期待孕育新生的路上,萱萱却遭遇脑干出血——查出海绵状血管瘤,这场突如其来的变故击碎了所有憧憬。
萱萱病灶的位置在脑干,手术风险太大,术后大概率要偏瘫!别说备孕,甚至未来会再也站不起来!
好在关键时刻的选择,为她赢回了人生与宝宝。
萱萱30岁、中脑-桥脑海绵状血管瘤
病情阶段
那天萱萱突然觉得头晕,站着时像踩在棉花上,右眼还偶尔发黑。和丈夫一起前往医院做检查,医生的诊断结果令这对夫妻眼前一黑:“中脑及桥脑右侧占位海绵状血管瘤继发出血。”
萱萱夫妇接下来辗转多家大医院,给了她几乎一样的“判决”:“位置在脑干,手术风险太大,大概率会偏瘫,能不瘫都是奇迹。”
瞬间,对未来的无限憧憬被对疾病的未知恐惧彻底吞没。

治疗挑战
海绵状脑血管瘤是一种由众多薄壁血管构成的异常血管团,属于先天性血管畸形。是一个会动态变化的病灶,可以形成、增大或表现出侵袭性行为,导致反复出血。一旦脑干出血量大,很难抢救,轻则对运动、语言等功能造成不可逆损伤,重则直接离世。
脑干海绵状血管瘤手术风险大的主要原因之一是脑干位于大脑深处,距离头皮远,手术入路需要穿过大量正常脑组织、血管、功能区,难以手术,而脑干几乎管辖着生命的一切,如呼吸、心跳、意识等。

萱萱开始整夜失眠,一闭眼就想起医生说的“偏瘫”,想起自己可能再也站不起来,再也抱不了未来的宝宝。
在焦虑迷茫之中,他们了解到在脑干海绵状血管瘤治疗领域一位国际神外大咖巴特朗菲教授,专门研究过孕期海绵状血管瘤的治疗。

远程咨询巴教授
巴教授最终为她顺利全切
通过INC他们咨询巴教授,巴教授表示:“这是一个潜在的手术病例,因为有相当大的内出血。如果你想要一个孩子,那么出血的风险也很高。这是众所周知的,这是因为怀孕后的激素。与正常情况相比,血液中的怀孕激素会增加更大的可能性。这种手术是我的专长,我做过很多这样的手术。”

