时钟刚划过凌晨5点,周二的城市还裹在静谧的晨雾里,大多数人仍在梦乡中酣睡。可15岁的小蕊却突然被一阵撕裂般的头痛惊醒,额头瞬间沁满冷汗。没等她缓过神,剧烈的恶心感袭来,两次呕吐后,本以为能稍作缓解的头痛,竟像被按下“加速键”,每一次搏动都带着钻心的疼。
小蕊父母慌了神,抓起外套就抱着孩子往医院冲——他们还不知道,这场突发的病痛,正将这个原本温馨的家庭推向一场与脑动静脉畸形的生死较量。
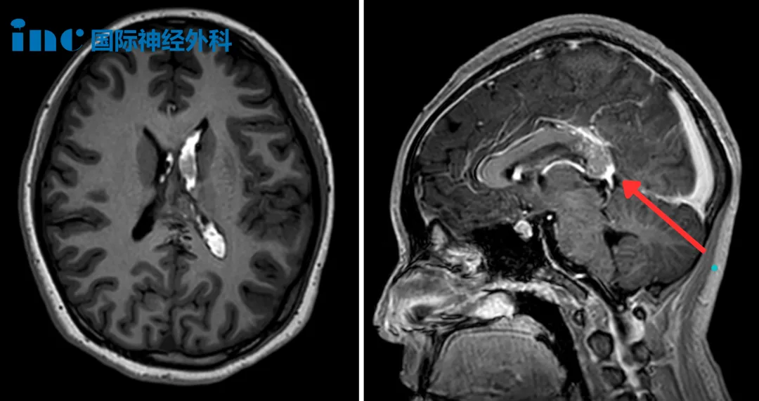
藏在大脑关键区的病变
2025年6月24日清晨,急诊室的灯光格外刺眼。头颅CT结果一出来,医生的表情瞬间凝重:脑出血!这个结果像一记重锤,砸在小蕊父母心上。
为了争取更好治疗时机,120急救车立刻将小蕊转运至儿童医院,医生为小蕊进行了全麻下双侧脑室外引流术,引流脑室内的血液。
三天后,医生拔除了右侧引流管,仅保留左侧继续引流脑脊液。可当日的头颅MRI检查,却揭开了更棘手的真相:在大脑深处的胼胝体压部,藏着一个22mm×15mm的橄榄形病灶——脑动静脉畸形(AVM)。


“这不是普通的出血,病灶像一团乱麻,和正常脑组织缠在一起,边界都看不清!手术难度和风险都很大。”医生的话让小蕊父母的心再次沉到谷底。
科普时间
什么是“脑动静脉畸形”
在大脑的动脉和静脉之间,本该通过细密的毛细血管网慢慢交换,因先天性的血管发育异常导致“短路”连在了一起,形成了一团异常纠缠、脆弱易破的血管团——这就是脑动静脉畸形。一旦出血,可能导致瘫痪、失语,甚至危及生命。

什么是“胼胝体压部”?
胼胝体压部是胼胝体后部结构,作为连接两侧枕叶的神经纤维束,构成大脑半球间信息传递的关键结构,能让两侧大脑协同工作。这个区域位置深、神经密集,任何手术操作都容不得半点差错。

绝境中的希望,INC巴教授恰巧在华
看着病床上虚弱的女儿,想到医生说的“手术难度极高”,小蕊父母整夜难眠,四处打听救治方案。就在他们近乎绝望时,刷到一条新闻:INC国际神经外科大咖巴特朗菲教授,正巧在华开展示范手术。
小蕊父母立刻通过INC紧急协调,与巴教授进行面对面咨询。

诊室里,巴教授拿着小蕊的MRI影像,逐帧细致分析:“孩子的AVM仍然有可能再次出血,因为有很多小的AVM血管,这些血管很脆弱,所以可能会再次破裂。”当小蕊父母颤抖着问能否手术?巴教授的回答给了他们定心丸:“这确实不是一台容易的手术,但非常可行。”
治疗挑战,三大难题摆在面前
从目前文献荟萃分析来看,手术切除仍然是治疗动静脉畸形主要的方法,但手术治疗对外科医生是一种挑战,而小蕊的病情,让这场手术更是成了一场“高难度攻坚战”:
·难关1/病变弥散,供血复杂
不同于边界清晰的AVM,小蕊的病灶非常弥散,有多条供血血管从不同区域延伸而来——既包括前动脉循环,也涉及后动脉循环。就像一团乱麻缠在交错的水管上,要理清每一根“供血管”,难度远超常规手术。
科普时间
AVM病灶致密型or弥散型
手术难度天壤之别
致密型
致密型动静脉畸形好比一团缠得紧紧的毛线球,核心明确,边缘清晰。与周围正常的脑组织之间界限相对分明,术中达到全切的目标相对可行。
弥散型
异常的血管分散、浸润性地生长在正常的脑组织中,没有明确的边界。与正常脑组织交织在一起,好比把墨水洒在吸水的海绵上,界限模糊,难以全切、术中术后出血难控。手术目标可能从“根治性全切”调整为“安全地减容”或“处理高危部分”,更多依赖介入栓塞或放射外科作为主要或辅助治疗。
·难关2/术中术后出血风险
弥散型AVM的血流量极大,且供血来源分散。一旦开始切除病灶,来自各个方向的渗血会像“泉水”一样持续涌出,不仅影响手术视野,还会增加止血难度。哪怕是极小的疏漏,都可能导致严重后果。
·难关3/全切与否与复发风险
由于病灶与正常脑组织边界模糊,手术中很可能出现“看似切干净,实则有残留”的情况——哪怕只残留1%的异常血管,未来仍有复发和再次出血的风险。
高难度手术顺利成功,让她重获新生
作为此次手术的主刀,巴教授在术前进行了认真细致的准备。术中,巴教授在国内神经外科专家的密切配合下,通过大脑中线入路,并凭借丰富的手术经验,仔细分离并切除了位于胼胝体压部的动静脉畸形团,手术顺利完成。

术后第一天,小蕊就从ICU转出至普通病房。术后MRI图像清楚显示:AVM已被完全切除,脑室内出血也已清除。小蕊临床状况良好,很快就恢复了正常活动。

对于小蕊这样复杂的AVM病例,术中全切是“艺术”。这不仅依赖于术者丰富的经验,更取决于其在手术关键时刻的判断——尤其是在处理边界不清、弥散广泛的AVM时,是否能够精准辨识并切除病变。这种能力,建立在对动静脉畸形血管结构的深刻理解、精湛的显微手术操作、以及对脑组织保护与止血技术的熟练掌握之上。
从一个因突发脑出血而命悬一线的危重少女,到成功清除病变、逐渐康复的幸运孩子——正是巴教授高超的手术技艺与深厚的临床经验,加上这一次难得的治疗机遇,共同为她争取到了继续健康成长的未来。
案例来源:文中所述为INC国际巴特朗菲教授2025年6月29日于苏州大学附属儿童医院进行的手术一例。
- 文章标题:15岁少女凌晨头痛呕吐,一查竟是脑内血管“爆裂”!
- 更新时间:2025-09-04 17:32:34
400-029-0925




