2022-06-02 23:09:40
2022-06-02 23:10:26
2022-06-02 23:17:34
2022-06-01 15:13:13
2022-06-02 23:10:17
2019-06-02 23:01:00
2022-06-02 23:10:05
2019-06-02 23:03:00
2019-06-02 22:57:00
2019-06-01 14:59:00
颅脑海绵状血管瘤为什么会钙化?怎么预防出血?颅脑海绵状血管瘤的钙化是一个复杂的过程,其具体机制尚不完全清楚,但可能与以下几个因素密切相关:...
丘脑海绵状血管瘤为什么渗血?怎么止血?丘脑海绵状血管瘤是一种血管异常,由许多小血管组成,形成海绵状的结构。它们通常被认为是先天性的,但确切...
脑干海绵状血管瘤二次出血MRI是什么样?出血量会比之前大吗?MRI(磁共振成像)是诊断脑干海绵状血管瘤及其出血情况的重要影像学手段。在脑干海绵状血管瘤...
脑干海绵状血管瘤二次出血要立马手术吗?手术难做吗?脑干海绵状血管瘤二次出血是否需要立即手术,取决于多个因素,包括出血的严重程度、患者的具体...
脑干海绵状血管瘤二次出血还能生存多长时间?能保守治疗吗?脑干海绵状血管瘤二次出血后的生存期是一个复杂且高度个体化的问题,受到多种因素的影响...
【二次出血病危的脑干海绵状血管瘤案例】2021年5月13 日,中德专家合作咨询、密切配合之下,一例高难度脑干延髓海绵状血管瘤全切手术在无锡二人民医...
【脑海绵状血管瘤案例】延髓海绵状血管瘤二次出血,被判“死刑”,手术全切后“起死回生”“国内找了好多家大医院的专家,都叫我保守治疗。本来都...
严女士罹患高位颈髓海绵状血管瘤,病变深藏在高位颈髓腹侧且压迫脑干。三次出血,部分脑干组织已经受损。面对严女士这个让国内很多大医院专家告知...
【脑干海绵状血管瘤出血案例】黄女士,年龄50+岁,肢体无力、面部麻木、构音障碍,10多年脑干海绵状血管瘤病史,共发生5次脑干出血。3度因出血引起生...
68岁王奶奶一开始诊断出脑海绵状血管瘤还是30年前,那是一开始出血。一开始出血并没有给王奶奶带来太大的伤害,加上血管瘤位置深入脑干,手术不易进...
出血性中风是由脑组织,脑室或蛛网膜下腔出血引起的,颅内动脉瘤(脑动脉瘤)就是其中之一。 颅内动脉瘤(脑动脉瘤)一般占出血性中风病例的一半。...
由于计算机断层扫描(CT)和磁共振成像(MRI)的使用增加,近年来诊断出更多的CHs。非对比CT扫描显示三脑室内有不均一的高密度出血肿块压迫下丘脑,没有明...
9月中旬,INC国际神经外科医生集团、国际神经外科联合会(WFNS)教育委员会主席德国巴特朗菲教授在苏州大学附属儿童医院(以下简称苏大附儿院)及浙...
【脑干海绵状血管瘤案例】深入“禁区”,INC巴教授脑干桥脑海绵状血管瘤顺利全切手术纪实...
脑干海绵状血管瘤出血怎么办?由于现代医学引入了MRI诊断海绵状血管瘤,发现了更多病例,以脑桥、后颅窝、脑干部位多见,占10%~23%。那么,脑干海绵状...
脑干海绵状血管瘤案例,花样少女学霸突患脑干肿瘤,INC国际德国巴特朗菲教授成功手术案例纪实...
患者的临床表现和病变部位以及对治疗效果的预期是决定海绵状血管瘤较佳治疗方案的重要因素。随着诊断工具和临床经验的提高,以及微创显微外科技术...
人到中年,家庭圆满和睦,事业小有成就。然而,生活总会时不时地跟我们开玩笑。对于40多岁外企高管张先生来说,这个玩笑甚至是致命性的。 致命的脑...
脑海绵状血管瘤出血严重吗?脑血管瘤分为哪几种?脑海绵状血管瘤是一种血管造影隐匿性病变,以单层内皮覆盖,取代邻近的脑组织。海绵状血管瘤在一...
