国际神经研究所-巴洛神经学研究所主席兼CEO Lawton教授
出版动脉瘤《七种脑动静脉畸形:切除原理和技巧》及《七种动脉瘤:夹闭术的原理和技巧》
美国较佳医生(2007-至今)
巴罗神经学研究所主席兼执行官
神经外科主任教授兼主席
血管神经外科主任
美国神经外科医师协会前主席
美国神经外科学会前主席
国际神经外科学会提名主席
马林杂志:较医生(2011-2017)
动脉瘤和动静脉畸形基金会(TAAF):William L.Young成就奖(2017)
脑动静脉畸形国际“教科书级别”专家教授
INC国际神经外科顾问团成员、美国巴罗神经学研究所(Barrow Neurological Institute,简称BNI)主席和CEO Michael T.Lawton教授作为美国神经外科医师协会前主席、美国神经外科学会前主席,曾荣获动脉瘤和动静脉畸形基金会(TAAF):William L.Young成就奖(2017)。他发表了450多篇神经外科文章,3部作者的教科书,是70多本医学书籍的部分章节作者,获得了近20项国际医学奖项。
Michael T.Lawton教授发明和总结了颅内血管的分段法,发明和总结了血管切除、搭桥等的技术方法,并通过他作为作者的三本国际《七种脑动静脉畸形:切除原理和技巧》、《七种动脉瘤:夹闭术的原理和技巧》、《七种搭桥术:血运重建的原则和技术》以及作为合著者参与编写了《脑干手术》、《神经外科学争议》等专著奠定了他在国际血管神经外科领域的教科书级地位,国际各国的脑血管病变专家都希望与他进行学术交流,探讨、提升自己的水平。

图Lawton教授动静脉畸形手术技巧专著及中文翻译版本,包含700多幅精美的彩色插图,对AVM进行明确分类及准确手术路径进行介绍,详尽阐述动静脉畸形切除术的策略,总结常见动静脉畸形临床特征.

图Lawton教授动脉瘤和搭桥术专著
《七种脑动静脉畸形:切除原理和技巧》主要关注脑叶和脑深部动静脉畸形的显微手术切除技术。本书介绍了7种动静脉畸形,描述了32种AVM亚型的解剖地图和手术策略,并阐述了脑动静脉畸形切除的八个步骤,并总结了在临床中常见脑动静脉畸形的处理治疗方法,成为神经外科医生的重要参考。本文交流Seven AVMs系列之胼胝体AVM手术解剖及切除策略,为大家带来这位国际脑动静脉畸形教科书级别教授Lawton教授为大家带来的解读。
Seven AVMs系列之Lawton教授胼胝体AVM手术解剖及切除策略
什么是胼胝体动静脉畸形?
胼胝体动静脉畸形(arteriovenous malformation,AVM)属于脑深部AVM,是指位于纵裂内胼胝体周围的AVM,发生率较低,国内外报道不多。
胼胝体AVM位于侧脑室的顶部(图14.4)。该亚型较常见,占脑室/脑室周围AVM的一半以上。典型的AVM完全位于胼胝体,但可以向上累及扣带回、向下进入透明隔或侧脑室。从胼胝体嘴部到压部,AVM的位置不一,解剖和手术大为不同,但是由于它们相对少见(约占脑AVM的4%),故被视为一类。它们由大脑前动脉(ACA)和胼周动脉(PcaA)供血。这两个血管在双侧的下面和内侧面发出短、长胼胝体动脉,进入胼胝体和AVM。这些供血动脉在没有胼胝体AVM时细小,但有胼胝体AVM时扩大。

图14.4胼胝体AVM,内侧面观。胼胝体AVM位于胼胝体,范围从胼胝体嘴到压部;在膝、体和压部显示三种不同的胼胝体AVM。它们由ACA和PcaA发出的分支(胝体长、短动脉)供血,向深部引流到脑室静脉(前、后隔静脉(SepV),尾状核前、后静脉(CauV),和丘纹静脉(ThaStrV))。
扣带回和额叶内侧的正常血管细,发自PcaA外表面,这有别于AVM的供血动脉。PcaA往往是一个过路动脉,供应AVM远侧的运动和感觉皮层内侧,所以需解剖保留。在膝和体的前部胼胝体AVM由PcaA供血,但是后部胼胝体AVM也由发自PCA的SplenA供血。向外伸入额叶白质的胼胝体AVM还可以得到内侧豆纹动脉(mLSA)或外侧豆纹动脉(lLSA)的供血。尽管属于脑室AVM,胼胝体AVM不累及脉络丛,不受脉络丛动脉的供血。胼胝体AVM向深部引流入脑室静脉(SepV,CauV,ThaStrV,和大脑内静脉(ICV))。压部AVM通过脑室外的SplenV或经过Monro孔(FoM)远侧的进入ICV的MedAtrV,也向深部引流入Galen静脉(VoG)。胼胝体AVM严格来说是位于哑区,但是压部与计算和视觉空间处理有关。
Lawton教授胼胝体动静脉畸形切除策略总结
由于这种畸形团位置深在,供血动脉长,流量较低,栓塞治疗有较高的难度;而手术治疗又有显露困难、对技术要求较高等特点。胼胝体AVM位置深在,位于纵裂底部,可突入两旁及深部脑组织内而直达侧脑室。胼胝体AVM的供血动脉多数来自大脑前动脉分支(胼周动脉及胼缘动脉分支),其次来自大脑后动脉分支后胼周动脉,少数来自脉络丛动脉,引流静脉也均自纵裂内静脉或脑室内静脉引流入上、下矢状窦,与AVM的部位、大小有关。较大AVM可能有多重供血和引流方式,而深静脉引流者由于脑室压力较低及直窦无法扩张,造成AVM引流不畅,容易发生脑室出血。对此Lawton教授在书中也详细阐释了胼胝体AVM切除手术的具体步骤及相关注意事项。
胼胝体AVM的切除策略:胼胝体AVM手术切除策略7步走

