10%-15%的出血死亡率。
20%-30%的永久性脑损伤率。
20%-25%的局灶性或全身性癫痫发作率。
36%-68%的患者在初次就诊时就已出血。
2%-4%的年出血率,且出血率逐年升高5倍。
……
一串串惊心动魄的数字,均来自于“颅内炸弹”——脑动静脉畸形(AVM)。
每当血液渗入大脑,正常的脑组织就会受损,导致正常功能丧失,这可能是暂时的,也可能是永久性的。
在脑动静脉畸形患者中,出血、昏迷、脑功能受损、甚至死亡……都有可能随时降临,一旦确诊,患者就将活在这样的恐惧之中。
18岁男孩罕见颞角AVM首次术后突发昏迷
18岁,一个有着青春、成长、鲜活气息的年纪,但是对于大卫来说,从确诊AVM的那一刻起,他的世界就陷入了灰暗。
频繁的头痛日复一日折磨着他,而更令人担心的是,随时发生的出血可能会让这个原本充满活力的孩子陷入未知的危险。
大卫的AVM位置特殊,位于颞角脉络丛。颞角位于侧脑室,与丘脑、尾状核(尾部)、穹窿(伞)和海马相邻,其中,作为人体“感觉中转站”,身体的所有感觉信息都会在丘脑内转车,再投递到大脑皮质。丘脑不仅可以感知世界,还在运动、语言等方面发挥重要作用。因此,术中一旦出血,孩子很有可能会有生命危险。

考虑到孩子年纪尚小,需要尽快排除脑子里的“不定时炸弹”,于是,大卫的父母带他来到医院进行手术。
然而这次手术却未能将颞角AVM完全切除。
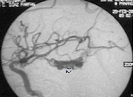
首次手术仅仅三个月后,令大卫一家担忧的事情还是来临了。大卫在学校突然昏迷,紧急送往医院后,检查为左侧颞角的AVM导致脑室内出血(图ab)。Spetzler-Martin分级4级:S1V1E1/A1B0C0,供血来自AChA(脉络膜前动脉)。
*Spetzler-Martin分级:根据AVM大小、是否在功能区、有无深部静脉引流三项得分相加,评分范围为1~5,分别对应Ⅰ~Ⅴ级,分级越高,外科手术难度越大,预后越差。
大卫的分级为4级,手术难度非常大。

图(a)左侧ICA造影,侧位和lPChA

图(b)左侧VA造影,前后位像
多方查询后,大卫一家找到了国际脑动静脉畸形专家——INC美国Michael T.Lawton教授。
INC国际脑血管专家
Michael T.Lawton教授
INC国际神经外科教授Michael T.Lawton教授深耕于脑动静脉畸形的形成、遗传学特征和破裂的治疗,以及脑部血管瘤的血液动力学、破裂、数字建模等领域。他的临床研究包括血管瘤、动静脉畸形、颅内搭桥的微创治疗方法,以及微创治疗临床数据。
Lawton教授在临床上的治疗经验丰富,拥有近千台脑动静脉畸形手术量,同时还有4400余例脑动脉瘤、1000余例海绵状血管畸形患者的成功治疗案例。

*曾出版动脉瘤手术治疗著作《七种脑动静脉畸形:切除原理和技巧》、《七种动脉瘤:夹闭术的原理和技巧》、《七种搭桥术:血运重建的原则和技术》

巴罗神经学研究所主席兼CEO
神经外科主任教授兼主席
血管神经外科主任
美国神经外科医师协会前主席
美国神经外科学会前主席
世界神经外科学会提名主席
动脉瘤和动静脉畸形基金会(TAAF):
William L.Young成就奖
同时,作为美国“大脑血管畸形联盟”(Brain Vascular Malformation Consortium)的主要研究者,他曾在《Nature Reviews Disease Primers》杂志上对动静脉畸形进行详细的论述,在其最近研究中,还具体探讨了Spetzler-Martin I-III级AVM的治疗方法,为后续脑AVM的治疗及预后提供参考。
终于等来二次手术,Lawton教授安全全切
了解到大卫的病史后,Lawton教授为大卫制定了手术方案,最终成功全切颞角AVM。
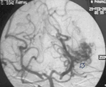
Lawton教授术中操作
▼左侧翼点开颅,再次手术,显露前颞叶