Q:脑海绵状血管瘤出血风险高吗? A:国外一项针对1620例患者的大型跨国研究,长期随访脑海绵状血管瘤出血的发生率。 随访5年后患者的结果。总体而言...
脑海绵状畸形(CMs),也称为海绵状血管瘤或海绵状血管瘤,是一种轮廓清晰、增生性、低流量的血管异常,由一种异质薄壁血管团块组成。它们含有不同降...
脑干海绵状血管瘤已经渗血保守治疗可以吗?这颗不定时炸弹真的会一直老老实实吗?脑海绵状血管瘤(CCM)是异常大的低流量血管集合。中枢神经系统的...
原发性脑干出血(PBSH)是脑出血较致命的亚型,起病急骤,致残、致死率较高,对现存治疗手段构成挑战。由于缺乏相关循证医学研究,国内外均没有相关...
霍恩等人对我们了解海绵状血管瘤的自然历史做出了重要的贡献,为长期以来的怀疑提供了有力的证据,即脑干位置和出血性病变预示着更积较的临床进程...
脑海绵状血管瘤(CCM)是常见的血管畸形,患病率为0.2%-0.5%。由于其高达60%的年出血率,CCM可能具有相当大的临床影响。脑海绵状血管瘤出血的原因有哪些...
指征二:肿瘤内出血及引起神经功能障碍,特别是影像学检查明确有两次及以上出血有出血史的BCMs,病灶更易发生再出血、反复出血,从而导致病灶不断增...
脑海绵状血管瘤会死吗?脑海绵状血管瘤的放射学特征也多种多样。当出现新的或恶化的局灶性神经缺陷时,可能有近期出血的放射学证据(这可能较初掩盖...
脑干桥脑下部及延髓区占位,脑海绵状血管瘤伴出血。国内医生告知,两次脑干出血病情危急,因位置太难无法手术,可能只有20多天可活...
INC国际专家疑难手术案例:5岁的阳阳活泼好动,是幼儿园里的小明星。任谁也想不到,就在一年前,他曾被医生告知病情危重,需要在ICU留待观察,这,都...
我们报告一例视交叉性黄斑变性,具有经典的临床和影像学表现。颅咽管瘤被认为是较有可能的,部分血栓形成的动脉瘤,海绵状血管瘤,出血性神经胶质...
虽然海绵状血管瘤仅占全部脑血管畸形的5%~10%,但由于其常引起癫痫发作和局灶性神经功能缺失等严重后果而日渐受到人们重视。由于家族性海绵状血管瘤患...
海绵状血管瘤是在不同的进化阶段,血管内皮排列的正弦通道。这些通道缺乏加强弹性蛋白或平滑肌层,直接相互连接而不干预神经实质。除了已知的致痫...
脑海绵状血管瘤是一种少见的血管病变,在一般人群中发病率约为0.4% - 0.8%。虽然它们的病程通常是良性的,但脑海绵状血管瘤可能会出现头痛、癫痫或出...
脑海绵状血管瘤出血严重吗?孤立性冠状动脉通常与发育性静脉异常(DVA,箭头)相关联,在磁化率加权像(SWI)和T1钆(T1-Gad)上可见。中间一行:常染色体显性家...
脑海绵状血管瘤 是指长在脑内的血管畸形,其中脑干部位的海绵状血管瘤是位置较深、手术难度较大的 颅内海绵状血管瘤 ,年出血率为4.6%,再出血间隔为...
