2022-06-02 23:09:40
2022-06-02 23:10:17
2019-06-02 23:03:00
2019-06-01 14:59:00
2019-06-02 23:01:00
2022-06-02 23:10:26
2022-06-02 23:17:34
2022-06-02 23:10:05
2022-06-01 15:13:13
2019-06-02 22:57:00
13mm大颅内海绵状血管瘤手术好切除吗?能全切干净吗?对于13mm大的颅内海绵状血管瘤,手术切除的难度和是否能全切干净,主要取决于多个因素,包括血管瘤...
13mm大颅内海绵状血管瘤去什么医院做手术?费用多少?对于13mm的颅内海绵状血管瘤手术,选择合适的医院至关重要,因为颅内病变的手术治疗需要高度专业化...
颅内海绵状脑血管瘤要做开颅手术吗?会有残留吗?颅内海绵状脑血管瘤(通常简称为海绵状血管瘤)的治疗方案是否包括开颅手术,以及手术后是否会有残留,...
小脑海绵状血管瘤手术好做吗?有没有风险性?小脑海绵状血管瘤是一种血管畸形,它通常为良性病变,但其位置可能给患者带来一系列症状,包括头痛、眩...
颅内海绵状脑血管瘤多大会死?能直接手术吗?颅内海绵状血管瘤,或称为海绵状血管畸形,是一种脑血管疾病,由异常扩张的血管组成,这些血管壁薄,容...
【二次出血病危的脑干海绵状血管瘤案例】2021年5月13 日,中德专家合作咨询、密切配合之下,一例高难度脑干延髓海绵状血管瘤全切手术在无锡二人民医...
INC国际神经外科顾问团之德国Helmut Bertalanffy(巴特朗菲)教授倾20多年心力在手术禁区上的脑干海绵状血管瘤得到了的临床效果,小小的脑干上,根据肿瘤...
【丘脑海绵状血管瘤手术成功案例】丘脑海绵状血管瘤出血昏迷2个月,很多神经外科医生告诉Erica的家人,在丘脑上进行手术风险太大,丘脑是控制身体大...
脑海绵状血管瘤( 海绵状血管瘤 )一直被认为是神经系统血管畸形的主要病理类型之一。由于在血管造影上未见异常的血管分布,海绵状血管瘤已被列入神秘...
脑干海绵状血管瘤案例:在广天下的爸爸妈妈心里,看着自家的孩子平安健康长大成人,可以说已经是莫大的幸福和成就了。可对于刚满2岁的伊伊的父母来...
【脑瘤治疗案例汇总】INC曾接诊的这四个真实的疑难脑瘤手术案例或许正能解答大家的这些疑问。就这些案例患者而言,术前教授都曾给到他们明确的可以...
【脑干海绵状血管瘤手术案例】脑干海绵状血管瘤生长于脑干,其特点是反复出血,对人体影响大,甚至可能危及生命。一般没有出血的可以观察,只要有...
脑干海绵状血管瘤手术难在哪?顺利全切后能恢复成哪样? 孩子就像是父母们的甜蜜负担,他们需要更多关注和呵护,也从不吝向父母表达感恩爱意。5岁...
在这对父女成功地进行了脑深部手术,折磨他们多年的少见的家族性遗传病 脑海绵状血管瘤 (血管畸形的一种)终于被完全清除,术后他们取得了惊人的...
【脑干海绵状血管瘤案例】33岁男性,突发肢体无力、面瘫3周,意大利当地医院诊断为脑干胶质瘤,患者被告知go home,lay down,do nothing,you will die in 10 days(原...
9月中旬,INC国际神经外科医生集团、国际神经外科联合会(WFNS)教育委员会主席德国巴特朗菲教授在苏州大学附属儿童医院(以下简称苏大附儿院)及浙...
【脑干海绵状血管瘤案例】深入“禁区”,INC巴教授脑干桥脑海绵状血管瘤顺利全切手术纪实...
脑海绵状血管瘤,有必要手术吗?为了诊断对于海绵状血管瘤,主要使用磁共振成像,其中这些病变显示典型的“爆米花”外观,低信号周围有晕圈。我们...
脑海绵状血管瘤 是一种血管造影隐匿性病变,以单层内皮覆盖,取代邻近的脑组织。海绵状血管瘤在一般人群中的患病率估计为0.4-0.5%,临床表现为各种体...
脑干海绵状血管瘤出血怎么办?由于现代医学引入了MRI诊断海绵状血管瘤,发现了更多病例,以脑桥、后颅窝、脑干部位多见,占10%~23%。那么,脑干海绵状...
海绵状血管瘤严重吗?它是继发育静脉异常和毛细血管扩张之后的三大常见脑血管畸形,通常无法自愈,需要接受科学治疗...
患者的临床表现和病变部位以及对治疗效果的预期是决定海绵状血管瘤较佳治疗方案的重要因素。随着诊断工具和临床经验的提高,以及微创显微外科技术...
人到中年,家庭圆满和睦,事业小有成就。然而,生活总会时不时地跟我们开玩笑。对于40多岁外企高管张先生来说,这个玩笑甚至是致命性的。 致命的脑...
脑干海绵状血管瘤较多见于脑桥,其次为中脑、中脑桥、延髓。在脑干内生型病变中,海绵状血管瘤是适合手木切除的病变。它们在组织学上属良性,不含...
脑海绵状血管瘤或 海绵状脑血管瘤 ,这是一种血管畸形,可以出现在大脑的不同区域,在脊髓中少见。脑海绵状血管瘤由不规则血管形成的黑莓形血管球...
脑干海绵状血管瘤案例:脑干CCM手术从简单的概念开始,如“两点法”来选择较佳的手术方法复杂颅骨基地曝光肿瘤和动脉瘤的发展是适应的病理CCMs(图2...
