在颅内深处潜伏着一枚“不定时炸弹”——脑动静脉畸形(AVM),它如同扭曲的血管迷宫,一旦破裂出血,半数患者将面临死亡或永久瘫痪的绝境。而当“姑息治疗”沦为风险赌局,及时选择全切手术,或许才是与应对这颗“不定时炸弹”的终极答案。
病例1:23岁的Ada,脑出血送医检查后发现脑室体(透明隔)AVM出血,选择进行伽马刀治疗,4年后再次出血;
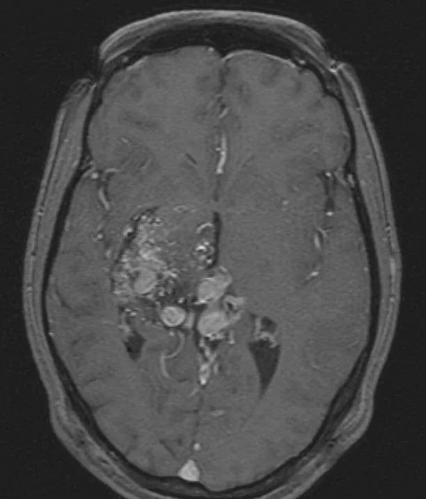
病例2:36女性Amanda,脑出血送医检查后发现丘脑/基底节AVM出血,也选择了伽马刀治疗,3年后造影显示有残留。
而转机出现在国际神经外科专家Michael Lawton教授的手术刀下——通过显微外科全切技术,Ada和Amanda不仅彻底清除了“定时炸弹”,更在术后重拾正常生活。
脑动静脉畸形特点及难点
脑动静脉畸形(AVM)是目前最复杂且治疗极为困难的脑血管病变之一,它有两大特点:
1、确诊不及时,患者多因颅内急性出血而送医,往往确诊为AVM后也意味着失去了黄金救援的机会。
2、治疗难,发病年龄轻,脑内血管星罗密布,手术风险高,致残率和死亡率较高,部分脑动静脉畸形的治疗仍相当棘手。
对此,INC国际神经外科医生集团旗下世界神经外科顾问团(WANG)成员、国际知名的脑血管畸形治疗专家Michael T. Lawton 教授指出:

面对脑动静脉畸形(AVM)难于确诊这一问题,当病人出现头痛、癫痫等症状时,需通过核磁(MRI+MRA)和CTA甚至是脑血管造影(DSA)进行全面检查。
而在治疗上,随着显微外科技术的应用,该病的手术全切除率有很大提高。到目前为止,手术切除仍是治疗脑动静脉畸形(AVM)更为彻底的方法。

脑部手术素来以高风险性和极大的手术难度让患者闻之色变,更何况,脑内神经血管分布错综复杂,一旦AVM破裂出血,原本就很困难的手术又会平添许多风险,轻则损伤大脑功能区导致失明、失语等,重则全身瘫痪甚至死亡。
手术成功的关键在于,在切除畸形前,保证引流静脉的完整性。另一个需要遵守的原则是,尽可能在靠近畸形团处断流动脉。能成功驾驭如此高难度的脑部手术,且能达到安全彻底切除血管畸形的神经外科医生可以称得上是技术水平上乘的世界手术专家。
Michael T. Lawton教授不仅在世界血管神经外科学术领域内贡献卓著,更是拥有上千例脑动静脉成功手术案例,在世界神经外科范围内,还鲜少有人能达到。
23岁女孩AVM伽马刀治疗后再次出血,Lawton教授安全全切
23岁女性Ada,四年前由于脑出血送医检查,结果为来自脑室体(透明隔)AVM的脑室内出血,补充Spetzler-Martin分级5级: S2V1E0/A2B0C0.
出于对开颅手术的恐惧,Ada选择进行伽马刀治疗,然而病变一直存在,Ada依旧有很高的出血风险。想要根除出血的风险,手术切除依然是彻底治疗的最好方法之一。
▼该AVM由ACA/PcaA分支、ACoA穿支和mPChA供血[右侧ICA造影


4年后,日夜担心的出血还是来了,这一次,Ada知道自己躲不过了。多方搜寻下,他找到了世界脑动静脉畸形大师——美国巴洛神经学研究所主席兼CEO Lawton教授。
Lawton教授手术操作情况
▼(a)侧位s(b)前斜位