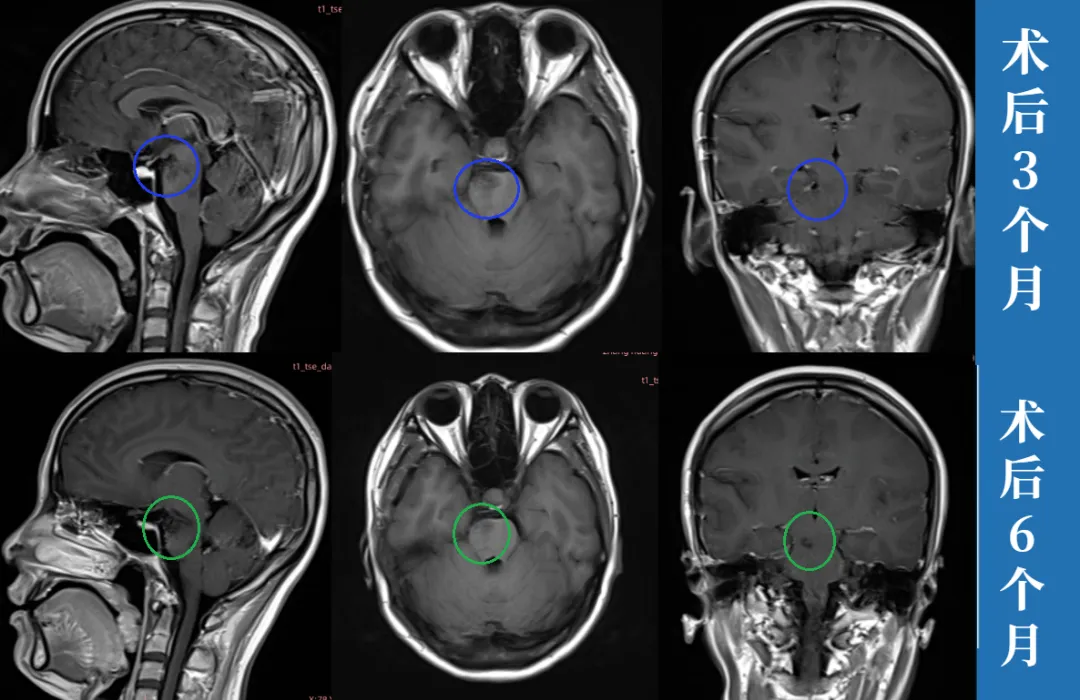
最终,萱萱决定找巴教授为其主刀切除这个脑袋里的“麻烦”。在巴教授中国行示范手术期间为萱萱顺利全切近20mm的脑干深处病变,术后无瘫痪、无视神经损伤、无呼吸抑制和昏迷风险,术后萱萱的恢复状况也很好。
如今,早已恢复正常工作和生活的萱萱,恢复状态良好,并且在今年年初迎来自己宝宝。
关于脑干海绵状血管瘤与孕期
这些知识要知道
01
为什么孕期血管瘤出血风险更高?关键在于“孕酮”——孕期女性血液中的孕酮浓度会比平时高很多,而部分海绵状血管瘤(CCM)的病灶细胞表面,会存在专门结合孕酮的受体。当高浓度孕酮与这些受体结合时,会直接刺激病灶,让血管壁变得更脆弱,从而增加出血的可能性。这也是为什么巴教授会提醒萱萱“备孕前手术更安全”。
02
孕期或备孕时查出血管瘤,该怎么选?
若病灶无症状、临床稳定,或症状轻微进展慢:优先保守治疗,定期随访,避免手术对母婴造成额外风险;
若出现危及生命的出血,或症状迅速进展(比如频繁头晕、视力下降):必须立即手术,此时“保母亲”是首要原则;
若短期有备孕计划:建议先做择期手术,彻底切除病灶后再怀孕——就像萱萱这样,摆脱血管畸形的“隐患”,才能更安心地迎接宝宝。
巴教授曾说与其在孕期提心吊胆,不如先手术切除隐患。他见过太多患者因为害怕手术,结果在怀孕中期大出血,反而被迫紧急开颅——那时候风险比现在高十倍!
即便诊断再可怕,也永远不要放弃寻找希望和专家意见。每个人的病情都是独特的,专业的判断至关重要。积极寻求并了解最前沿的治疗方案,与家人和医生充分沟通,科学决策。请相信,乌云之上,总有晴空。
INC国际脑血管专家-巴特朗菲教授
INC国际神经外科医生集团旗下世界神经外科顾问团(WANG)成员、世界神经外科联合会(WFNS)教育与技术委员会前主席巴特朗菲教授,作为德国汉诺威国际神经外科研究院血管神经外科主任,擅长大脑半球病变、脑干病变、脑血管疾病、脑内深层区胶质瘤、颅颈交界处的病变等的肿瘤切除术、神经吻合术以及各种椎管内肿瘤等。

同时,巴特朗菲教授收到过来自欧洲、中东、北非以及日本、中国、韩国、新西兰、南非和智利的40个国家的学术邀请,应邀出席了400多场世界各地的学术会议或在神经外科大会作为特邀发言人,对世界神经外科学科做出重大贡献,特别是颅底外科和显微外科血管病变的脑和脊髓治疗。
资料来源:
Helmut Bertalanffy.Microsurgical management of midbrain cavernous malformations:does lesion depth influence the outcome?
Helmut Bertalanffy.Cavernous Malformations of the Pineal Region:Overview,Management,and Controversies.Pineal Region Lesions(pp.197-212)
- 文章标题:备孕时脑出血,别说要宝宝,我甚至差点再也站不起来!
- 更新时间:2025-09-26 10:24:36
400-029-0925




