900例 脑动静脉畸形 (AVM)手术,平均每7小时一台脑部手术,今天,我们有幸记录下了 Lawton教授 的伟大成就! 近日,INC国际神经外科顾问团成员、美国巴...
17岁女孩通过挽救生命的 脑动静脉畸形 手术重新站起来,艾薇戈德森(Ivy Goldson)当时在科罗拉多州的夏令营中,她脊髓上的 动静脉畸形破裂 ,使她四肢...
脑动静脉畸形 是连接脑内动脉和静脉的异常血管缠结,在儿童中尤为常见。动脉负责将富含氧气的血液从心脏输送到大脑,静脉将缺氧的血液带回肺和心脏...
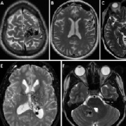
影像检查发现小脑半球占位时,患者最关心两个问题:是否为血管畸形?能否微创治愈?根据中国脑肿瘤注册中心2024年数据,血管畸形约占小脑占位的15%-20...
36岁的Amanda与脑动静脉畸形和平共处多年,侥幸未出血。但一次突发的颅内出血,击碎了她平静的生活。 多方权衡后, 她选择了创伤较小的伽马刀治疗,期...
神经外科,解决的是各类 脑肿瘤 、脑血管畸形以及脑积水、癫痫等复杂的颅脑相关疾病,一般需要在人类构造较为复杂的大脑上动刀,堪称是外科系统中...
脑动静脉畸形 (AVMs)是大脑循环系统的缺陷,通常认为是在胚胎或胎儿发育过程中出现的。目前还不清楚AVMs是如何发展的。大部分的AVMs被认为是在出生之前...
多小脑回畸形(PMG)是一种常见的皮质发育畸形。其特征是小的不规则脑回数量过多,皮质厚度增加。显微镜下表现为皮质高度紊乱,过度折叠,皮质分层...
据统计,颅缝早闭在新生儿中的发病率为0.25,男孩居多,约占总数的61%~80%。患儿比较直观的表现就是头型异常。如额缝早闭会形成三角头畸形;矢状缝过...
脑动静脉畸形 是连接脑内动脉和静脉的异常血管缠结,在儿童中尤为常见。动脉负责将富含氧气的血液从心脏输送到大脑,静脉将缺氧的血液带回肺和心脏...
海绵状畸形(CMs)是中枢神经系统的血管造影性隐匿,低流量血管畸形。它们占全部血管畸形的8-20%。6-7岁患者的出血率可达6%...
脑动静脉畸形 (医学上简称为AVM),每10万人中大约发病2人。脑动静脉畸形出血是危险的,出血的几率为每年1%至3%。与每次出血相关的死亡风险为10%至1...
颅缝早闭也称颅骨狭窄症或狭颅,是不同部位的颅缝过早闭合,影响头颅和脑的正常发育,从而产生的一组疾病的统称。在新生儿中的发病率为0.25/,男性...
颅内动静脉畸形的诊断和评估,显微外科切除仍然是仔细选择的动静脉畸形的优选治疗方法,因为它可以立即明确地排除AVM。为此,已有许多AVM分类体系被...
900例 脑动静脉畸形 (AVM)手术,平均每7小时一台脑部手术,今天,我们有幸记录下了 Lawton教授 的伟大成就! 近日,INC国际神经外科顾问团成员、美国巴...
17岁女孩通过挽救生命的 脑动静脉畸形 手术重新站起来,艾薇戈德森(Ivy Goldson)当时在科罗拉多州的夏令营中,她脊髓上的 动静脉畸形破裂 ,使她四肢...
脑动静脉畸形手术的现代分类及预后评估 (Modern classification and outcome predictors of surgery in patients with brain arteriovenous malformations) 英文摘要: Brain arterioveno...
功能区亚型是否影响 动静脉畸形手术 的预后? (Does eloquence subtype influence outcome following arteriovenous malformation surgery?) 英文简介: OBJECTIVE Although numerous art...
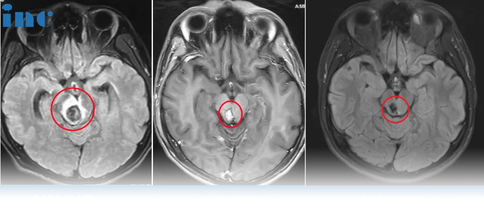
虽然脑干海绵状血管畸形一度被认为不能手术治疗,但在病人选择、手术暴露、术中MRI引导、MR纤维束成像和神经生理学监测等方面的改进已使大多数手术...
海绵状血管瘤能根治吗?海绵状血管瘤是一种颅内的血管畸形,经过手术切除是可以治好的,但重要位置的病变考验术者的经验和技巧...
手术切除术一直是治疗脊髓海绵状血管畸形的金标准,是对于有症状的患者。据Sandalcioglu统计,二次出血的风险可高达66%,预防长期出血的措施是全切病变...
