四年前,Anna因突发脑出血被送进医院,检查发现出血源于脑室内的动静脉畸形,面对开颅手术的恐惧,她选择了伽马刀治疗。 然而病变并未消失,出血风...
人脑动静脉畸形 (脑动静脉畸形)是大脑循环系统的缺陷,通常认为是在胚胎或胎儿发育过程中出现的。通常,含氧血液由心脏通过分支动脉(称为动脉)...
在人体中,动脉负责将富含氧气的血液从心脏输送到大脑,静脉则将贫氧的血液带回肺部和心脏,然而血管畸形就像是一撮粗细不一缠绕在一起的毛线团,...
INC国际儿童脑瘤大咖、世界小儿神经系统专业杂志《Childs Nervous System》现任主编Concezio Di Rocco教授发表研究《Subcutaneous blood patch for iatrogenic suboccipital pseud...
一份产检异常报告打破孕期的喜悦。 对于30岁的苏珊来说,怀孕本是一段充满期待与喜悦的旅程。 然而,孕28周的她满怀憧憬地前往医院进行常规孕检,医...
脑动静脉畸形 (AVMs)是血管系统的缺陷,由异常血管缠结(nidus)组成,其中供血动脉在没有毛细血管床的介入下,直接连接到静脉引流网络。动脉将富含氧气...
多小脑回畸形(PMG)是一种常见的皮质发育畸形。其特征是小的不规则脑回数量过多,皮质厚度增加。显微镜下表现为皮质高度紊乱,过度折叠,皮质分层...
人脑动静脉畸形 (脑动静脉畸形)是大脑循环系统的缺陷,通常认为是在胚胎或胎儿发育过程中出现的。通常,含氧血液由心脏通过分支动脉(称为动脉)...
动静脉畸形是什么病?小脑动静脉畸形可以治愈吗?动脉将富氧的血液从心脏输送到大脑,静脉则将耗氧完毕的血液送返肺部和心脏,脑动脉畸形严重影响...
脊柱动静脉畸形(AVM)的早期分类发生在脊柱血管造影术出现之前。III型病变,或幼年avm,发生于单个或多个相邻的体节,因此常发生于硬膜外和硬膜内,...
在人体中,动脉负责将富含氧气的血液从心脏输送到大脑,静脉则将贫氧的血液带回肺部和心脏,然而血管畸形就像是一撮粗细不一缠绕在一起的毛线团,...
Q:脑动静脉畸形因何破裂?有何危害?如何治疗? A:脑动静脉畸形亦称脑血管瘤,非真性肿瘤,系先天性脑血管发育异常,临床上有多种类型,其中以动...
脊髓动静脉畸形是一类易发于青壮年人群的先天性血管疾病。可由出血、静脉高压、盗血以及占位等病理生理机制造成患者严重残疾,是目前神经外科较富...
动静脉畸形(AVM),可以说是较复杂和较危险的脑血管病变,我们将考虑。Spetzler-Martin分级系统较初被认为是一种外科风险评估工具,它为AVM大小、位置和静...
颅内动静脉畸形的治疗方法,颅内动静脉畸形由异常血管团造成出血、盗血、过度灌注等一系列病理变化,进而引发头痛、抽搐,以及受损脑组织相关的运...
海绵状血管瘤能根治吗?海绵状血管瘤是一种颅内的血管畸形,经过手术切除是可以治好的,但重要位置的病变考验术者的经验和技巧...
脑干内镜和脑干核团电刺激法的应用避免了对生命中枢的损伤而降低了并发症的发生率。外科手术切除脑干血管畸形对某些特定的病人是一种顺利合适的治...
高危脑动静脉畸形 动脉瘤的栓塞治疗:病例对照研究 (0Targeted Embolization of Aneurysms Associated With Brain Arteriovenous Malformations at High Risk for Surgical Resection: A Ca...
脑动静脉畸形(AVMs)由发育不良的血管和直接的动静脉分流组成,可自发出血。在儿童中,较高的终生出血风险需与治疗相关的发病率相平衡。作者描述了一...
因此,研究bAVM发病率的另一种方法可能是评估出血后即刻的神经功能,这是同一时间点的功能结果,与长期预后相关。儿童bAVM出血的发病率因此,未破裂...
脑动静脉畸形可以不治疗吗?脑动静脉畸形是指动脉和静脉混合的畸形血管组。其特点是动脉静脉化、静脉动脉化、畸形血管壁薄弱,但供血压力大,易破...
脑海绵状血管畸形(cerebral cavernous malformation,CCM)是一种先天性脑血管畸形。它由数量众多薄壁血管组成的海绵状或桑葚样异常团块,畸形血管团紧密相贴...
如何治疗颅内动静脉血管畸形? 颅内动静脉畸形是一种脑血管畸形,由发育异常的病理血管引起,治疗方法如下: 手术治疗,是开颅手术,是治疗脑血管...
脊髓海绵状血管畸形的顺利切除需要多种辅助技术。完全切除血管瘤,尽可能减少对周围正常神经组织的损害。安森和Spetzler提出,熟练的显微操作技术和...
颅内动静脉血管畸形会遗传吗? 大多数颅内动静脉血管畸形不会遗传,但少数可能有遗传的可能性。颅内动静脉血管畸形通常与胎儿在母亲体内的发育有关...
