出血几率为每年1%-3%,与每次出血相关的死亡风险为10%至15%。
长期性脑损伤的几率为20%至30%。
每当血液渗入大脑,正常的脑组织就会受损。这导致正常功能丧失,这可能是暂时的或长期性的。
超过50%的脑动静脉畸形患者有颅内出血。
在脑动静脉畸形患者中,20%至25%患有局灶性或全身性癫痫发作。
这一串串触目惊心的数字,是美国一项关于被称为“颅内炸弹”——脑动静脉畸形的研究结果。出血、昏迷、脑功能受损、甚至死亡……脑动静脉畸形一旦确诊,患者就将活在这样的恐惧之中。
18岁男孩少见脑动静脉畸形
一次术后三个月后陷入昏迷
18岁,本应该是较美好的年纪,对国际充满着无数的好奇和憧憬。然而对大卫来说,从确诊脑动静脉畸形的那一刻,他的国际就陷入了灰暗。频繁的头痛折磨着他,而更令他和家人担心的是,随时的出血可能会让这个原本无限活力的孩子陷入未知的危险。
孩子的脑动静脉畸形位置较为少见,位于颞角,颞角AVM位于颞角脉络丛。颞角AVM与丘脑、尾状核(尾部)、穹窿(伞)和海马相邻,如果出血,孩子将会危险。
考虑到孩子年纪尚小,需要尽快排除脑子里的“不定时炸弹”,大卫的父母带其就医进行手术,然而这次手术却未能将颞角动静脉畸形完全切除。
仅仅一次手术三个月后,令大卫一家一直恐惧的事情还是来临了。大卫在学校突然昏迷,紧急送往医院后,检查为左侧颞角的AVM导致脑室内出血。Spetzler-Martin分级4级:S1V1E1/A1B0C0),供血来自AChA(脉络膜前动脉)。
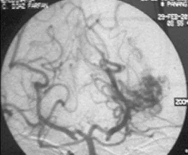
(a)左侧ICA造影,侧位]和lPChA
![左侧ICA造影,侧位]和lPChA](https://www.incsg.cn/uploads/allimg/240221/1-240221095244563.jpg)
(b)左侧VA造影,前后位像

而根据AVM大小、是否在功能区、有无深部静脉引流三项得分相加,评分范围为1~5,分别对应Ⅰ~Ⅴ级,分级越高,外科手术难度越大,预后越差。大卫的分级4级,手术难度并不低。
只有寻求经验丰富的主刀医生,顺利切除脑动静脉畸形,才能排除掉孩子后面可能面临的更多风险。
多方查询后,他们找到了国际脑动静脉畸形治疗教授——INC美国Michael T.Lawton教授。

2018年12月14日,INC国际神经外科医生集团旗下组织国际神经外科顾问团(WANG)成员,国际神经研究所-巴洛神经学研究所主席兼CEO Michael T.Lawton教授受INC之邀来到INC上海总部进行会面与交流。
神外教科书级别教授再次手术
终获顺利全切
Michael T.Lawton教授作为国际血管神经外科领域颅内血管畸形治疗的教授。他目前是BNI的CEO兼神经外科主席,还是美国“脑血管畸形联盟”(Brain Vascular Malformation Consortium)的研究员,之前曾任美国神经外科医师协会主席、美国神经外科学会主席,并连续六年被评为美国马林杂志“较医生“称号(Top Doctors,Marin Magazine,2011-2017年),从2007年至今,他也一直蝉联“美国较佳医生”称号(Best Doctors in American)。