▼(c)双额开颅,打开纵裂(鼻朝右,中线水平位,重力牵拉右侧半球),显露胼胝体、CmaA和PcaA。(d)切开胼胝体2.5cm,显露透明隔内的AVM,大致显露ACA。

▼(e)将AVM后缘向前牵离穹窿。

▼(f)在透明隔底部保留FoM、穹窿和右侧SepV。

▼(g)引流静脉变黑。

▼(h)引流静脉进入ICV处电凝。完全切除AVM。

36岁女性AVM伽马刀治疗后残留,Lawton教授安全全切
36女性Amanda,脑出血送医检查后发现丘脑/基底节AVM出血(Spetzler-Martin分级为 6 级:S2V1E1/A2B0C0)。原来Amanda的脑动静脉畸形已经检查出多年,但却因未出血而没有采取干预措施,直至这次突发出血,多方抉择后,Amanda选择了伽马刀治疗。
▼轴位T1加权像,既往行γ刀治疗

然而,就在伽马刀治疗 3 年后,造影显示AVM大部分闭塞,颞叶内侧少量残留畸形团向 BVR 引流。如果想要解决颞叶内侧依然活跃的动静脉畸形,手术是Amanda的更优选择。
▼颞叶内侧少量残留畸形团向BVR引流(右ICA造影,侧位)

颞叶内侧结构包括颞极、杏仁体、海马和海马旁结构,颞叶内侧结构与前连合、同侧的穹隆、连接颞枕叶的下纵束以及连接额颞叶的钩束等结构相关。

颞叶内侧结构本身就与学习和记忆密切相关,因此其联络区域的病变也可能造成智力和记忆力下降。
影响智力、记忆力下降……这些风险让Amanda十分害怕,她的孩子尚小还需要她的照顾,如果自己出现问题,后果难以想象。
在朋友的推荐下,Amanda找到了国际脑动静脉畸形手术大咖——INC美国Lawton教授,希望教授能为她“解决”掉这个位于颞叶内侧面的动静脉畸形。
Lawton教授手术操作情况
▼右侧眶颧开颅,经侧裂入路,牵开颞极暴露来自ICA鞍上段、MCA的M1段、PCA的P2段和小脑幕切迹。

▼电凝供应颞叶内侧面型AVM的PCA的P2供血支,减少畸形团血供。

▼移除AVM

▼显露PCA周围至其ParOccA和CalcA(P2P)分叉

▼沿小脑幕见PCA的大脑脚段(P2A)和硬化的供血支。

Lawton教授的手术理念:“手术经验就是一切,我们致力让每一位病人得到独特、全面的照顾。”
除了以上的治疗方案,Michael T. Lawton 教授还会根据患者不同级别的脑动静脉畸形采用多模式方法进行治疗,包括对较小的脑动脉畸形先进行血管栓塞然后手术摘除、当病变具有基于位置和血管解剖的高手术风险则可以在血管栓塞后进行放射治疗……种种前沿治疗策略的联合、重组和优化,使得近年来脑动静脉畸形患者的致死致残率在国际上明显下降。
INC 国际脑血管专家——Michael T. Lawton教授
INC国际 Michael T. Lawton 教授作为巴罗神经学研究所主席兼首席执行官,深耕于脑动静脉畸形的形成、遗传学特征和破裂的治疗,以及脑部血管瘤的血液动力学、破裂、数字建模等领域。他的临床研究包括血管瘤、动静脉畸形、颅内搭桥的微创治疗方法,以及微创治疗临床数据。
他发表了450多篇神经外科专业文章,撰写3部个人著作(动脉瘤手术治疗著作《七种脑动静脉畸形:切除原理和技巧》、《七种动脉瘤:夹闭术的原理和技巧》、《七种搭桥术:血运重建的原则和技术》),是70多本医学专业书籍的部分章节作者,获得近20项国际医学奖项,是600多个专业讲座及世界40多个神经外科机构的特邀教授。

神经外科经验:
脑动静脉畸形:900例
脑动脉瘤:4400余例
海绵状血管畸形:1000余例

- 文章标题:从“姑息”到“根治”?脑动静脉畸形患者伽马刀治疗后再次出血,INC国际Lawton教授一刀全切
- 更新时间:2025-06-17 17:10:03
400-029-0925