▼沿颞下回经原皮层入路达颞角

▼AChA经脉络裂进入颞角,在前方供应AVM,lPChA在后方供应AVM

▼通过ITG经皮层显露可以充分显露颞角,达到全切AVM

Lawton教授:颞角AVM的切除策略
颞角AVM切除与像颞底AVM类似,颞部开颅(第1步)后,通过颞下回(ITG)经皮质入路。病人取仰卧位,头向侧方偏转90°,降低顶点以获得一朝向颞角的向上的角度。
以耳上为基底的马蹄形切口、颞部开颅。入路在颞下回下部,角度对着脑室,保持在Meyer’s环内的视放射之下。Meyer’s环从上面越过颞角(第2步)。
导航有助于确定该入路。一旦进入颞角,沿其轴纵向打开,以完整看到AVM。直到切除结束才能够看到下ChorV和BVR(第3步)。
在脉络裂近端丛点之后辨认AChA,在脉络裂远端病变之后可见lPChA供血(第4步)。
先阻断AChA供血血管(第5步),但是另外的自脉络丛的供血血管在内侧缘,从近端向远端继续分开脉络裂阻断这些脉络丛供血血管。
需要向前用力,将一部分AVM移向外侧(第6步)。优先通过脉络丛和穹窿伞(伞带)之间的脉络膜,从下方打开脉络裂,避开上面的尾状核尾部和丘脑下部。
最后一步切除的是汇入BVR的引流静脉和残留的来自lPChA的供血血管(第7步)。
第1步:暴露AVM——头皮马蹄形切口,颞部开颅,通过颞下回经皮层入路,术中见AVM来自AChA和lPChA的动脉供血,静脉向内侧引流到BVR,以及邻近优势半球的海马。
第2步:通过ITG经皮质入路进入颞角。
第3步:辨认脉络丛和脑室的引流静(BVR直到后来才能看到)。
第4步:辨认前方脉络裂内的AChA。
第5步:从近端脉络裂阻断AChA的前内面。
第6步:沿脉络裂由近及远分离。
第7步:将AVM移出脉络裂,以切断lPChA供血,辨认环池内的BVR。
INC国际专家团—巴特朗菲教授AVM研究成果
INC国际神经外科医生集团旗下世界神经外科顾问团(WANG)成员、世界神经外科联合会(WFNS)教育与技术委员会前主席巴特朗菲教授作为德国汉诺威国际神经外科研究院血管神经外科主任,擅长大脑半球病变、脑干病变、脑血管疾病、脑内深层区胶质瘤、颅颈交界处的病变等的肿瘤切除术、神经吻合术以及各种椎管内肿瘤等。
同时,巴特朗菲教授收到过来自欧洲、中东、北非以及日本、中国、韩国、新西兰、南非和智利的40个国家的学术邀请,应邀出席了400多场世界各地的学术会议或在神经外科大会作为特邀发言人,对世界神经外科学科做出重大贡献,特别是颅底外科和显微外科血管病变的脑和脊髓治疗。
在其发表于《Clinical Neurology and Neurosurgery》的一篇研究中,为了探索AVM发生和生长的潜在机制,巴教授通过免疫组织化学方法研究了30例AVM内皮的增殖和血管生成能力。
研究表明,在部分闭塞(栓塞)的AVM中,VEGF的较高表达很可能是由介导新血管生成的AVM病灶内的短暂区域缺氧引起的。它指出了完全闭塞的临床相关性,以避免与随后的发病率和死亡率相关的新生血管形成。

此外,巴教授还针对儿童AVM进行研究,在其发表于《Childs Nerv Syst》的研究中发现,如果儿童出现缓慢进展或急性神经根或髓质症状,应通过MRI排除脊髓动静脉畸形。IV型(髓周围AVF)小儿脊髓AVM的血管内和手术联合治疗具有低发病风险且效果较好。

参考资料:
[1]Lawton M ed.Seven AVMs:Tenets and Techniques for Resection.1st Edition.New York:Thieme;2014.
[2]Bertalanffy Helmut et al.Spinal type IV arteriovenous malformations(perimedullary fistulas)in children.Childs Nerv Syst.2000 Aug;16(8):508-15.
[3]Bertalanffy Helmut et al.(2001).Treatment-induced neoangiogenesis in cerebral arteriovenous malformations.Clinical neurology and neurosurgery.103.29-32.
400-029-0925




