉瘤与显著增加的围手术期并发症和治疗相关发病率相关。
为了避免与钙化血管或动脉瘤壁相关的技术并发症,已经为致密钙化的颅内动脉瘤提出了专门的治疗策略和技术,包括先进的夹闭技术、颅内搭桥考虑和血管内操作。
在主要依靠弹簧圈栓塞动脉瘤的治疗中
瘤颈处的钙化可能改变了进入动脉瘤的几何形状。因此,可能需要调整微导管和微导丝的形状角度。
如果钙化主要在瘤顶,那么动脉瘤可能看起来比实际小。然而,钙化可能提供某种防止微导管或弹簧圈插入导致穿孔的安全感。瘤颈或瘤顶的钙化可能阻止囊内装置适当展开。
如果钙化进展到载瘤动脉中,这在计划使用血流导向装置或支架进行治疗时就变得至关重要。载瘤动脉钙化可能导致狭窄,以至于无法输送装置。
此外,在已经钙化、狭窄的区域输送支架或血流导向装置可能诱发闭塞和卒中,因此可能需要在装置释放前或后进行次最大球囊血管成形术。
当考虑显微外科治疗时:
瘤颈处的钙化可能使简单夹闭变得不可能。可能需要多个夹子以堆叠、交叉或重叠等方式排列。或者,可以借助止血钳来增强动脉瘤夹的闭合强度。但这种操作会增加动脉瘤在瘤颈处撕裂的风险。
此外,夹闭有钙质堆积的瘤颈可能使载瘤动脉发生比预期更严重的狭窄或闭塞。或者夹片可能优先在载瘤动脉上沿着瘤颈滑下。钙化的瘤颈也可能在放置夹子时发生断裂,导致碎片漂浮到载瘤动脉中,从而引起栓塞性缺血性卒中。
基于这些原因,Lawton教授在论文中强烈主张在夹闭钙化动脉瘤时使用术中血流评估,无论是通过多普勒信号、吲哚菁绿荧光造影还是导管血管造影。主刀医生必须预见到这些并发症,并在评估时保持警惕,以便任何问题都能立即纠正。
对于治疗钙化颅内动脉瘤,开颅显微手术夹闭或介入栓塞这两种治疗方式各有利弊。复合手术将两种技术优势互补,对于巨大、宽颈或形态不规则、有穿支动脉发出的复杂动脉瘤,单纯开颅夹闭或介入栓塞均难以达到满意疗效,而通过复合手术可取得满意的疗效。
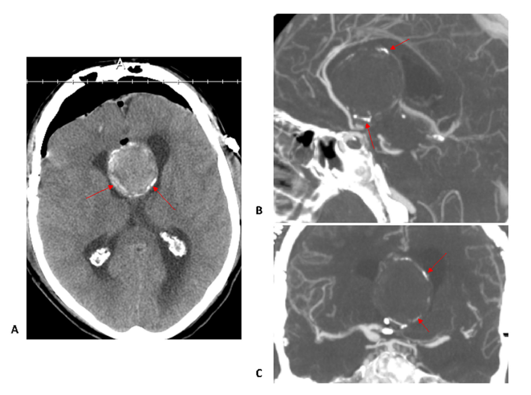
巨大前交通动脉瘤伴瘤颈及同心圆钙化
这是一例经开颅术治疗的伴瘤颈及同心圆钙化的巨大前交通动脉瘤例子(红色箭头)。

影像学表现:
- A) 轴位平扫CT:清晰显示同心圆状钙化结构
- B) 矢状位CTA:瘤颈处明显钙化、瘤周薄层钙化环、A2段血管前移变形征象
- C) 冠状位CTA:典型蛋壳样钙化(瘤壁弧形薄层高密度影)
由于瘤颈及瘤体呈现同心圆状钙化(红色箭头所示),常规动脉瘤夹闭术难以实施。最终采取复合手术方案:
- 1)近端A1段动脉瘤夹闭
- 2)A3-A3侧侧吻合搭桥
- 3)右侧M2-A2桡动脉移植搭桥
本案例诠释了钙化病变对神经外科术式选择的决定性影响,需结合三维影像评估制定个体化方案。
INC 国际脑血管专家Michael T. Lawton教授
INC国际 Michael T. Lawton 教授作为巴罗神经学研究所主席兼首席执行官,深耕于脑动静脉畸形的形成、遗传学特征和破裂的治疗,以及脑部血管瘤的血液动力学、破裂、数字建模等领域。他的临床研究包括血管瘤、动静脉畸形、颅内搭桥的微创治疗方法,以及微创治疗临床数据。

他发表了450多篇神经外科专业文章,撰写3部个人著作(动脉瘤手术治疗著作《七种脑动静脉畸形:切除原理和技巧》、《七种动脉瘤:夹闭术的原理和技巧》、《七种搭桥术:血运重建的原则和技术》),是70多本医学专业书籍的部分章节作者,获得近20项国际医学奖项,是600多个专业讲座及世界40多个神经外科机构的特邀教授。

神经外科经验:
- 脑动静脉畸形:900例
- 脑动脉瘤:4400余例
- 海绵状血管畸形:1000余例
- 文章标题:颅内动脉瘤的"钙化盔甲":是保护屏障还是治疗陷阱?
- 更新时间:2025-07-11 15:38:15
400-029-0925