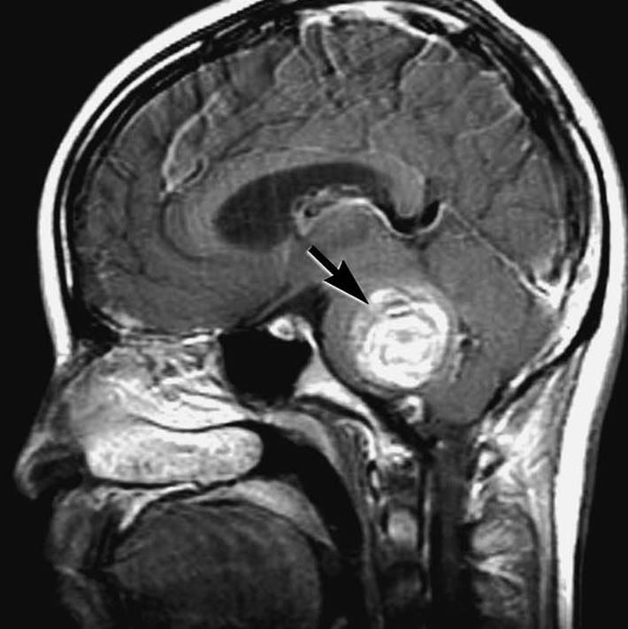
桥脑海绵状血管瘤出血,一名27岁的右半身不遂伴有左周围性面瘫和复视的女性,诊断为米勒德-古伯勒综合征(MGS)。在眼科和神经系统检查后,通过磁共振...
妊娠以及产褥期发生脑血管病少见,但一旦发生,对于母亲和胎儿就可能是灾难性的。全部育龄妇女中每年有0.67%生儿育女。妊娠期间的脑血管病的精确发病率...
脑干海绵状血管瘤的特征和症状,和其他部位的海绵状血管瘤一样,无症状被发现的情况也很多。无症状的情况下可以观察。脑干部也有顺利区,一部分切...
脑海绵状血管瘤(cerebralcavernoushemangioma,CCM)是异常大的“低流量”血管集合。McCormick(1966)认为CCM是4类脑血管畸形之一,其余3种包括毛细血管扩张、发...
脑海绵状血管瘤 是发生在整个中枢神经系统的血管造影隐匿性低流量血管畸形。病理上,脑海绵状血管瘤由内皮细胞浸润的空洞组成,缺乏适当形成的紧密...
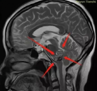
脑干海绵状血管瘤出血,脑干海绵状血管瘤 ( Brainstem cavernous malformation,BSCM) 因瘤内反复出血或缓慢渗血, 导致肿瘤体积急性或缓慢增大,压迫脑干内重要...
海绵状血管瘤是一种血管畸形,占颅内血管畸形的颅内症状性海绵状血管瘤发生于脑干。脑干海绵状血管瘤的自然史尚不清楚,一旦有症状,其临床进展很...
我们相信每500人中就有一人患有海绵状血管瘤,但大多数人从来没有症状。显性出血是海绵状血管瘤内或周围的新出血,常伴有新症状。显性出血是海绵状...
近几十年来,随着磁共振成像(MRI)在临床实践中的广泛应用,脑海绵状血管瘤(CCM)的发病率有所上升(0.4-0.9%)。 脑干海绵状血管瘤 占全部颅内海绵状血管瘤的...
Q:脑干海绵状血管瘤不久前遇到出血,能手术么?或需要等待一段时间再手术么? A:德国巴特朗菲教授在接受INC国际神经外科医生集团采访时表示,许多医...
脑干海绵状血管瘤引起的脑干出血需要手术吗?海绵状血管瘤是指长在脑内的血管畸形,其中脑干部位的海绵状血管瘤是预后较差的颅内海绵状血管瘤,手...
脑干海绵状血管瘤的临床症状有哪些?和什么有关?脑海绵状血管瘤是比较常见的脑部病变,约占总人口的0.5%,占全部脑血管畸形的5-10%,呈桑果状。尽管...
脑海绵状血管瘤是一种常见的血管畸形,通常无症状且偶然发现。然而,在相对少见的出血事件中,患者可能会出现癫痫、头痛或局灶性神经功能障碍。大...
答:脑海绵状血管瘤(CMs)出血是其自然史中研究较多的方面。具体而言,从影像学机构审查中获得患者队列的研究可能包含更多良性CMs,出血性病变比例...
海绵状血管瘤能根治吗?海绵状血管瘤是一种颅内的血管畸形,经过手术切除是可以治好的,但重要位置的病变考验术者的经验和技巧...
链接/Links: 北京天坛医院 | 首都医科大学宣武医院 | 复旦大学华山医院神经外科 | 脑胶质瘤 | 脑海绵状血管瘤 |