了解到大卫的病史后,Lawton教授为大卫制定了手术方案,成功全切颞角动静脉畸形。
Lawton教授手术操作情况
▼左侧翼点开颅,再次手术,显露前颞叶。

▼沿颞下回经原皮层入路达颞角。

▼AChA经脉络裂进入颞角,在前方供应AVM,lPChA在后方供应AVM。

▼通过ITG经皮层显露可以充分显露颞角,达到全切AVM。

Lawton教授关于颞角AVM的切除策略
颞角AVM切除像颞底AVM一样通过颞部开颅(1步)、通过颞下回(ITG)经皮质入路。病人取仰卧位,头向侧方偏转90°,降低顶点以获得一朝向颞角的向上的角度。以耳上为基底的马蹄形切口、颞部开颅。入路在颞下回下部,角度对着脑室,保持在Meyer’s环内的视放射之下。Meyer’s环从上面越过颞角(2步)。导航有助于确定该入路。一旦进入颞角,沿其轴纵向打开,以完整看到AVM。直到切除结束才能够看到下ChorV和BVR(3步)。在脉络裂近端丛点之后辨认AChA,在脉络裂远端病变之后可见lPChA供血(4步)。先阻断AChA供血血管(5步),但是另外的自脉络丛的供血血管在内侧缘,从近端向远端继续分开脉络裂阻断这些脉络丛供血血管。需要向前用力,将一部分AVM移向外侧(6步)。优先通过脉络丛和穹窿伞(伞带)之间的脉络膜,从下方打开脉络裂,避开上面的尾状核尾部和丘脑下部。然后一步切除的是汇入BVR的引流静脉和残留的来自lPChA的供血血管(7步)。虽然没有严格意义上的语言功能,但是像其它脑室AVM一样,颞角AVM与丘脑、尾状核(尾部)、穹窿(伞)和海马相邻。
(a)1步,显露AVM:马蹄形头皮切口(嵌入图,虚线),颞部开颅(嵌入图,实线),通过颞下回经皮层入路。(b)AVM盒示意来自AChA和lPChA的动脉供血,静脉向内侧引流到BVR,以及邻近优势半球的海马。
(c)2步,通过ITG经皮质入路进入颞角。
3步,辨认脉络丛和脑室的引流静(BVR直到后来才能看到)。
4步,辨认前方脉络裂内的AChA。
5步,从近端脉络裂阻断AChA的前内面。
(d)6步,沿脉络裂由近及远分离(冠状断面观)。
(e)7步,将AVM移出脉络裂,以切断lPChA供血,辨认环池内的BVR。
脑动静脉畸形——
七种脑动静脉畸形:切除原理和技巧
本文案例及切除策略均来自于Lawton教授作为作者编著的国际脑动静脉畸形教科书级——《七种脑动静脉畸形:切除原理和技巧》。《七种脑动静脉畸形:切除原理和技巧》主要关注脑叶和脑深部动静脉畸形的显微手术切除技术。本书介绍了7种动静脉畸形,描述了32种AVM亚型的解剖地图和手术策略,并阐述了脑动静脉畸形切除的八个步骤,并总结了在临床中常见脑动静脉畸形的处理治疗方法,成为神经外科医生的重要参考。

图Lawton教授动静脉畸形手术技巧专著及中文翻译版本,包含700多幅精美的彩色插图,对AVM进行明确分类及准确手术路径进行介绍,详尽阐述动静脉畸形切除术的策略,总结常见动静脉畸形临床特征.

Michael T.Lawton教授赠送给INC的著作礼物,并祝词:Thank you for your hospitality in shanghai.I am looking forward to working with you.Best wishs for your success in INC and in neurosurgery.(诚挚感谢您在上海的热情款待,我期待着和您一起工作。祝您在INC和神经外科取得成功。)
除了理论巨著,Lawton教授近千台脑动静脉畸形手术量,4400余例脑动脉瘤、1000余例海绵状血管畸形患者的成功治疗案例,个人手术记录较高的神经外科医生,这也是众多神经外科医生难以企及的。
Lawton教授发表了450多篇神经外科文章,3部教科书的作者(《七种脑动静脉畸形:切除原理和技巧》、《七种动脉瘤:夹闭术的原理和技巧》、《七种搭桥术:血运重建的原则和技术》),70多本医学书籍的部分章节作者,600多个讲座及国际40多个神经外科机构的特邀教授,先后荣获William L.Young成就奖(2017)、国际神经学学会联合会颁发的青年神经外科学奖、Harold Rosegay教学奖以及Diane Ralston临床和基础科学教学奖等殊荣……在脑动静脉畸形(AVM)的临床治疗方面,Michael T.Lawton教授身上的学术光环不胜枚举,这证明了他攻克各种脑血管病变的实力和不断精进前行的信念。
除了以上的治疗方案,Michael T.Lawton教授还会根据患者不同级别的脑动静脉畸形(AVM)采用多模式方法进行治疗,包括对较小的脑动脉畸形可以前沿行血管栓塞然后手术摘除、当病变具有基于位置和血管解剖的高手术风险则可以在血管栓塞后进行放射治疗……种种前沿治疗策略的联合、重组和优化,脑动静脉畸形患者的致死致残率近年来在国际上大为下降。
- 文章标题:18岁少年AVM脑出血昏迷,国际脑血管病专家Lawton教授“生死救援”纪实
- 更新时间:2024-02-21 09:44:12
400-029-0925