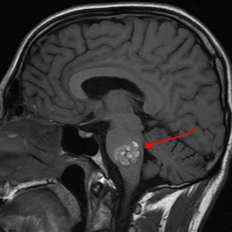
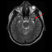
脑海绵状血管瘤无症状或者偶然发现,需要手术吗?脑海绵状血管瘤常会因非特异性或无关症状而做影像学检查时被发现(图1)。对于无症状的脑干海绵状血...
脑干海绵状血管瘤手术费30万 脑干海绵状血管瘤手术费30万是有可能的,脑干海绵状血管瘤手术费用不同地区收费标题不一样,国内大部分医院手术费大概...
脑干海绵状血管瘤严重吗?怎么治疗好?那么如何提高脑干海绵状血管瘤生存期呢?而显微外科手术借助于手术显微镜的放大,再结合神经导航、术中MRI、术中...
【脑海绵状血管瘤手术案例】INC德国巴特朗菲教授脑干肿瘤全切手术案例,天真活泼的4岁小Liliya是L夫妇一家的掌上明珠,活泼顽皮的她在幼儿园总是能让...
中枢神经系统 海绵状血管瘤 (海绵状血管畸形)是一种占位性病变,可发生于脑的任何部位,也可以发生于脊髓中。其主要危害是反复出血,一般是少量...
指征二:肿瘤内出血及引起神经功能障碍,特别是影像学检查明确有两次及以上出血有出血史的BCMs,病灶更易发生再出血、反复出血,从而导致病灶不断增...
脑干海绵状血管瘤严重吗?脑海绵状血管瘤如何治疗好?那么如何提高脑干海绵状血管瘤生存期呢?而对于脑干海绵状血管瘤的治疗手术是主要手段,其中手术...
海绵状畸形(CMs)是中枢神经系统的血管造影性隐匿,低流量血管畸形。它们占全部血管畸形的8-20%。6-7岁患者的出血率可达6%...
脑干桥脑下部及延髓区占位,脑海绵状血管瘤伴出血。国内医生告知,两次脑干出血病情危急,因位置太难无法手术,可能只有20多天可活...
引言:我经历的这场较大考验的手术成功了,太神奇了,我没有任何并发症,我觉得我像一个战士。手术结果不仅远远超出了我的预期,甚至很多医生也发...
作为INC国际神经外科医生集团旗下国际神经外科顾问团成员、国际神经外科联合会WFNS教育委员会主席德国INI国际神经学研究所 巴特朗菲 (Helmut Bertalanffy)...
早期没什么症状,直到25岁的晓欣在一次意外中脑部受伤做头颅检查才发现,自己出现了脑出血,且脑干部位长了一团 爆米花样的肿瘤,据医生说这是脑干...
问:脑干海绵状血管瘤可以用微创手术治疗吗? 答: 脑干区域密集排列着颅神经的核团和肢体与大脑联系的上下传导束,且拥有心血管中枢和呼吸中枢,...
Q:脑干海绵状血管瘤能手术吗? A:脑干的海绵状血管瘤可以手术。尽管脑干位于一个关键的区域,但它是我们大脑中关键的部分,对许多功能都很重要,例...
脑海绵状血管瘤也称为海绵状血管畸形。这些名称是指人们通常在大脑或脑干中有一群聚集的血管畸形,这种血管畸形会扩大或扩张,并且随着时间的推移...
脑海绵状血管瘤 是指长在脑内的血管畸形,其中脑干部位的海绵状血管瘤是位置较深、手术难度较大的 颅内海绵状血管瘤 ,年出血率为4.6%,再出血间隔为...
脑干海绵状血管瘤长在人体大脑重要中枢脑干中,脑干的功能主要是维持个体生命,包括心跳、呼吸、消化、体温、睡眠等重要生理功能,均与脑干的功能...
这些CMs均通过OZ开颅术和经侧裂的颈动脉上-额下剥离术进行处理。经椎间孔走廊通向更靠前的CMs门罗孔向后朝脉络膜裂开放。ACT方法提供了一个更好的角度...
脑干海绵状血管瘤出血,脑干海绵状血管瘤 ( Brainstem cavernous malformation,BSCM) 因瘤内反复出血或缓慢渗血, 导致肿瘤体积急性或缓慢增大,压迫脑干内重要...
脑海绵状血管瘤什么情况下可以观察?什么时候需要手术治疗?脑干作为人体的生命中枢,维持着我们的生命,包括心跳、呼吸、消化在内的一系列重要生...
Q:脑干海绵状血管瘤不久前遇到出血,能手术么?或需要等待一段时间再手术么? A:德国巴特朗菲教授在接受INC国际神经外科医生集团采访时表示,许多医...
脑干海绵状血管瘤引起的脑干出血需要手术吗?海绵状血管瘤是指长在脑内的血管畸形,其中脑干部位的海绵状血管瘤是预后较差的颅内海绵状血管瘤,手...
手术治疗脑干海绵状血管瘤哪里好呢?海绵状血管瘤是一种脑部疾病,畸形的血管损害了正常的血液流动。根据受影响血管的数量和每种缺陷的严重程度,情...
神经系统海绵状血管瘤的外科治疗,手术还是保守?海绵状血管畸形( cavernous malformation,CMs),一直以来都被认为是神经系统血管畸形的一个重要临床病理分类...
脑海绵状血管瘤 ,又称脑海绵状血管畸形,是一种大脑血管异常,由一簇异常的透明毛细血管组成,周围有含铁血黄素沉积和胶质边缘。血管内充满血液,...
链接/Links: 北京天坛医院 | 首都医科大学宣武医院 | 复旦大学华山医院神经外科 | 脑胶质瘤 | 脑海绵状血管瘤 |