"快!患者意识模煳,右侧肢体瘫痪!"
凌晨3点,45岁的Laura被推入急救室,因突发脑干海绵状血管瘤出血,导致她面瘫、偏瘫,当她被送到医院时,情况已经十分糟糕。她能平安度过这一劫吗?
Laura 45岁、桥脑海绵状血管瘤
病情阶段
Laura的症状让人揪心:双眼通红,两侧眉毛一高一低,双眼也明显大小不一,面部歪斜。由于严重的吞咽功能障碍,她已无法经口进食,只能依赖鼻饲管维持营养。
吞咽功能的丧失不仅意味着生活质量的急剧下降,更隐藏着致命的危险。即使使用胃管,食物仍可能返流进入气道,引发吸入性肺炎,直接危及生命。时间,正一分一秒地流逝。
而Laura的影像片上,更棘手的问题藏在脑干深处:她的海绵状血管瘤长在脑桥上,这个病变已经把原本紧凑的脑桥撑得像个鼓起的气球,周围密密麻麻的神经纤维被挤得变了形。

治疗挑战
很多人听过“脑干是生命中枢”,但具体到脑桥,它的重要性更像“神经交通枢纽”——上连中脑、下接延髓,左边通小脑、右边连大脑,全身的感觉信号、运动指令,几乎都要经过这里“中转”。

更复杂的是它的内部结构:表面沟壑里藏着负责面部感觉的三叉神经核、控制眼球转动的展神经核;深部的网状结构更是“唤醒中心”,管着意识清醒和唿吸节奏。这些神经核团和纤维束挤在几厘米的空间里,哪怕手术中偏差1毫米,都可能导致患者永久面瘫、失明,甚至唿吸骤停。

过去,脑桥区域的肿瘤或血管畸形,大多因为手术风险太高而选择保守治疗,但Laura的情况已经不允许等待——出血还在持续,每多等一天,神经损伤就多一分。

在“生命枢纽”里清除病灶
面对这一严峻挑战,INC国际脑干手术大咖巴特朗菲教授迎难而上。手术的关键在于精细清除血肿及血管畸形的同时,最大限度保护脑桥后部实质及外展神经、面神经的完整性。
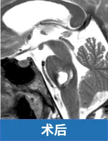
最终手术顺利,术后一年,Laura笑着进到诊室复查,明显可以看到她的面神经和外展神经功能已基本恢复。“我很感恩现在的一切,我能帮孩子梳头发,还能自己做饭。”Laura说着,抬手捋了捋头发,脸上的笑容自然又轻松。她的复查影像显示:脑桥区域没有残留病灶。


INC国际脑血管专家-巴特朗菲教授
INC国际神经外科医生集团旗下世界神经外科顾问团(WANG)成员、世界神经外科联合会(WFNS)教育与技术委员会前主席巴特朗菲教授,作为德国汉诺威国际神经外科研究院血管神经外科主任,擅长大脑半球病变、脑干病变、脑血管疾病、脑内深层区胶质瘤、颅颈交界处的病变等的肿瘤切除术、神经吻合术以及各种椎管内肿瘤等。

同时,巴特朗菲教授收到过来自欧洲、中东、北非以及日本、中国、韩国、新西兰、南非和智利的40个国家的学术邀请,应邀出席了400多场世界各地的学术会议或在神经外科大会作为特邀发言人,对世界神经外科学科做出重大贡献,特别是颅底外科和显微外科血管病变的脑和嵴髓治疗。
- 文章标题:命悬一线!45岁女性深夜突发脑出血,看INC 巴教授如何用毫米级操作从 “鬼门关” 将她拽回
- 更新时间:2025-09-27 16:40:41
400-029-0925