1步——(a)显露AVM,用半圆形头皮切口(嵌入图,虚线),双额开颅(嵌入图,实线),前纵裂入路,中线与水平线一致,以便靠重力牵拉右侧半球(术者视角观)。(b)AVM盒子示意动脉供应动脉的长短分支,向下引流入脑室静脉(前、后隔静脉(SepV)和CauV),接近运动皮层(红色)。注意AVM浅面在其基底侧用一个圆画出,该侧标有下划线。用一个穿过盒子的线表示AVM的轴。动脉和静脉解剖叠加到盒子上,别用红色流入箭头和蓝色流出箭头标出。
2步——(c)扩宽纵裂,向下到胼胝体(宽白箭头,术者视角)。虽然在该图中为了看清静脉与SSS的联系而切除了硬膜,但是仍将其作为一个瓣向内侧抬起,这是为了需要松解蛛网膜粘连和保护桥静脉。
3步——分开胼胝体后才能看到引流静脉。
4步——辨认发自双侧PcaA的胼胝体供血动脉。
5步——阻断前面的胼胝体长动脉,以由远及近的方向(黑色虚线)在上面显露胼胝体短动脉。
6步——(d)经胼胝体分离进入侧脑室(环绕箭头,冠状切面观)。
7步——(e)辨认引流静脉,在脑室内分离室管膜面,越过透明隔(球形头,术者视角观)。
Lawton教授胼胝体动静脉畸形手术案例交流
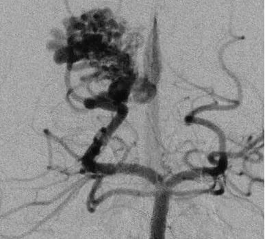
患者案例1:该患者为47岁男性,表现为合并胼胝体AVM的较大胼周动脉瘤破裂后昏迷(补充Spetzler-Martin分级为6级:S2V1E0/A3B0C0)。


手术步骤图解





他紧急行半侧颅骨切除术,随后血管造影显示右侧动脉瘤,AVM由双侧PcaA供血,引流向前MedFrV和SplenV【左侧ICA像,(a)前后位(b)侧位】(c)首先通过双侧开颅并排夹闭动脉瘤(鼻朝右,中线呈水平,重力牵开右侧额叶),然后切开动脉瘤使之缩小。
患者案例2:17岁男孩,表现为来自于右侧胼胝体压部AVM的脑室内出血(补充Spetzler-Martin分级4级:S1V1E1/A1B0C0),SplenA供血,SplenV和内侧AtrV引流右椎动脉造影。


手术步骤图解




(a)侧位(b)前后位].(c)他取侧卧位,右侧朝下,鼻朝下,中线取水平位以便靠重力牵拉右侧枕叶。窦汇开颅,显露SSS、TrvS、枕较、后纵裂和镰幕交界处。SplenA沿胼胝体压部上升,顺着它可达AVM(续)。
Michael T.Lawton教授主要研究脑动静脉畸形的形成、遗传学特征和破裂的治疗,以及脑部血管瘤的血液动力学、破裂以及数字建模。他的临床研究包括血管瘤、动静脉畸形以及颅内搭桥的微创治疗方法,以及微创治疗临床数据。他是美国“大脑血管畸形联盟”(Brain Vascular Malformation Consortium)的主要研究者,该组织由NIH(美国国家卫生研究所)资助进行多中心少见脑血管疾病的临床及遗传学研究。他发起成立了名叫BRAIN的教育组织,目标是教育和提高发展中国家的神经外科临床水平。
900例的脑动静脉畸形手术量,4400余例脑动脉瘤、1000余例海绵状血管畸形患者的成功治疗案例,个人手术记录较高的神经外科医生,这是众多神经外科医生难以企及的。

为将自己的技术和咨询实力发挥至较大效用,MichaelT.Lawton教授在其专著的《七种脑动静脉畸形:切除原理和技巧》一书中,主要关注脑叶和脑深部动静脉畸形的显微手术切除技术,并将脑动脉畸形切除手术分为八个基本步骤,总结了其临床处理治疗方法。与此同时,他还作为发起人成立了Mission:BRAIN(使命·大脑,美国非营利性神经外科组织),提升发展中国家的神经外科水平,从教学方面提供帮助,墨西哥和菲律宾是本项目主要的教学援助地,连续7次的教学任务在此展开。

Lawton教授亲自编写的神外教科书:七种脑动静脉畸形:切除原理和技巧
发表了450多篇神经外科文章,3部教科书的作者,70多本医学书籍的部分章节作者,600多个讲座及国际40多个神经外科机构的特邀教授,先后荣获William L.Young成就奖(2017)、国际神经学学会联合会颁发的青年神经外科学奖、Harold Rosegay教学奖以及Diane Ralston临床和基础科学教学奖等殊荣……在脑动静脉畸形(AVM)的临床治疗方面,Michael T.Lawton教授身上的学术光环不胜枚举,这证明了他攻克各种脑血管病变的实力和不断精进前行的信念。
- 文章标题:国际神经血管外科教授Lawton教授《七种脑动静脉畸形》系列——胼胝体AVM解剖及手术策略
- 更新时间:2024-01-18 09:21:55
400-029-0925