脊髓海绵状血管畸形手术切除术一般采用后入路椎板切除术或椎板半切术。运动诱发电位和体感诱发电位监测应用于术中。对于脊髓表面或突出于软膜的病...
颅内动静脉血管畸形手术后遗症 颅内动静脉血管畸形介入手术本身没有后遗症,但颅内动静脉血管畸形可能会出现一些并发症,如出血。 对于颅内动静脉...
脑静脉畸形需要手术吗?脑静脉畸形是一种先天性脑血管病变,由中央引流静脉和异常扩张的髓样静脉组成。脑静脉畸形发病率低,患者无明显症状和体征...
脑动静脉畸形手术切除条件,血管内介入栓形成:血管内治疗始于20世纪60年代,主要用于手术中难以治疗的深脑动静脉畸形,使病变缩小或完全闭塞,有利...
脑动静脉畸形手术后还会长吗? 血管瘤手术后,如果切除干净,理论上不会复发。然而,许多血管瘤很难完全切除。只要能缝合或修复,就可以多切除身体...
颅内动静脉血管畸形是大手术吗? 颅内动静脉血管畸形,包括动静脉畸形、海绵状血管瘤、颈动脉海绵窦瘘、硬脑膜动静脉瘘、毛细血管扩张、静脉畸形等...
脑血管畸形手术成功后能活多少年?脑血管畸形是一种少见但严重的脑血管疾病,手术是治疗脑血管畸形的主要方法。手术后患者的存活和生存期受多种因...
脑血管畸形10个征兆?是大手术吗?脑血管畸形是一种异常的血管结构,可能会导致脑出血或其他严重的神经功能障碍。下面小编将详细介绍脑血管畸形的...
影像检查发现小脑半球占位时,患者最关心两个问题:是否为血管畸形?能否微创治愈?根据中国脑肿瘤注册中心2024年数据,血管畸形约占小脑占位的15%-20...
大家好,我是小峰(化名),在这里给你们拜年了,祝你们新年快乐,龙年大吉,身体健康,心想事成。2024年2月,新年期间,脑干血管畸形术后5个月,小...
很用力咳嗽了几下,还咳出了脑干出血?真有这样的事吗? 41岁的宋女士于2023年10月底,因感冒喉咙有痰,很用力咳嗽了几下,随后出现视物模糊,重影,...
现病史:20岁的田田是一名在校大学生,在一次参加完常规体育运动后自感后背轻微疼痛,两天后出现双下肢无力,检查诊断胸髓髓内出血性病变。后续病...
脑动静脉畸形(AVM)是一种影响脑血管结构的先天性疾病,可能导致出血、癫痫和其他神经系统问题。当AVM的症状严重影响生活或出现并发症时,切除手术...
36岁的Amanda与脑动静脉畸形和平共处多年,侥幸未出血。但一次突发的颅内出血,击碎了她平静的生活。 多方权衡后, 她选择了创伤较小的伽马刀治疗,期...
脑动静脉畸形(AVM)是一种较为复杂的脑部疾病,它导致动脉与静脉之间出现异常的连接,从而增加了脑出血和其他神经系统并发症的风险。对于很多患者...
罕见部位脑动静脉畸形 首次术后没切干净 术后3个月突发昏迷 18岁的大卫在确诊 颞角脑动静脉畸形 后,这些轮番的打击,让他的世界一度陷入了灰暗。 但...
儿童脑部海绵状血管瘤合并静脉畸形好做手术吗?费用贵吗?儿童脑部海绵状血管瘤合并静脉畸形是一种较为复杂的脑血管病变情况。对于患儿及其家庭来说...
脑动静脉畸形(大脑AVM,CAVM,cAVM)是大脑动脉和静脉之间的异常连接,而对于动静脉畸形患者来说,较可怕的两个字就是出血。在严重的情况下,血管破...
国际神经研究所-巴洛神经学研究所主席兼CEO Lawton教授 出版动脉瘤《七种脑动静脉畸形:切除原理和技巧》及《七种动脉瘤:夹闭术的原理和技巧》 美国较...
一次夏令营的剧烈运动后,17岁的Ivy Goldson双腿突然失去知觉,人生瞬间跌入谷底她被诊断为罕见的 脊髓血管畸形破裂,面临瘫痪。 当多家医院对复杂手术...
随着医学技术的不断进步,脑血管瘤畸形的诊治成为了神经外科一个重要的研究与治疗方向。成人脑血管瘤畸形切除手术主要是针对脑部的血管异常,如动...
脑血管炸弹拆除记:为何有些 脑动静脉畸形(AVM) 让医生也如履薄冰?关键答案藏在畸形团的构型 致密型 与弥散型的天壤之别里! 一个边界清晰有望根治,一...