颅内动静脉血管畸形是如何引起的? 脑血管畸形是由颅内血管床发育异常引起的,表现为颅内某一区域血管异常增多,多为先天原因,一旦出血后果严重。...
颅内动静脉血管畸形不治疗可以吗? 一些脑血管畸形患者可以选择不治疗。脑血管畸形是一种先天性疾病,可能发生在出生后的任何年龄。未破裂出血脑动...
脑动静脉畸形(BAVMS)位于深部或后颅窝是破裂的危险因素,年再出血率为3.28%,后颅窝分别为6.7%和11.41%...
颅内动静脉血管畸形严重吗? 脑血管畸形是一种良性疾病,但不及时治疗,后果更严重。脑血管畸形是先天性脑血管,非肿瘤发育异常,是指脑血管发育障...
脑动静脉畸形(BAVM)是指一组异常的脑血管,包括供血动脉、引流静脉和中间的异常血管集合,称为nidus。淋巴结的血管通常被称为毛细血管,但组织学检...
颅内动静脉血管畸形是什么? 脑动静脉畸形是一种脑血管畸形,青少年容易发生,较常见的症状是脑出血。脑血管畸形包括脑动静脉畸形、海绵状血管瘤、...
脑动静脉畸形是什么? 脑动静脉畸形需要去医院进一步诊断。脑动静脉畸形是一种脑血管畸形,容易发生的人是青少年,较常见的症状是脑出血。脑血管畸...
脑动静脉畸形是什么? 脑动静脉畸形需要去医院进一步诊断。脑动静脉畸形是一种脑血管畸形,容易发生的人是青少年,较常见的症状是脑出血。脑血管畸...
随着MRI的普及,脊柱脊髓CM的检出率虽有上升趋势,但对该病的认识,限于国际各中心的病例数较少,且多为小样本回顾性研究,难以对脊柱脊髓CM的自然病...
一份产检异常报告打破孕期的喜悦。 对于30岁的苏珊来说,怀孕本是一段充满期待与喜悦的旅程。 然而,孕28周的她满怀憧憬地前往医院进行常规孕检,医...
脑动静脉畸形AVM-治疗方法有哪些? 动静脉畸形患者的治疗主要有保守治疗和侵袭性治疗。目前,尚无有效的药物可以预防出血,但是相关性癫痫可以用抗...
INC国际儿童脑瘤大咖、世界小儿神经系统知名杂志 《Childs Nervous System》现任主编 Concezio Di Rocco教授 发表研究《Endoscopic Third Ventriculostomy for the Management of ...
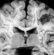
影像检查发现小脑半球占位时,患者最关心两个问题:是否为血管畸形?能否微创治愈?根据中国脑肿瘤注册中心2024年数据,血管畸形约占小脑占位的15%-20...
颅内出血、头痛、癫痫原本状态正常的人突然出现晕厥、呼叫不醒,情况危急,紧急送医检查被告知是脑动静脉畸形出血。那什么是脑动静脉畸形是什么呢...
脑血管畸形 (Cerebrovascular Malformations)是一种先天性脑血管发育异常疾病,其本质是脑血管系统在胚胎发育过程中出现错误,导致血管结构和功能出现异常。...
很用力咳嗽了几下,还咳出了脑干出血?真有这样的事吗? 41岁的宋女士于2023年10月底,因感冒喉咙有痰,很用力咳嗽了几下,随后出现视物模糊,重影,...
四年前,Anna因突发脑出血被送进医院,检查发现出血源于脑室内的动静脉畸形,面对开颅手术的恐惧,她选择了伽马刀治疗。 然而病变并未消失,出血风...
脑海绵状血管瘤静脉畸形是一种罕见的血管性疾病,通常发生在脑部,涉及异常的血管形成。这种病变可能导致多种神经系统症状,包括头痛、癫痫发作和...
丘脑海绵状畸形血管瘤是一种神经系统疾病,主要表现为丘脑区域血管的异常扩张和畸形。此病通常是先天性或遗传性,可能导致多种神经系统症状。 丘脑...
24岁的小雨骑电动车摔倒,磕到了头部,保险起见,在处理好外伤之后就去做了进一步的检查,结果意外发现了隐患在她的 左脑有个低级别的动静脉畸形...
INC国际儿童脑瘤大咖、世界小儿神经系统专业杂志《Childs Nervous System》现任主编Concezio Di Rocco教授发表研究《Subcutaneous blood patch for iatrogenic suboccipital pseud...
脑血管畸形是一种先天性的脑血管发育异常,就像是脑血管在生长过程中搭错了线。正常情况下,脑血管应该是有序地从大血管分支成小血管,形成一个规...
脑血管炸弹拆除记:为何有些 脑动静脉畸形(AVM) 让医生也如履薄冰?关键答案藏在畸形团的构型 致密型 与弥散型的天壤之别里! 一个边界清晰有望根治,一...
脑海绵状畸形血管瘤是一种罕见的脑血管畸形,常常在患者的生命早期被发现。它的形成与脑血管的发育异常密切相关,可能导致一系列神经系统症状,包...
在颅内深处潜伏着一枚不定时炸弹 脑动静脉畸形(AVM) ,它如同扭曲的血管迷宫,一旦破裂出血,半数患者将面临死亡或永久瘫痪的绝境。而当姑息治疗沦为...